EID3 Antibody
-
中文名稱:EID3兔多克隆抗體
-
貨號:CSB-PA693996
-
規格:¥1100
-
圖片:
-
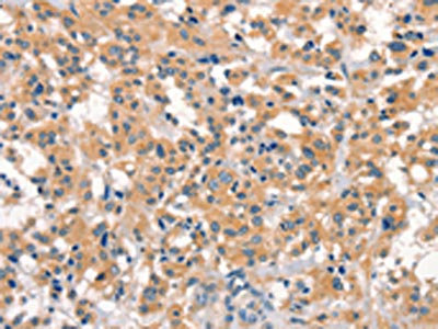
The image on the left is immunohistochemistry of paraffin-embedded Human thyroid cancer tissue using CSB-PA693996(EID3 Antibody) at dilution 1/15, on the right is treated with synthetic peptide. (Original magnification: ×200)
-
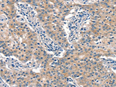
The image on the left is immunohistochemistry of paraffin-embedded Human gastric cancer tissue using CSB-PA693996(EID3 Antibody) at dilution 1/15, on the right is treated with synthetic peptide. (Original magnification: ×200)
-
Gel: 8%SDS-PAGE, Lysate: 40 μg, Lane: Mouse kidney tissue, Primary antibody: CSB-PA693996(EID3 Antibody) at dilution 1/200, Secondary antibody: Goat anti rabbit IgG at 1/8000 dilution, Exposure time: 1 minute
-
-
其他:
產品詳情
-
Uniprot No.:
-
基因名:EID3
-
別名:E1A-like inhibitor of differentiation 3 antibody; EID 3 antibody; EID-1-like inhibitor of differentiation 3 antibody; EID-3 antibody; EID3 antibody; EID3_HUMAN antibody; EP300 interacting inhibitor of differentiation 3 antibody; EP300-interacting inhibitor of differentiation 3 antibody; FLJ25832 antibody; Non-SMC element 4; S. cerevisiae; homolog of; B antibody; Non-structural maintenance of chromosomes element 4 homolog B antibody; NSE4B antibody; NSMCE4B antibody
-
宿主:Rabbit
-
反應種屬:Human,Mouse
-
免疫原:Synthetic peptide of Human EID3
-
免疫原種屬:Homo sapiens (Human)
-
標記方式:Non-conjugated
-
抗體亞型:IgG
-
純化方式:Antigen affinity purification
-
濃度:It differs from different batches. Please contact us to confirm it.
-
保存緩沖液:-20°C, pH7.4 PBS, 0.05% NaN3, 40% Glycerol
-
產品提供形式:Liquid
-
應用范圍:ELISA,WB,IHC
-
推薦稀釋比:
Application Recommended Dilution ELISA 1:1000-1:2000 WB 1:200-1:1000 IHC 1:25-1:100 -
Protocols:
-
儲存條件:Upon receipt, store at -20°C or -80°C. Avoid repeated freeze.
-
貨期:Basically, we can dispatch the products out in 1-3 working days after receiving your orders. Delivery time maybe differs from different purchasing way or location, please kindly consult your local distributors for specific delivery time.
-
用途:For Research Use Only. Not for use in diagnostic or therapeutic procedures.
相關產品
靶點詳情
-
功能:Tissue-specific component of the SMC5-SMC6 complex, a complex involved in repair of DNA double-strand breaks by homologous recombination. The complex may promote sister chromatid homologous recombination by recruiting the SMC1-SMC3 cohesin complex to double-strand breaks. The complex is required for telomere maintenance via recombination and mediates sumoylation of shelterin complex (telosome) components.; Acts as a repressor of nuclear receptor-dependent transcription possibly by interfering with CREBBP-dependent coactivation. May function as a coinhibitor of other CREBBP/EP300-dependent transcription factors.
-
基因功能參考文獻:
- Knockdown of EID3 by specific shRNA attenuated BMS-345541 -induced radiosensitization in MCF-7 cells. PMID: 30114644
- These findings indicated a novel mechanism by which EID3, a p300 acetyltransferase inhibitor, could directly affect DNMT3A, this enzyme possesses dual methylation and demethylation abilities. PMID: 28074931
- EID3 acts as an inhibitor of CBP/p300-dependent transcription in a tissue-specific manner. PMID: 15987788
-
亞細胞定位:Nucleus. Cytoplasm. Chromosome, telomere.
-
蛋白家族:NSE4 family
-
組織特異性:Highly expressed in testis.
-
數據庫鏈接:
Most popular with customers
-
-
YWHAB Recombinant Monoclonal Antibody
Applications: ELISA, WB, IHC, IF, FC
Species Reactivity: Human, Mouse, Rat
-
Phospho-YAP1 (S127) Recombinant Monoclonal Antibody
Applications: ELISA, WB, IHC
Species Reactivity: Human
-
-
-
-
-















