EDN1 Antibody
-
中文名稱:EDN1兔多克隆抗體
-
貨號:CSB-PA924161
-
規格:¥1100
-
圖片:
-
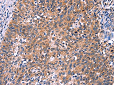
The image on the left is immunohistochemistry of paraffin-embedded Human cervical cancer tissue using CSB-PA924161(EDN1 Antibody) at dilution 1/50, on the right is treated with fusion protein. (Original magnification: ×200)
-
The image on the left is immunohistochemistry of paraffin-embedded Human ovarian cancer tissue using CSB-PA924161(EDN1 Antibody) at dilution 1/50, on the right is treated with fusion protein. (Original magnification: ×200)
-
-
其他:
產品詳情
-
Uniprot No.:
-
基因名:
-
別名:ARCND3 antibody; Big endothelin-1 antibody; EDN1 antibody; EDN1_HUMAN antibody; ET-1 antibody; ET1 antibody; HDLCQ7 antibody; PPET1 antibody; Preproendothelin 1 antibody; Preproendothelin-1 antibody; QME antibody
-
宿主:Rabbit
-
反應種屬:Human
-
免疫原:Fusion protein of Human EDN1
-
免疫原種屬:Homo sapiens (Human)
-
標記方式:Non-conjugated
-
抗體亞型:IgG
-
純化方式:Antigen affinity purification
-
濃度:It differs from different batches. Please contact us to confirm it.
-
保存緩沖液:-20°C, pH7.4 PBS, 0.05% NaN3, 40% Glycerol
-
產品提供形式:Liquid
-
應用范圍:ELISA,IHC
-
推薦稀釋比:
Application Recommended Dilution ELISA 1:2000-1:5000 IHC 1:50-1:200 -
Protocols:
-
儲存條件:Upon receipt, store at -20°C or -80°C. Avoid repeated freeze.
-
貨期:Basically, we can dispatch the products out in 1-3 working days after receiving your orders. Delivery time maybe differs from different purchasing way or location, please kindly consult your local distributors for specific delivery time.
-
用途:For Research Use Only. Not for use in diagnostic or therapeutic procedures.
相關產品
靶點詳情
-
功能:Endothelins are endothelium-derived vasoconstrictor peptides. Probable ligand for G-protein coupled receptors EDNRA and EDNRB which activates PTK2B, BCAR1, BCAR3 and, GTPases RAP1 and RHOA cascade in glomerular mesangial cells.
-
基因功能參考文獻:
- The present study demonstrated that the circulating bigET-1 was valuable in the assessment of the severity of CAC. PMID: 29562761
- Unfavorable genotype of polymorphic variant of candidate gene participating in endothelial dysfunction EDN1 (Lys198Asn) was associated with changes in levels of their active substances in individuals exposed to mercury. PMID: 30351652
- Endothelin-1, nitric oxide, and serotonin are related to blood pressure in adolescent males. PMID: 30271160
- this study provides that infants with genotype GT eNOS 894G > T have 3.4-fold higher risk of developing of IVH if they are born before 28 + 6 weeks of gestation. PMID: 28211916
- Preeclamptic plasma stimulates the expression of miRNAs in HUVECs, leading to a decrease in endothelin-1 levels. PMID: 29674204
- According to the results of the present study, the culture solution with HUVECs affected the differentiation ofdental pulp stem cells (DPSCs). In addition, ET1 may promote the odontoblastic differentiation of DPSCs. PMID: 29845193
- EZH2, ET-1, and CD34 may act as biomarkers of aggressive cervical squamous cell carcinoma PMID: 29630085
- The plasma D-dimer and ET-1 levels provided a novel marker for treatment selection for the T-segment elevation acute myocardial infarction patients with a type 2 diabetes mellitus history. PMID: 29806659
- EDN1 rs5370 polymorphism was associated with large artery stroke development. PMID: 29849817
- Endothelin-1 is a regulator of Mena expression in the serous ovarian cancer.Endothelin-1 role in the invadopodian function. PMID: 29439204
- Studied effects of dexamethasone on gene expression regulation of sirtuin 1 (SIRT1), interleukin 6 (IL6), and endothelin 1 (EDN1) in gingival derived aging stem cells. Dexamethasone downregulated expression of SIRT1 and IL6 but upregulated EDN1 in stem cells. PMID: 29302812
- Baseline big ET-1>0.56pmol/L was independently associated with higher all-cause mortality and HFH among CRT recipients. PMID: 29913121
