E2F2 Antibody
-
中文名稱:E2F2兔多克隆抗體
-
貨號:CSB-PA623909LA01HU
-
規格:¥3900
-
圖片:
-
Western Blot
Positive WB detected in: A549 whole cell lysate(20μg), MCF7 whole cell lysate(20μg), K562 whole cell lysate(20μg), Hela whole cell lysate(20μg), HepG2 whole cell lysate(20μg)
All lanes:E2F2 antibody at 1:1000
Secondary
Goat polyclonal to rabbit IgG at 1/20000 dilution
Predicted band size: 48 kDa
Observed band size: 48kDa
Exposure time: 120s -
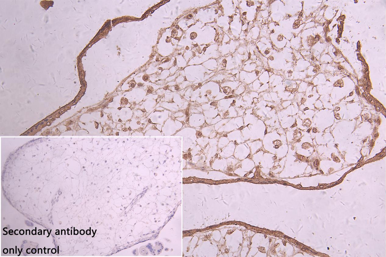
IHC image of CSB-PA623909LA01HU diluted at 1:100 and staining in paraffin-embedded human placenta tissue performed on a Leica BondTM system. After dewaxing and hydration, antigen retrieval was mediated by high pressure in a citrate buffer (pH 6.0). Section was blocked with 10% normal goat serum 30min at RT. Then primary antibody (1% BSA) was incubated at 4°C overnight. The primary is detected by a Goat anti-rabbit polymer IgG labeled by HRP and visualized using 0.05% DAB. Secondary antibody only control: uses 1% BSA instead of primary antibody
-
-
其他:
產品詳情
-
產品描述:
CUSABIO yields the anti-E2F2 antibody (CSB-PA623909LA01HU) in the rabbits that are immunized with a peptide corresponding to amino acids 1-83 of the human E2F2 protein. This E2F2 polyclonal antibody only shows reactivity with human E2F2 protein, a transcription factor that regulates the expression of numerous genes. It exists as an unconjugated IgG isotype. And it has been purified by protein G and is more than 95% pure. It can recognize E2F2 protein in multiple applications, including ELISA, WB, and IHC.
-
產品名稱:Rabbit anti-Homo sapiens (Human) E2F2 Polyclonal antibody
-
Uniprot No.:
-
基因名:
-
別名:dE2F2 antibody; E2F transcription factor 2 antibody; E2F-2 antibody; E2F2 antibody; E2F2_HUMAN antibody; Transcription factor E2F2 antibody
-
宿主:Rabbit
-
反應種屬:Human
-
免疫原:Synthesized peptide derived from internal of human E2F2
-
免疫原種屬:Homo sapiens (Human)
-
克隆類型:Polyclonal
-
抗體亞型:IgG
-
純化方式:Antigen?affinity?purification
-
濃度:It differs from different batches. Please contact us to confirm it.
-
保存緩沖液:Rabbit IgG in phosphate buffered saline (without Mg2+ and Ca2+), pH 7.4, 150mM NaCl, 0.02% sodium azide and 50% glycerol.
-
產品提供形式:Liquid
-
應用范圍:ELISA, WB, IHC
-
推薦稀釋比:
Application Recommended Dilution WB 1:1000-1:3000 IHC 1:100-1:300 -
Protocols:
-
儲存條件:Upon receipt, store at -20°C or -80°C. Avoid repeated freeze.
-
貨期:Basically, we can dispatch the products out in 1-3 working days after receiving your orders. Delivery time maybe differs from different purchasing way or location, please kindly consult your local distributors for specific delivery time.
-
用途:For Research Use Only. Not for use in diagnostic or therapeutic procedures.
相關產品
靶點詳情
-
功能:Transcription activator that binds DNA cooperatively with DP proteins through the E2 recognition site, 5'-TTTC[CG]CGC-3' found in the promoter region of a number of genes whose products are involved in cell cycle regulation or in DNA replication. The DRTF1/E2F complex functions in the control of cell-cycle progression from g1 to s phase. E2F2 binds specifically to RB1 in a cell-cycle dependent manner.
