EGLN2 Antibody
-
中文名稱:EGLN2兔多克隆抗體
-
貨號:CSB-PA007482EA01HU
-
規格:¥440
-
圖片:
-
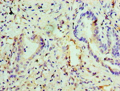
Immunohistochemistry of paraffin-embedded human lung tissue using CSB-PA007482EA01HU at dilution of 1:100
-
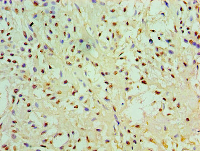
Immunohistochemistry of paraffin-embedded human breast cancer using CSB-PA007482EA01HU at dilution of 1:100
-
Immunofluorescent analysis of PC-3 cells using CSB-PA007482EA01HU at dilution of 1:100 and Alexa Fluor 488-congugated AffiniPure Goat Anti-Rabbit IgG(H+L)
-
-
其他:
產品詳情
-
產品名稱:Rabbit anti-Homo sapiens (Human) EGLN2 Polyclonal antibody
-
Uniprot No.:
-
基因名:
-
別名:DKFZp434E026 antibody; EGL nine (C.elegans) homolog 2 antibody; Egl nine homolog 2 (C. elegans) antibody; Egl nine homolog 2 antibody; EGLN 2 antibody; EGLN2 antibody; EGLN2_HUMAN antibody; EIT 6 antibody; EIT6 antibody; Estrogen-induced tag 6 antibody; HIF P4H 1 antibody; HIF PH1 antibody; HIF prolyl hydroxylase 1 antibody; HIF-PH1 antibody; HIF-prolyl hydroxylase 1 antibody; HIFPH 1 antibody; HIFPH1 antibody; HPH 3 antibody; HPH-1 antibody; HPH-3 antibody; HPH3 antibody; Hypoxia inducible factor prolyl hydroxylase 1 antibody; Hypoxia-inducible factor prolyl hydroxylase 1 antibody; P4H1 antibody; PHD 1 antibody; PhD1 antibody; prolyl hydroxylase domain containing protein 1 antibody; Prolyl hydroxylase domain-containing protein 1 antibody
-
宿主:Rabbit
-
反應種屬:Human
-
免疫原:Recombinant Human Egl nine homolog 2 protein (283-407AA)
-
免疫原種屬:Homo sapiens (Human)
-
標記方式:Non-conjugated
本頁面中的產品,EGLN2 Antibody (CSB-PA007482EA01HU),的標記方式是Non-conjugated。對于EGLN2 Antibody,我們還提供其他標記。見下表:
-
克隆類型:Polyclonal
-
抗體亞型:IgG
-
純化方式:>95%, Protein G purified
-
濃度:It differs from different batches. Please contact us to confirm it.
-
保存緩沖液:Preservative: 0.03% Proclin 300
Constituents: 50% Glycerol, 0.01M PBS, PH 7.4 -
產品提供形式:Liquid
-
應用范圍:ELISA, IHC, IF
-
推薦稀釋比:
Application Recommended Dilution IHC 1:20-1:200 IF 1:50-1:200 -
Protocols:
-
儲存條件:Upon receipt, store at -20°C or -80°C. Avoid repeated freeze.
-
貨期:Basically, we can dispatch the products out in 1-3 working days after receiving your orders. Delivery time maybe differs from different purchasing way or location, please kindly consult your local distributors for specific delivery time.
-
用途:For Research Use Only. Not for use in diagnostic or therapeutic procedures.
相關產品
靶點詳情
-
功能:Prolyl hydroxylase that mediates hydroxylation of proline residues in target proteins, such as ATF4, IKBKB, CEP192 and HIF1A. Target proteins are preferentially recognized via a LXXLAP motif. Cellular oxygen sensor that catalyzes, under normoxic conditions, the post-translational formation of 4-hydroxyproline in hypoxia-inducible factor (HIF) alpha proteins. Hydroxylates a specific proline found in each of the oxygen-dependent degradation (ODD) domains (N-terminal, NODD, and C-terminal, CODD) of HIF1A. Also hydroxylates HIF2A. Has a preference for the CODD site for both HIF1A and HIF2A. Hydroxylated HIFs are then targeted for proteasomal degradation via the von Hippel-Lindau ubiquitination complex. Under hypoxic conditions, the hydroxylation reaction is attenuated allowing HIFs to escape degradation resulting in their translocation to the nucleus, heterodimerization with HIF1B, and increased expression of hypoxy-inducible genes. EGLN2 is involved in regulating hypoxia tolerance and apoptosis in cardiac and skeletal muscle. Also regulates susceptibility to normoxic oxidative neuronal death. Links oxygen sensing to cell cycle and primary cilia formation by hydroxylating the critical centrosome component CEP192 which promotes its ubiquitination and subsequent proteasomal degradation. Hydroxylates IKBKB, mediating NF-kappa-B activation in hypoxic conditions. Also mediates hydroxylation of ATF4, leading to decreased protein stability of ATF4.
