E2F1 Antibody
-
中文名稱:E2F1兔多克隆抗體
-
貨號:CSB-PA007340LA01HU
-
規格:¥440
-
圖片:
-
Western blot
All lanes: E2F1 antibody at 7 μg/ml + 3T3 whole cell lysate
Secondary
Goat polyclonal to rabbit IgG at 1/10000 dilution
Predicted band size: 47 kDa
Observed band size: 47 kDa -
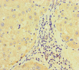
Immunohistochemistry of paraffin-embedded human liver cancer using CSB-PA007340LA01HU at dilution of 1:100
-
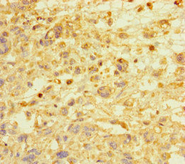
Immunohistochemistry of paraffin-embedded human melanoma using CSB-PA007340LA01HU at dilution of 1:100
-
Immunoprecipitating E2F1 in 3T3 whole cell lysate
Lane 1: Rabbit control IgG (1μg) instead of CSB-PA007340LA01HU in 3T3 whole cell lysate. For western blotting, a HRP-conjugated light chain specific antibody was used as the secondary antibody (1/50000)
Lane 2: CSB-PA007340LA01HU (8μg) + 3T3 whole cell lysate (500μg)
Lane 3: 3T3 whole cell lysate (10μg)
-
-
其他:
產品詳情
-
產品名稱:Rabbit anti-Homo sapiens (Human) E2F1 Polyclonal antibody
-
Uniprot No.:
-
基因名:
-
別名:Dmel\CG6376 antibody; Dmel_CG6376 antibody; drosE2F1 antibody; E(Sev-CycE)3A antibody; E(var)3-93E antibody; E2-promoter binding facto antibody; E2F 1 antibody; E2F transcription factor 1 antibody; E2F-1 antibody; E2f-PA antibody; E2f-PB antibody; E2f-PC antibody; E2F1 antibody; E2f1 E2F transcription factor 1 antibody; E2F1_HUMAN antibody; Evar(3)164 antibody; KIAA4009 antibody; l(3)07172 antibody; l(3)j3B1 antibody; l(3)j3C2 antibody; l(3)rM729 antibody; mKIAA4009 antibody; OTTHUMP00000030661 antibody; PBR3 antibody; PRB binding protein E2F 1 antibody; PRB-binding protein E2F-1 antibody; RBAP 1 antibody; RBAP-1 antibody; RBAP1 antibody; RBBP-3 antibody; RBBP3 antibody; RBP 3 antibody; RBP3 antibody; Retinoblastoma-associated protein 1 antibody; Retinoblastoma-binding protein 3 antibody; Transcription factor E2F1 antibody
-
宿主:Rabbit
-
反應種屬:Human, Mouse
-
免疫原:Recombinant Human Transcription factor E2F1 protein (133-362AA)
-
免疫原種屬:Homo sapiens (Human)
-
標記方式:Non-conjugated
本頁面中的產品,E2F1 Antibody (CSB-PA007340LA01HU),的標記方式是Non-conjugated。對于E2F1 Antibody,我們還提供其他標記。見下表:
-
克隆類型:Polyclonal
-
抗體亞型:IgG
-
純化方式:>95%, Protein G purified
-
濃度:It differs from different batches. Please contact us to confirm it.
-
保存緩沖液:Preservative: 0.03% Proclin 300
Constituents: 50% Glycerol, 0.01M PBS, PH 7.4 -
產品提供形式:Liquid
-
應用范圍:ELISA, WB, IHC, IP
-
推薦稀釋比:
Application Recommended Dilution WB 1:500-1:5000 IHC 1:20-1:200 IP 1:200-1:2000 -
Protocols:
-
儲存條件:Upon receipt, store at -20°C or -80°C. Avoid repeated freeze.
-
貨期:Basically, we can dispatch the products out in 1-3 working days after receiving your orders. Delivery time maybe differs from different purchasing way or location, please kindly consult your local distributors for specific delivery time.
-
用途:For Research Use Only. Not for use in diagnostic or therapeutic procedures.
相關產品
靶點詳情
-
功能:Transcription activator that binds DNA cooperatively with DP proteins through the E2 recognition site, 5'-TTTC[CG]CGC-3' found in the promoter region of a number of genes whose products are involved in cell cycle regulation or in DNA replication. The DRTF1/E2F complex functions in the control of cell-cycle progression from G1 to S phase. E2F1 binds preferentially RB1 in a cell-cycle dependent manner. It can mediate both cell proliferation and TP53/p53-dependent apoptosis. Blocks adipocyte differentiation by binding to specific promoters repressing CEBPA binding to its target gene promoters. Positively regulates transcription of RRP1B.
