E2F6 Antibody
-
中文名稱:E2F6兔多克隆抗體
-
貨號:CSB-PA007347ESR2HU
-
規格:¥440
-
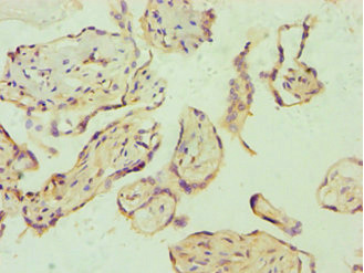
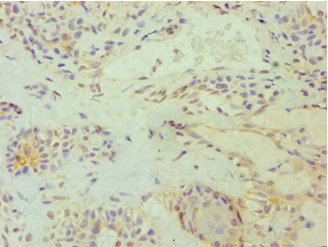
圖片:
-
其他:
產品詳情
-
產品名稱:Rabbit anti-Homo sapiens (Human) E2F6 Polyclonal antibody
-
Uniprot No.:
-
基因名:E2F6
-
別名:E2F 6 antibody; E2F binding site modulating activity protein antibody; E2F transcription factor 6 antibody; E2F transcription factor 6 isoform 1 antibody; E2F-6 antibody; E2F6 antibody; E2F6_HUMAN antibody; EMA antibody; MGC111545 antibody; Transcription factor E2F6 antibody
-
宿主:Rabbit
-
反應種屬:Human
-
免疫原:Recombinant Human Transcription factor E2F6 protein (1-281AA)
-
免疫原種屬:Homo sapiens (Human)
-
標記方式:Non-conjugated
-
克隆類型:Polyclonal
-
抗體亞型:IgG
-
純化方式:Antigen Affinity Purified
-
濃度:It differs from different batches. Please contact us to confirm it.
-
保存緩沖液:PBS with 0.02% sodium azide, 50% glycerol, pH7.3.
-
產品提供形式:Liquid
-
應用范圍:ELISA, IHC
-
推薦稀釋比:
Application Recommended Dilution IHC 1:20-1:200 -
Protocols:
-
儲存條件:Upon receipt, store at -20°C or -80°C. Avoid repeated freeze.
-
貨期:Basically, we can dispatch the products out in 1-3 working days after receiving your orders. Delivery time maybe differs from different purchasing way or location, please kindly consult your local distributors for specific delivery time.
-
用途:For Research Use Only. Not for use in diagnostic or therapeutic procedures.
相關產品
靶點詳情
-
功能:Inhibitor of E2F-dependent transcription. Binds DNA cooperatively with DP proteins through the E2 recognition site, 5'-TTTC[CG]CGC-3'. Has a preference for the 5'-TTTCCCGC-3' E2F recognition site. E2F6 lacks the transcriptional activation and pocket protein binding domains. Appears to regulate a subset of E2F-dependent genes whose products are required for entry into the cell cycle but not for normal cell cycle progression. Represses expression of some meiosis-specific genes, including SLC25A31/ANT4. May silence expression via the recruitment of a chromatin remodeling complex containing histone H3-K9 methyltransferase activity. Overexpression delays the exit of cells from the S-phase.
-
基因功能參考文獻:
- This analysis showed a relative increase in the expression of E2F6 in gastric adenocarcinoma with no lymph node metastasis (chi (2), P = 0.04 and OR, P = 0.08), while overexpression of RhoA and SMUG1 was found more often in the diffuse subtype of gastric adenocarcinoma as compared to the intestinal subtype. PMID: 27909884
- After replication stress, the checkpoint kinase Chk1 phosphorylates E2F6, leading to its dissociation from promoters. This promotes E2F-dependent transcription, which mediates cell survival by preventing DNA damage and cell death PMID: 23954429
- findings indicate an inhibitory role of E2F6 in the regulation of IL-13 and allergy PMID: 22981205
- E2F6 may recruit BRG1 in transcriptional regulation of genes important for G1/S phase transition of the cell cycle. PMID: 23082233
- data suggest that E2F- and Myc-responsive genes are coregulated by E2F6 complex in quiescent cells PMID: 12004135
- results suggest that E2F6 represses transcription of the brca1, ctip, art27, hp1alpha, and the rbap48 genes and depletion of E2F6 resulted in the recruitment of E2F1 to the target promoters PMID: 12909625
- contains nine exons distributed along 20.4kbp of genomic DNA on chromosome 2 leading to the transcription of six alternatively spliced E2F6 mRNAs that encode four different E2F6 proteins PMID: 15081404
- E2F6 does not contain the domains required for modulation of squamous differentiation PMID: 15474455
- showed that E2F6, DP1, EPC1, EZH2, and Sin3B co-elute, suggesting the identification of a novel E2F6 complex that exists in vivo in both normal and transformed human cell lines PMID: 15536069
- functions as a repressor of E2F-dependent transcription during S phase PMID: 15574595
- PHC3 and E2F6 showed nuclear colocalization in a punctate pattern which was not seen in proliferating cells suggesting that PHC3 may be part of an E2F6-polycomb complex that has been shown to occupy and silence target promoters in G(0) PMID: 17001316
- E2F-6 inhibited Apaf-1 upregulation by competing with E2F-1 for promoter binding. It enhanced the clonogenic growth of granulocyte, erythroid, macrophage, & megakaryocyte cells.It may prevent hematopoietic progenitor cell loss during proliferation. PMID: 17600109
- E2F6 binding sites are located within 2 kb of a transcription start site, in both normal and tumor cells PMID: 17908821
顯示更多
收起更多
-
亞細胞定位:Nucleus.
-
蛋白家族:E2F/DP family
-
組織特異性:Expressed in all tissues examined. Highest levels in placenta, skeletal muscle, heart, ovary, kidney, small intestine and spleen.
-
數據庫鏈接:
Most popular with customers
-
-
YWHAB Recombinant Monoclonal Antibody
Applications: ELISA, WB, IHC, IF, FC
Species Reactivity: Human, Mouse, Rat
-
Phospho-YAP1 (S127) Recombinant Monoclonal Antibody
Applications: ELISA, WB, IHC
Species Reactivity: Human
-
-
-
-
-