- this study provides the first evidence that a 2-SNP haplotype of the ET-1 gene is associated with increased risk of hormone refractory prostate cancer PMID: 29441862
- During exercise, we noted a rapid and significant reduction in venous ET-1 levels in obese subjects but no significant change in lean subjects. PMID: 28977804
- Serum levels of miR-31 and endothelin-1are elevated in psoriasis vulgaris and are suggested to play significant roles in the pathophysiology of psoriasis. PMID: 28937251
- Plasma big ET-1 level is a valuable independent predictor of ST in patients with coronary stents, especially in the acute coronary syndrome population. PMID: 28942357
- Although our study revealed higher serum ET-1 and lower serum alpha-Klotho levels in systemic sclerosis patients compared to healthy controls, there were not any significant correlations between their serum levels with severity of organ involvement. PMID: 28831601
- plasma EDN1 levels were significantly increased in Korean patients with fibromyalgia syndrome (FMS) compared with those in healthy controls. EDN1 SNP was revealed to be associated with susceptibility to FMS. PMID: 28901422
- miR-200c regulates endothelin-1 induced pulmonary artery smooth muscle cells abnormal proliferation and apoptosis. PMID: 29044995
- Increased ET-1 levels after 3 years were positively associated pulse pressure, suggesting subclinical haemodynamic changes with potential premature onset of cardiovascular disease in the black South Africans. PMID: 28726796
- The presence of the rs2070699 T allele of EDN1 increased the risk of persistent pulmonary hypertension of the newborn in neonates with respiratory distress. PMID: 27425626
- Studied the associations of Protein Z (PROZ G79A) and Endothelin-1 (EDN1 G5665T) polymorphisms with the clinical features of sickle cell disease (SCD) in a cohort of Egyptian children with SCD. PMID: 28548215
- Endothelin-1 rs4714384 is an important biomarker of cardiovascular events in end stage renal disease patients. PMID: 28882114
- We provided some ways of distinguishing Retinal vein occlusion (RVO)patients in practice and introduced the vasoactivity of the vein itself and the possible involvement of vasoconstrictors such as ET-1 for the pathogenesis of RVO through our clinical studies, some animal experiments, and recent literatures. PMID: 28904960
- High levels of plasma endothelin-1 predicted prognosis for patients with hypertrophic cardiomyopathy. PMID: 28587741
- highly expressed in the dermal microvascular endothelial cells of hypertrophic scars and keloids PMID: 27892645
- ET-1 promoted the proliferation, migration and secretion of extracellular matrix molecules through the protein kinase B (Akt) and extracellular signal-regulated kinase (Erk) signaling pathways in RPE cells in vitro. Thus, ET-1 may play a vital role in the development of PVR. PMID: 28634054
- Increased baseline values of ET-1 (and BNP) after acute myocardial infarction, were independently predictive of future cardiovascular events. PMID: 28284500
- The EDN1 gene polymorphism may play a significant role in predicting individual's susceptibility toward venous thromboembolism and its clinical progression PMID: 27481876
- Epiretinal membrane formation in proliferative diabetic retinopathy involves higher tissue levels of endothelin-1 and fibroblastic activity PMID: 29351334
- this study did not find any significant differences of ET-1 level between obstetric antiphospholipid syndrome and thrombotic antiphospholipid syndrome PMID: 27267037
- Polymorphic variants of endothelin EDN (K198N) and endothelin receptor type A genes EDN RA (C1222T, C70G, G231A) affected ET plasma concentrations. There was no association between the plasma endothelin levels and the risk factors for normal tension glaucoma. PMID: 27777505
