ECT2 Antibody
-
中文名稱:ECT2兔多克隆抗體
-
貨號:CSB-PA888001LA01HU
-
規格:¥440
-
圖片:
-
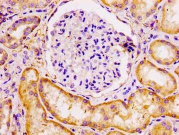
IHC image of CSB-PA888001LA01HU diluted at 1:100 and staining in paraffin-embedded human kidney tissue performed on a Leica BondTM system. After dewaxing and hydration, antigen retrieval was mediated by high pressure in a citrate buffer (pH 6.0). Section was blocked with 10% normal goat serum 30min at RT. Then primary antibody (1% BSA) was incubated at 4°C overnight. The primary is detected by a biotinylated secondary antibody and visualized using an HRP conjugated SP system.
-
Immunoprecipitating ECT2 in Hela whole cell lysate
Lane 1: Rabbit control IgG instead of CSB-PA888001LA01HU in Hela whole cell lysate. For western blotting, a HRP-conjugated Protein G antibody was used as the secondary antibody (1/50000)
Lane 2: CSB-PA888001LA01HU (6μg) + Hela whole cell lysate (1mg)
Lane 3: Hela whole cell lysate (20μg) -
Western Blot
Positive WB detected in: Hela whole cell lysate, A549 whole cell lysate, 293T whole cell lysate
All lanes:ECT2 antibody at 2.7μg/ml
Secondary
Goat polyclonal to rabbit IgG at 1/50000 dilution
Predicted band size: 104, 100, 109, 101 kDa
Observed band size: 104 kDa
-
-
其他:
產品詳情
-
產品名稱:Rabbit anti-Homo sapiens (Human) ECT2 Polyclonal antibody
-
Uniprot No.:
-
基因名:ECT2
-
別名:ECT2Protein ECT2 antibody; Epithelial cell-transforming sequence 2 oncogene antibody
-
宿主:Rabbit
-
反應種屬:Human
-
免疫原:Recombinant Human Protein ECT2 protein (283-453AA)
-
免疫原種屬:Homo sapiens (Human)
-
標記方式:Non-conjugated
本頁面中的產品,ECT2 Antibody (CSB-PA888001LA01HU),的標記方式是Non-conjugated。對于ECT2 Antibody,我們還提供其他標記。見下表:
-
克隆類型:Polyclonal
-
抗體亞型:IgG
-
純化方式:>95%, Protein G purified
-
濃度:It differs from different batches. Please contact us to confirm it.
-
保存緩沖液:Preservative: 0.03% Proclin 300
Constituents: 50% Glycerol, 0.01M PBS, pH 7.4 -
產品提供形式:Liquid
-
應用范圍:ELISA, WB, IHC, IP
-
推薦稀釋比:
Application Recommended Dilution WB 1:500-1:5000 IHC 1:500-1:1000 IP 1:200-1:2000 -
Protocols:
-
儲存條件:Upon receipt, store at -20°C or -80°C. Avoid repeated freeze.
-
貨期:Basically, we can dispatch the products out in 1-3 working days after receiving your orders. Delivery time maybe differs from different purchasing way or location, please kindly consult your local distributors for specific delivery time.
-
用途:For Research Use Only. Not for use in diagnostic or therapeutic procedures.
相關產品
靶點詳情
-
功能:Guanine nucleotide exchange factor (GEF) that catalyzes the exchange of GDP for GTP. Promotes guanine nucleotide exchange on the Rho family members of small GTPases, like RHOA, RHOC, RAC1 and CDC42. Required for signal transduction pathways involved in the regulation of cytokinesis. Component of the centralspindlin complex that serves as a microtubule-dependent and Rho-mediated signaling required for the myosin contractile ring formation during the cell cycle cytokinesis. Regulates the translocation of RHOA from the central spindle to the equatorial region. Plays a role in the control of mitotic spindle assembly; regulates the activation of CDC42 in metaphase for the process of spindle fibers attachment to kinetochores before chromosome congression. Involved in the regulation of epithelial cell polarity; participates in the formation of epithelial tight junctions in a polarity complex PARD3-PARD6-protein kinase PRKCQ-dependent manner. Plays a role in the regulation of neurite outgrowth. Inhibits phenobarbital (PB)-induced NR1I3 nuclear translocation. Stimulates the activity of RAC1 through its association with the oncogenic PARD6A-PRKCI complex in cancer cells, thereby acting to coordinately drive tumor cell proliferation and invasion. Also stimulates genotoxic stress-induced RHOB activity in breast cancer cells leading to their cell death.
