EDC4 Antibody
-
中文名稱:EDC4兔多克隆抗體
-
貨號:CSB-PA744034LA01HU
-
規格:¥440
-
圖片:
-
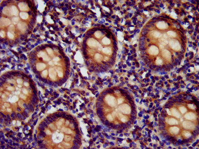
IHC image of CSB-PA744034LA01HU diluted at 1:400 and staining in paraffin-embedded human appendix tissue performed on a Leica BondTM system. After dewaxing and hydration, antigen retrieval was mediated by high pressure in a citrate buffer (pH 6.0). Section was blocked with 10% normal goat serum 30min at RT. Then primary antibody (1% BSA) was incubated at 4°C overnight. The primary is detected by a biotinylated secondary antibody and visualized using an HRP conjugated SP system.
-
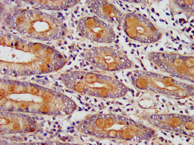
IHC image of CSB-PA744034LA01HU diluted at 1:400 and staining in paraffin-embedded human small intestine tissue performed on a Leica BondTM system. After dewaxing and hydration, antigen retrieval was mediated by high pressure in a citrate buffer (pH 6.0). Section was blocked with 10% normal goat serum 30min at RT. Then primary antibody (1% BSA) was incubated at 4°C overnight. The primary is detected by a biotinylated secondary antibody and visualized using an HRP conjugated SP system.
-
Immunofluorescence staining of Hela cells with CSB-PA744034LA01HU at 1:133, counter-stained with DAPI. The cells were fixed in 4% formaldehyde, permeabilized using 0.2% Triton X-100 and blocked in 10% normal Goat Serum. The cells were then incubated with the antibody overnight at 4°C. The secondary antibody was Alexa Fluor 488-congugated AffiniPure Goat Anti-Rabbit IgG(H+L).
-
-
其他:
產品詳情
-
產品名稱:Rabbit anti-Homo sapiens (Human) EDC4 Polyclonal antibody
-
Uniprot No.:
-
基因名:
-
別名:autoantigen antibody; Autoantigen Ge 1 antibody; Autoantigen Ge-1 antibody; Autoantigen Ge1 antibody; Autoantigen RCD 8 antibody; Autoantigen RCD-8 antibody; Autoantigen RCD8 antibody; edc4 antibody; EDC4_HUMAN antibody; Enhancer of mRNA decapping 4 antibody; Enhancer of mRNA-decapping protein 4 antibody; Ge 1 antibody; Hedls antibody; Human enhancer of decapping large subunit antibody; RCD 8 antibody
-
宿主:Rabbit
-
反應種屬:Human
-
免疫原:Recombinant Human Enhancer of mRNA-decapping protein 4 protein (753-952AA)
-
免疫原種屬:Homo sapiens (Human)
-
標記方式:Non-conjugated
本頁面中的產品,EDC4 Antibody (CSB-PA744034LA01HU),的標記方式是Non-conjugated。對于EDC4 Antibody,我們還提供其他標記。見下表:
-
克隆類型:Polyclonal
-
抗體亞型:IgG
-
純化方式:>95%, Protein G purified
-
濃度:It differs from different batches. Please contact us to confirm it.
-
保存緩沖液:Preservative: 0.03% Proclin 300
Constituents: 50% Glycerol, 0.01M PBS, pH 7.4 -
產品提供形式:Liquid
-
應用范圍:ELISA, IHC, IF
-
推薦稀釋比:
Application Recommended Dilution IHC 1:200-1:500 IF 1:50-1:200 -
Protocols:
-
儲存條件:Upon receipt, store at -20°C or -80°C. Avoid repeated freeze.
-
貨期:Basically, we can dispatch the products out in 1-3 working days after receiving your orders. Delivery time maybe differs from different purchasing way or location, please kindly consult your local distributors for specific delivery time.
-
用途:For Research Use Only. Not for use in diagnostic or therapeutic procedures.
相關產品
靶點詳情
-
功能:In the process of mRNA degradation, seems to play a role in mRNA decapping. Component of a complex containing DCP2 and DCP1A which functions in decapping of ARE-containing mRNAs. Promotes complex formation between DCP1A and DCP2. Enhances the catalytic activity of DCP2 (in vitro).
-
基因功能參考文獻:
- EDC4 plays a key role in homologous recombination by stimulating end resection at double-strand breaks. PMID: 29511213
- The assembly of EDC4 and Dcp1a into processing bodies is critical for the translational regulation of IL-6. PMID: 25970328
- EDC4 is a processing body (P-body) component. PMID: 24858563
- The data indicates that DCP2 activation by DCP1 occurs preferentially on the EDC4 scaffold, which may serve to couple DCP2 activation by DCP1 with 5'-to-3' mRNA degradation by XRN1 in human cells. PMID: 24510189
- EDC4 might contribute to regulation of CoA biosynthesis in addition to its scaffold function in processing bodies PMID: 22982864
顯示更多
收起更多
-
亞細胞定位:Cytoplasm, P-body. Nucleus.
-
蛋白家族:WD repeat EDC4 family
-
數據庫鏈接:
Most popular with customers
-
-
YWHAB Recombinant Monoclonal Antibody
Applications: ELISA, WB, IHC, IF, FC
Species Reactivity: Human, Mouse, Rat
-
Phospho-YAP1 (S127) Recombinant Monoclonal Antibody
Applications: ELISA, WB, IHC
Species Reactivity: Human
-
-
-
-
-