-
基因功能參考文獻:
- XPC is an RNA polymerase II cofactor recruiting ATAC coactivator complex to promoters by interacting with E2F1. PMID: 29973595
- Our findings reveal that the rs3213173 (C/T) and rs3213176 (G/A) polymorphisms of the E2F1 gene are genetic risk factors for susceptibility to lung cancer and Head and Neck cancer in the North Indian Population. PMID: 30036075
- High E2F1 expression is associated with hepatocellular carcinoma progression. PMID: 30106440
- the expression of miR175p inhibited high glucoseinduced endothelial cell injury by targeting E2F1. PMID: 29786752
- The nuclear transcription factor Y subunit beta (NFYB)-E2F transcription factor 1 (E2F1) pathway displays a crucial role in the chemoresistance ofoxaliplatin-resistant colorectal cancer (OR-CRC) by inducing the expression and activation of checkpoint kinase 1 (CHK1), suggesting a possible therapeutic target for oxaliplatin resistance in CRC. PMID: 29203250
- If, as expected, the consequences of the deregulation of the CDKN1C-E2F1-TP53 axis were the same as those experimentally demonstrated in mouse models, the disruption of this axis might be useful to predict tumor aggressiveness, and to provide the basis towards the development of potential therapeutic strategies in human Precursor T-cell lymphoblastic lymphomas PMID: 29661169
- Antitumor effect of lapatinib and cytotoxic agents by suppression of E2F1 in HER2positive breast cancer. PMID: 29845287
- Data show that mRNA translation stress induces E2F transcription factor 1 (E2F1) via PI3-kinase p110 subunit delta (PI3Kdelta). PMID: 29235459
- PPM1B plays a negative role in the activation of the p38-RB1-E2F1 pathway and that targeting PPM1B could be useful in certain types of cancer by stimulating chemotherapy-induced cell death. PMID: 29654756
- Studied impact of BET proteins and E2F transcription factor 1 (E2F1) in neoplastic genetic transcription in glioblastoma. PMID: 29764999
- E2F1 knockdown decreased the expression of discoidin domain receptor 1 (DDR1) which plays a crucial role in many fundamental processes such as cell differentiation, adhesion, migration and invasion. PMID: 29039472
- Our data imply that downregulation of E2F1 may be a key factor in the celastrol-mediated inhibitory effects in HepG2 cells, and celastrol can serve as a leading compound for the development of compounds designed to inactivate E2F1 for hepatocellular carcinoma therapy PMID: 29048668
- SNHG16 promotes glioma tumorigenesis by sponging miR-20a-5p, leading to the enhancement of its endogenous targets E2F1 PMID: 29685003
- These results demonstrate that gambogic acid sensitizes pancreatic cancer cells to gemcitabine in vitro and in vivo by inhibiting the activation of the ERK/E2F1/RRM2 signaling pathway. PMID: 28797284
- Reports showed that high expression of the transcription factor E2F1 was involved in the invasion and metastasis of small cell lung cancer (SCLC). Further results provided evidence that E2F1 promoted EMT by regulating ZEB2 gene expression in SCLC. PMID: 29115924
- By comparison in HeLa, Dox induced apoptosis through upregulation of endogenous E2F1 involving post-transcriptional mechanisms, while E2F6 was down regulated with induction of the Checkpoint kinase-1 and proteasome degradation. These data imply that E2F6 serves to modulate E2F activity and protect cells including cardiomyocytes from apoptosis and improve survival. PMID: 28964969
- This study reveals a molecular pathway involving lncRNA GAS5/E2F1/P27(Kip1) which regulates cell proliferation and could be a potential therapeutic target in prostate cancer. PMID: 28396462
- E2F1 induces TINCR transcriptional activity and accelerates gastric cancer progression via activation of TINCR/STAU1/CDKN2B signaling axis. PMID: 28569791
- Data show that lncRNA-HIT acted as an oncogene through association with E2F transcription factor 1 protein (E2F1). PMID: 28429752
- Cell proliferation and apoptosis were almost completely abolished in the PAa cells cotreated with TRIM28 siRNA and etoposide following knockdown of E2F1. The results of our study demonstrated that the combination of TRIM28 siRNA and etoposide may be effective against nonsmall cell lung cancer (NSCLC)and has the potential of being a new therapeutic tool for future treatment. PMID: 28498400