-
基因功能參考文獻:
- High ECT2 expression was correlated with tumor metastasis and poor overall survival of osteosarcoma patients. PMID: 28794404
- The expression of ECT2 is related to the survival of patients with breast cancer, and Its high expression is significantly associated with unfavourable survival rates. PMID: 29051317
- These results identified p53 as a novel up-stream signaling molecule of ECT2 in Gastric cancer cells. PMID: 28654632
- High PDC2 expression is associated with pancreatic adenocarcinoma. PMID: 26993610
- While the association of ECT2 with the plasma membrane is essential for cytokinesis, our data suggest that ECT2 recruitment to the spindle midzone is insufficient to account for equatorial furrowing and may act redundantly with yet-uncharacterized signals. PMID: 27926870
- Among 518 genes co-expressed with ECT2 in LUAD and 386 genes co-expressed with ECT2 in LUSC, there were only 98 genes in the overlapping cluster PMID: 29088286
- E6AP suppresses breast cancer metastasis by regulating actin cytoskeleton remodeling through the control of ECT2 and Rho GTPase activity. PMID: 27231202
- Ect2 regulates rRNA synthesis through a PKCiota-Ect2-Rac1-NPM signaling axis that is required for lung tumorigenesis. PMID: 28110998
- Data suggest that the expression of epithelial cell transforming sequence 2 oncogene (ECT2) can serve as an alternative measurement that can compensate for the inadequacy of the current carcinoembryonic antigen (CEA) test in the diagnosis and monitoring of colorectal cancer patients. PMID: 28362321
- Our data demonstrate that the cytokinetic proteins epithelial cell transforming 2 and Aurora kinase B (AurkB) are localized to stress granules in human astrocytoma cells PMID: 27106762
- Kaplan-Meier analysis revealed that lower levels of Ect2 mRNA predicted higher overall survivals and biochemical recurrence (BCR)-free survivals in all patients or non-metastatic patients. PMID: 28012134
- Our results suggest that ECT2 plays an important role during gastric cancer progression PMID: 26497353
- Colorectal cancer patients with high expression levels of ECT2 had shorter overall survival. PMID: 26211594
- ECT2 can crosstalk with RACGAP1 to catalyse the GTP exchange involved in Rho signalling to further regulate tumour initiation and metastasis. PMID: 25617497
- Up-regulation of ECT2 might contribute to the progression of gastric carcinogenesis and may be a useful prognostic indicator in gastric cancer. PMID: 25674238
- Poly(ADP-ribosyl)ation is recognized by ECT2. PMID: 25486481
- central spindle assembly and 2 Plk1-dependent phosphorylations are required to establish efficient binding of the Ect2 BRCT in early cytokinesis. PMID: 25486482
- ECT2 expression is positively correlated with WHO pathologic grading and unfavorable survival, suggesting that ECT2 may be a potential therapeutic candidate in human gliomas. PMID: 25237947
- structure of triple-BRCT-domain of ECT2 and insights into the binding characteristics to CYK-4 PMID: 25068414
- the deregulation of miR-223 and its target gene ECT2 may be associated with the aggressive tumor progression of human osteosarcoma PMID: 24784921
- Abnormality of the ECT2 gene occurs at a relatively early stage of lung adenocarcinogenesis and would be applicable as a new biomarker for prognostication of patients with lung adenocarcinoma PMID: 24484057
- Both Pbl and ECT2 repress Wg/Wnt target gene expression in cultured Drosophila and human cells. PMID: 24198276
- Data suggest that ECT2 may play an oncogenic role in the pancreatic ductal adenocarcinoma (PDAC) neoplastic process. PMID: 23851435
- miR-223 functions as a tumor suppresser in osteosarcoma and miR-223/Ect2/p21 signaling is an important pathway that regulates the osteosarcoma cell cycle progression and proliferaion PMID: 23601845
- ECT2 is important for tight junction function and maintenance of cell polarity. Nonfunction of this gene may cause renal tubulointerstitial injury, progressing to glomerular sclerosis. PMID: 22552385
- RASAL2 was identified as an ECT2-interacting protein that regulates RHO activity in astrocytoma cells. PMID: 22683310
- find that Ect2 first becomes active in prophase, when it is exported from the nucleus into the cytoplasm, activating RhoA to induce the formation of a mechanically stiff and rounded metaphase cortex PMID: 22898780
- Data supports an analogous function for the anillin-Ect2 complex in human cells and one hypothesis is that this complex has functionally replaced the Drosophila anillin-RacGAP50C complex. PMID: 22514687
