EGR4 Antibody
-
中文名稱:EGR4兔多克隆抗體
-
貨號:CSB-PA205879
-
規格:¥1100
-
圖片:
-
The image on the left is immunohistochemistry of paraffin-embedded Human thyroid cancer tissue using CSB-PA205879(EGR4 Antibody) at dilution 1/20, on the right is treated with synthetic peptide. (Original magnification: ×200)
-
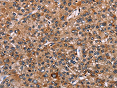
The image on the left is immunohistochemistry of paraffin-embedded Human liver cancer tissue using CSB-PA205879(EGR4 Antibody) at dilution 1/20, on the right is treated with synthetic peptide. (Original magnification: ×200)
-
Gel: 6%SDS-PAGE,Lysate: 40 μg,Lane 1-2: Human fetal brain tissue, Mouse brain tissue,Primary antibody: CSB-PA205879(EGR4 Antibody) at dilution 1/400 dilution,Secondary antibody: Goat anti rabbit IgG at 1/8000 dilution,Exposure time: 2 minutes
-
-
其他:
產品詳情
-
Uniprot No.:
-
基因名:EGR4
-
別名:EGR4Early growth response protein 4 antibody; EGR-4 antibody; AT133 antibody
-
宿主:Rabbit
-
反應種屬:Human,Mouse
-
免疫原:Synthetic peptide of Human EGR4
-
免疫原種屬:Homo sapiens (Human)
-
標記方式:Non-conjugated
-
抗體亞型:IgG
-
純化方式:Antigen affinity purification
-
濃度:It differs from different batches. Please contact us to confirm it.
-
保存緩沖液:-20°C, pH7.4 PBS, 0.05% NaN3, 40% Glycerol
-
產品提供形式:Liquid
-
應用范圍:ELISA,WB,IHC
-
推薦稀釋比:
Application Recommended Dilution ELISA 1:2000-1:5000 WB 1:500-1:2000 IHC 1:25-1:100 -
Protocols:
-
儲存條件:Upon receipt, store at -20°C or -80°C. Avoid repeated freeze.
-
貨期:Basically, we can dispatch the products out in 1-3 working days after receiving your orders. Delivery time maybe differs from different purchasing way or location, please kindly consult your local distributors for specific delivery time.
-
用途:For Research Use Only. Not for use in diagnostic or therapeutic procedures.
相關產品
靶點詳情
-
功能:Transcriptional regulator. Recognizes and binds to the DNA sequence 5'-GCGGGGGCG-3' (GSG). Activates the transcription of target genes whose products are required for mitogenesis and differentiation.
-
基因功能參考文獻:
- this study is the first to screen the EGR4 gene in relation to male infertility. However, our findings did not clearly explain how nonsynonymous EGR4 variations affect spermatogenesis PMID: 28464846
- EGR4 directly transactivates specific variants (V3 and V4) of the PTHrP gene resulting in subsequent transactivation of the RANKL, IL-6 and IL-8 genes via paracrine action of the PTHrP protein. PMID: 25411851
- Data found multiple differences in gene expression between the high and low infertility risk groups, confirming the importance of an intact hypothalamo-pituitary testicular axis and EGR4 in fertility development PMID: 19828938
-
亞細胞定位:Nucleus.
-
蛋白家族:EGR C2H2-type zinc-finger protein family
-
數據庫鏈接:
Most popular with customers
-
-
YWHAB Recombinant Monoclonal Antibody
Applications: ELISA, WB, IHC, IF, FC
Species Reactivity: Human, Mouse, Rat
-
Phospho-YAP1 (S127) Recombinant Monoclonal Antibody
Applications: ELISA, WB, IHC
Species Reactivity: Human
-
-
-
-
-