-
基因功能參考文獻:
- 4-bp Insertion/deletion Polymorphism within the Promoter of EGLN2 is associated with breast cancer. PMID: 29693343
- Our study provided initial evidence that the insertion/deletion polymorphism rs10680577 may play a functional role in the development of CRC in the Chinese population PMID: 28218358
- In advanced-stage Hodgkin's Lymphoma patients strong cytoplasmic PHD1 expression in Reed-Sternberg cells was associated with poor relapse-free survival among patients treated with involved-field radiotherapy and advanced-stage patients treated with doxorubicin, bleomycin, vinblastine and darcabazine and involved-field radiotherapy. PMID: 29277791
- This study provides new information relating to the possible mechanism of therapeutic action of hydroxylase inhibitors that has been reported in pre-clinical models of intestinal and hepatic disease. PMID: 27130823
- PHD1 is phosphorylated by CDK2, CDK4 and CDK6 at Serine 130. PMID: 26644182
- siRNA-mediated knockdown of PHD1 inhibited glucose-stimulated insulin secretion in pancreatic Beta cells. PMID: 26997627
- EglN2 associates with the NRF1-PGC1alpha complex and controls mitochondrial function in breast cancer PMID: 26492917
- rs3733829 in the EGLN2 gene is significantly associated with the risk of COPD in Chinese populations of Hainan province. PMID: 25609945
- study conducted to investigate the association between gastric cancer (GC) susceptibility with a 4-bp insertion/deletion polymorphism (rs10680577) in the proximal promoter of EGLN2; findings showed that the heterozygote and the homozygote 4-bp del/del confer a significantly increased risk of GC PMID: 24517638
- Data indicate that the prolyl hydrolase 1 (PHD1) rs10680577 polymorphism is associated with the risk of non-small cell lung cancer in a Chinese population. PMID: 24894671
- PHD-1 played an important role in hypoxic response pathway of trophoblast through modulating the level of HIF-2alpha. PMID: 24644426
- PHD1 could induce cell cycle arrest in lung cancer cells, resulting in the suppression of cell proliferation. PMID: 24935227
- Results show that variants in two adjacent genes, EGLN2 and CYP2A6, influence smoking behavior related to disease risk. PMID: 24045616
- Onconeuronal antigen Cdr2 correlates with HIF prolyl-4-hydroxylase PHD1 and worse prognosis in renal cell carcinoma. PMID: 23531419
- Findings provided strong evidence for the hypothesis that rs10680577 contributes to hepatocarcinogenesis, possibly by affecting RERT-lncRNA structure and subsequently EGLN2 expression. PMID: 23026137
- miR-205 serves a protective role against both oxidative and endoplasmic reticulum stresses via the suppression of EGLN2 and subsequent decrease in intracellular reactive oxygen species. PMID: 22859986
- Principal component analysis of the covariance matrix of free AIRE-PHD1 highlights the presence of a "flapping" movement, which is blocked in an open conformation upon binding to H3K4me0. PMID: 23077531
- PHD1 expression correlated with high proliferation, and these tumors were mainly estrogen receptor-negative. PMID: 21877141
- Coexistence of PHD1 stabilized ATF4, as opposed to the destabilization of ATF4 by PHD3. PMID: 21951999
- human prolyl hydroxylase might play an important role in determining the physiology and structure of the corpora lutea during the menstrual cycle and early pregnancy PMID: 20840881
- role for PHD1 as a positive regulator of intestinal epithelial cell apoptosis in the inflamed colon PMID: 20600011
- Prolyl hydroxylase-dependent (but hypoxia inducible factor HIF-1alpha and -2alpha-independent) activation of hypoxia-induced monocyte-endothelial adhesion assigns a new function to monocytic ICAM-1 under acute hypoxic conditions. PMID: 20574001
- identified a human homolog of Caenorhabditis elegans Egl9 as a HIF prolyl hydroxylase PMID: 12351678
- effect of WT or mutated VHL on PHD 1, 2, and 3 PMID: 15156561
- defines the existence of two species of PHD1 and provide evidence that they are generated by alternative translational initiation PMID: 16509823
- Understanding the mechanisms by which nickel can inhibit HIF-PHD's and stabilize HIF-1alpha may be important in the treatment of cancer and ischemic diseases. PMID: 16649251
- Multiple mitochondrial products, including tricarboxylic acid intermediates and reactive oxygen species, can coordinate PHD activity, HIF stabilization, and cellular responses to O(2) depletion. PMID: 17101781
- hypoxia releases repression of NFkappaB activity through decreased prolyl hydroxylase-dependent hydroxylation of IKKbeta PMID: 17114296
- Results describe the expression, purification and characterization of the human prolyl hydroxylase PHD1 in Escherichia coli. PMID: 18710826
- The identification of EGLN2 as a significantly deregulated gene that maps within the paired chromosome region directly implicates defects in the oxygen-sensing network to the biology of renal oncocytoma. PMID: 18773095
- Overexpression of the oxygen sensor PHD-1 is associated with tumor aggressiveness in pancreatic endocrine tumors. PMID: 18927305
- Authors identify an interaction between melanoma antigen-11 (MAGE-11) cancer-testis antigen and the major HIF-alpha hydroxylating enzyme PHD2. PMID: 19147576
- Prolyl hydroxylase inhibitor reduced mitochondrial cytochrome c release, nuclear translocation of apoptosis inducing factor (AIF), and promoted Akt phosphorylation PMID: 19229863
顯示更多
收起更多
-
亞細胞定位:Nucleus.
-
組織特異性:Expressed in adult and fetal heart, brain, liver, lung, skeletal muscle, and kidney. Also expressed in testis and placenta. Highest levels in adult brain, placenta, lung, kidney, and testis. Expressed in hormone responsive tissues, including normal and ca
-
數據庫鏈接:
Most popular with customers
-
-
YWHAB Recombinant Monoclonal Antibody
Applications: ELISA, WB, IHC, IF, FC
Species Reactivity: Human, Mouse, Rat
-
Phospho-YAP1 (S127) Recombinant Monoclonal Antibody
Applications: ELISA, WB, IHC
Species Reactivity: Human
-
-
-
-
-