- identify Ect2 as a cell cycle-regulated protein and suggest that its ubiquitination-dependent degradation may play an important role in RhoA regulation at the time of mitosis. PMID: 21886810
- targeting of Ect2 to the equatorial membrane represents a key step in the delivery of the cytokinetic signal to the cortex PMID: 22172673
- A mechanism involving the nuclear GEFs Ect2 and Net1 for activating RhoB after genotoxic stress, thereby facilitating cell death after treatment with DNA damaging agents. PMID: 21373644
- Ect2 was a possible regulator of matrix-contact-side localization of invadopodia-related proteins. PMID: 21474972
- a model in which PKCiota-mediated phosphorylation regulates Ect2 binding to the oncogenic PKCiota-Par6 complex thereby activating Rac1 activity and driving transformed growth and invasion. PMID: 21189248
- Results suggest that ECT2 is an indicator of cellular proliferation in OSCCs and that ECT2 might be a potential therapeutic target for the development of new treatments for OSCCs. PMID: 21124766
- XRCC1, CLB6, and BRCT domains of ECT2 play a critical role in regulating cytokinesis PMID: 14587037
- ECT2 regulates the polarity complex Par6/Par3/PKCzeta and possibly plays a role in epithelial cell polarity PMID: 15254234
- BRCT domains negatively regulate Ect2 GEF activity in interphase cells, and they are also required for the proper function of Ect2 during cytokinesis PMID: 15545273
- Ect2 regulates the activation and function of Cdc42 in mitosis. PMID: 15642749
- Central spindle localization of ECT2 assists division plane positioning and the CYK-4 subunit of centralspindlin acts upstream of RhoA to promote furrow assembly. PMID: 16103226
- Cdk1 inactivation is sufficient to activate a signaling pathway leading to cytokinesis, which emanates from mitotic spindles and is regulated by ECT2, MgcRacGAP, and RhoA PMID: 16118207
- MgcRacGAP controls the initiation of cytokinesis by regulating ECT2, which in turn induces the assembly of the contractile ring and triggers the ingression of the cleavage furrow PMID: 16129829
- a conformational change of ECT2 upon phosphorylation at T341. Therefore, ECT2 activity might be regulated by the phosphorylation status of T341. PMID: 16170345
- ECT2 is regulated by Plk1 and CDK1, phosphorylation of ECT2 leads to accumulation of RHOA PMID: 16247472
- Data show that RhoA accumulates at the equatorial cortex before furrow initiation and continues to concentrate at the cleavage furrow during cytokinesis, and that centralspindlin and ECT2 are required for this localization and furrowing. PMID: 16352658
- ECT2 knockdown triggers cell cycle arrest in G1. PMID: 16778203
- In mitotic cells Ect2 localizes to the central spindle and to the cell cortex. PMID: 16803869
- Aberrant ECT2 expression, observed in various human tumors, could be the direct result of RB/E2F pathway deficiency, thereby contributing to cell division in cancers. PMID: 16862181
- Late mitotic Plk1 activity promotes recruitment of Ect2 to the central spindle, triggering the initiation of cytokinesis and contributing to cleavage plane specification in human cells. PMID: 17488623
- This gene was silenced. PMID: 17688947
- These results suggest that equatorial Ect2 locally suppresses lamellipodia formation via RhoA activation, which indirectly contributes to restricting lamellipodia formation to polar regions during cytokinesis B. PMID: 17942602
顯示更多
收起更多
-
亞細胞定位:Nucleus. Cytoplasm. Cytoplasm, cytoskeleton, spindle. Cleavage furrow. Midbody. Cell junction. Cell junction, tight junction. Note=Sequestered within the nucleus during interphase. Dispersed throughout the cytoplasm upon breakdown of the nuclear envelope during mitosis. Colocalizes with the centralspindlin complex to the mitotic spindles during anaphase/metaphase, the cleavage furrow during telophase and at the midbody at the end of cytokinesis. Colocalized with RhoA at the midbody. Its subcellular localization to tight junction is increased by calcium. Localized predominantly in the cytoplasm of numerous carcinoma cells.
-
組織特異性:Expressed in lung epithelial cells (at protein level). Expressed in squamous cell carcinoma, primary non-small cell lung cancer tumors and lung adenocarcinoma.
-
數據庫鏈接:
Most popular with customers
-
-
YWHAB Recombinant Monoclonal Antibody
Applications: ELISA, WB, IHC, IF, FC
Species Reactivity: Human, Mouse, Rat
-
Phospho-YAP1 (S127) Recombinant Monoclonal Antibody
Applications: ELISA, WB, IHC
Species Reactivity: Human
-
-
-
-
-