-
基因功能參考文獻:
- miR-214 overexpression inhibits glioma cell growth in vitro and in vivo by inducing cell cycle arrest in G0/G1. Collectively, these data uncover a novel role for a PPARalpha-miR-214-E2F2 pathway in controlling glioma cell proliferation. PMID: 29862267
- miR-99a reveals two novel targets E2F2 and EMR2 that play a key role in lung tumourigenesis. By inhibiting E2F2 and EMR2, miR-99a represses in vivo the transition of epithelial cells through an EMT process concomitantly with the inhibition of stemness features and consequently decreasing the CSC population. PMID: 29072692
- Low E2F2 expression is associated with invasion in clear cell renal cell carcinoma. PMID: 26967247
- Data indicate E2F transcription factor 2 protein (E2F2) as the direct target of miR-31 in gastric cancer cells. PMID: 27174918
- These results suggest that miR-125a acts as a tumor suppressor via regulation of E2F2 expression in osteosarcoma progression, and miR-125a may represent a novel therapeutic target for the treatment of osteosarcoma. PMID: 28950256
- Accordingly, our results demonstrated that NAMPT is a prognostic marker in melanoma, and the identificationofNAMPT-E2F2-SIRT1 pathway establishes another link between NAMPT and apoptosis events in melanoma, with therapeutic implications for this deadly cancer. PMID: 28919418
- Compared with patients with variant genotypes of E2F2-rs2742976 and E2F2-rs3218123, patients with common homozygous genotypes had better disease-free survival (both log-rank, P < 0.001) and lower squamous cell carcinoma of the oropharynx recurrence risk (HR, 0.4, 95% CI, 0.3-0.6 and HR, 0.3, 95% CI, 0.2-0.5, respectively) after multivariable adjustment. PMID: 27864908
- Let-7b inhibits the malignant behavior of glioma cells and glioma stem-like cells via downregulation of E2F2. PMID: 27520092
- In NSCLC patients, E2F2 expression was found to be significantly correlated with sex and tumor size. E2F1 and E2F2 overexpression showed a significant association with poor prognosis. PMID: 27655285
- Data indicate that microRNA miR-214 has tumor-suppressive activity in hepatocellular carcinoma (HCC) through inhibition of E2F2 transcription factor (E2F2), cyclin-dependent kinases CDK3 and CDK6. PMID: 26498144
- we validated for the first time that E2F2 acts as a tumor activator in non-small cell lung carcinoma. PMID: 26617764
- E2F2 loss results in increased lung metastasis in breast cancer, potentially functioning through a PTPRD dependent mechanism. PMID: 26474282
- Elevated E2F2 expression in glioblastoma cells weakens the effect of elevated levels of miR-218. PMID: 26012781
- miR218 and miR520a are crucial in the development of hepatocellular carcinoma via the inhibition of cell proliferation and cycle progression by downregulating E2F2. PMID: 25816091
- miR-31 regulated the proliferation of colon cancer cells by targeting E2F2. PMID: 25362258
- Results show evidence that let-7a expression in osteosarcoma (OS) cells is significantly reduced and inversely correlated with E2F2 expression levels and that let-7a plays an important role in OS cell proliferation and tumorigenesis by targeting E2F2. PMID: 25647078
- Overall, miR-155 plays an important role in colorectal carcinoma tumorigenesis by negative regulation of its targets including E2F2. PMID: 24793496
- Low expression of E2F2 may reflect functional redundancy between members of the E2F family, in this case between E2F1 and E2F2. PMID: 22688350
- these results indicate that LXR ligands target gene networks, including those regulated by E2F family members, are critical for tumor biology and disease progression and merit further consideration as potential agents PMID: 23809258
- E2F2 knockdown can inhibit hESC proliferation and tumorigenicity without significantly harming stemness. PMID: 24446828
- Data suggest that the uniquely increased expression of CD38 and E2F2 in rheumatoid arthritis (RA) synovial tissues contribute to the immunoactivation of the disease. PMID: 24397353
- ALY is a novel E2F2-interacting protein and a relevant modulator of E2F-responsive gene expression. PMID: 23297349
- miR-125b plays important roles in regulating the proliferation of cancer stem cells by directly targeting E2F2. PMID: 22999819
- Overexpression of E2F transcription factor 2 is associated with nonepithelial ovarian cancer. PMID: 22531302
- Findings suggest that the deregulated activity of E2F in cancer cells causes increased activation of the Kpnbeta1 and Kpnalpha2 promoters, leading to elevated levels of these proteins, and ultimately impacting the cancer phenotype. PMID: 22125623
- the 3'UTR of E2F2 and CCND2 were directly bound to let-7a and let-7a down-regulated the expression of E2F2 and CCND2, suppressing prostate cancer cell proliferation in culture PMID: 20418948
- determination of interaction with RYBP and YY1 PMID: 12411495
- E2F2 has a role in blood pressure regulation via a component of the endothelin system PMID: 12566389
- Proliferation-promoting E2F transcription factor E2F-2 plays a pivotal role in the tumor biology of ovarian cancer. PMID: 17341621
- Up-regulation of E2F2 was detected in a set of 54 astrocytomas of different grades and significantly associated with malignancy. PMID: 17588684
- identify a novel E2F-binding site in the survivin promoter and show that mutation of either the p53- or E2F-binding sites is sufficient to increase promoter activity PMID: 17916908
- Decreased expression of E2F2 is associated with Increased expression of HER2 in breast tumors. PMID: 19142864
- miR-24 Inhibits cell proliferation by targeting E2F2, MYC, and other cell-cycle genes via binding to "seedless" 3'UTR microRNA recognition elements. PMID: 19748357
顯示更多
收起更多
-
亞細胞定位:Nucleus.
-
蛋白家族:E2F/DP family
-
組織特異性:Highest level of expression is found in placenta, low levels are found in lung. Found as well in many immortalized cell lines derived from tumor samples.
-
數據庫鏈接:
Most popular with customers
-
-
YWHAB Recombinant Monoclonal Antibody
Applications: ELISA, WB, IHC, IF, FC
Species Reactivity: Human, Mouse, Rat
-
-
-
-
-
-