- high glucose and free fatty acids reduced NO and increased ET-1 levels induced by acetylcholine through the modulation of intracellular calcium concentrations and endothelial NO synthase phosphorylation, events also reverted by hydroxytyrosol and polyphenol extract. PMID: 25460732
- In both the acute and remission phase of thrombotic thrombocytopenic purpura we found increased CT-proET-1 and VWF levels, while Factor H levels decreased compared with healthy controls. In remission, however, the elevated CT-proET-1 levels showed a 22 % decrease when compared with the acute phase. PMID: 26763086
- ET-1 increased NSCLC clonal growth, whereas BQ123, ZD4054, lapatinib or gefitinib inhibited proliferation. The results indicate that ET-1 may regulate NSCLC cellular proliferation in an EGFR- and HER2-dependent manner PMID: 28153500
- Data indicate that patients with systemic sclerosis (SSc) displayed higher serum levels of VEGF, endothelin-1 and s-Fractalkine, and that the s-Fractalkine levels positively correlated with CD34(+)CD45(-) endothelial progenitor cells (EPC) numbers. PMID: 28320472
- Endothelin-1 and its receptors on haemorrhoidal tissue: a potential site for therapeutic intervention PMID: 28095606
- we could provide evidence that established stress-related biomarkers ET-1, MCP-1, CGA were differentially regulated among patients with AF compared to healthy controls. PMID: 28886122
- Two END1 polymorphisms do not appear to affect the development of hypertension in the Chinese population. PMID: 28692114
- TWEAK may stimulate endothelial ET-1 synthesis, through the up-regulation of ECE-1. PMID: 28025386
- ET-1 may be a unique predictor of heart failure prognosis PMID: 28398455
- The EDNRA SNP rs5335 was independently associated with aneurysms >/=7 mm in size at the time of rupture. Patients with cerebral aneurysms also carrying the G allele of EDNRA SNP rs5335 may develop larger aneurysms before rupture. PMID: 28323184
- c-Src tyrosine kinase mediates high glucose-induced endothelin-1 expression PMID: 27102411
- This review takes us through the drug discovery journey that led to the discovery, development, and registration of macitentan. [review] PMID: 27534881
- Endothelin contributes to the rise in SBP in response to acute hypoxia in patients with severely untreated OSA. PMID: 27906839
- Results show a correlation between ET-1 and an impaired liver function, quantified by the maximal liver function capacity test, in critically ill patients. The findings approve the close interaction between TNF-alpha and ET-1 in sepsis. PMID: 28542386
- The mean serum levels of endothelin-1 in Egyptian acute myocardial infarction patients was significantly higher than controls. PMID: 27761928
- The ratio of serum levels of adiponectin to endothelin strongly correlates with severity of coronary artery disease. PMID: 28781261
- Higher levels of circulating endothelin-1 on admission independently predicts subsequent hospital major cardiac events in patients presenting with STEMI. PMID: 27372047
- ET-1 is upregulated in giant cell arteritis (GCA) lesions and, by promoting VSMC migration towards the intimal layer, may contribute to intimal hyperplasia and vascular occlusion in GCA. PMID: 28606962
顯示更多
收起更多
-
相關疾病:Question mark ears, isolated (QME); Auriculocondylar syndrome 3 (ARCND3)
-
亞細胞定位:Secreted.
-
蛋白家族:Endothelin/sarafotoxin family
-
組織特異性:Expressed in lung, placental stem villi vessels and in cultured placental vascular smooth muscle cells.
-
數據庫鏈接:
Most popular with customers
-
-
YWHAB Recombinant Monoclonal Antibody
Applications: ELISA, WB, IHC, IF, FC
Species Reactivity: Human, Mouse, Rat
-
Phospho-YAP1 (S127) Recombinant Monoclonal Antibody
Applications: ELISA, WB, IHC
Species Reactivity: Human
-
-
-
-
-