- These results reveal an additional level of regulation of the stability and the activity of E2F1 by a non-degradative K63-poly-ubiquitination and uncover a novel function for the E3-ubiquitin ligase cIAP1. PMID: 28542143
- Higher levels of miR-135a in gastric cancer (GC) are associated with shorter survival times and reduced times to disease recurrence. The mechanism whereby miR-135a promotes GC pathogenesis appears to be the suppression of E2F1 expression. PMID: 27683111
- Results provide mechanistic insight into a series of complex, differentiation-specific molecular mechanisms that regulate E2F1 during keratinocyte maturation via multiple events. These events include nucleocytoplasmic transport and changes in ubiquitinylation patterns specifically orchestrated through S403 and T433, and which differ from other mechanisms that regulate E2F1 turnover in undifferentiated cells. PMID: 27903963
- these results suggest that the E2F1/miR19a/PPARalpha feedback loop is critical for glioma progression PMID: 27835866
- This study suggests for the first time an involvement of E2F1 copy number variations in testicular germ cell tumor susceptibility and supports previous preliminary data on the importance of AKT/mTOR signaling pathway in this cancer. PMID: 28104681
- High E2F1 expression is associated with gastric cancer. PMID: 27036039
- Data suggest that the protein arginine methyltransferase 5 (PRMT5)-E2F1 transcription factor (E2F-1) pathway may act as a common target for exogenous lectins including Anguilla japonica lectin 1 (AJL1), and the cellular response to exogenous AJL1 may suggest a novel agent for cancer gene therapy. PMID: 26990556
- The low level E2F1 are sufficient to induce numerous cell cycle-promoting genes, intermediate levels induce growth arrest genes (i.e., p18, p19 and p27), whereas higher levels are necessary to induce key apoptotic E2F1 targets APAF1, PUMA, HRK and BIM. PMID: 28211871
- This review focuses on the relationship between E2F1, growth factors and cytokines. PMID: 26947516
- that E2F1 mRNA stability and E2F1 protein levels are reduced in cells lacking RALY expression PMID: 28972179
- our results indicate that E2F1 is an important downstream gene of ISX in hepatoma progression. PMID: 27175585
- found that human E2F1 competes with YAP for TEAD1 binding, affecting YAP activity, indicating that this mode of cross-regulation is conserved PMID: 29207260
- E2F1-mediated hPOMC transcription is a potential target for suppressing ACTH production in ectopic Cushing's syndrome. PMID: 27935805
- Results suggest that E7 recruited CUL2, driven by CUL2/E2F1/miR-424 regulatory loop, is overexpressed and accelerates HPV16-induced cervical carcinogenesis. PMID: 27153550
- Results demonstrated that E2F-1 mediated PEG10 overexpression promotes pancreatic cancer cell proliferation via accelerating cell cycle progression and increase migration and invasion through ERK/MMP7 pathway. PMID: 28193232
- We conclude that high expression of S18-2 and free E2F...1might be a good set of prognostic markers for endometrial cancer PMID: 26959119
- COMMD9 participates in TFDP1/E2F1 activation and plays a critical role in non-small cell lung cancer. PMID: 27871936
- Using iterative experimental and computational analyses, the authors show physical and functional interactions between NF-kappaB and the E2 Factor 1 (E2F-1) and E2 Factor 4 (E2F-4) cell cycle regulators. PMID: 27185527
- Heavy ion irradiation could induce p53(-/-) hepatoma cells to undergo apoptosis via E2F1/Bax/Casp3 signaling pathway. PMID: 28500630
- Propose that E2F1 interacts with BRCA1 indirect pathway to induce two different small molecule metabolic pathways or cell cycle regulation pathways in hepatocellular carcinoma. PMID: 28474358
- The pyruvate dehydrogenase kinases (PDKs) PDK1 and PDK3 are direct targets of KDM4A and E2F1 and modulate the switch between glycolytic metabolism and mitochondrial oxidation. PMID: 27626669
- Taken together, this study reveals evidence demonstrating a mechanism by which the LPR6/ GSK3beta/E2F1 axis-upregulated LSH promoted gliomas. PMID: 28042322
- High E2F1 expression is associated with melanoma. PMID: 28068326
- p63alpha protein up-regulates heat shock protein 70 expression via E2F1 transcription factor 1, promoting Wasf3/Wave3/MMP9 signaling and bladder cancer invasion PMID: 28794159
- E2F1 couples immune cell development to immune response.E2f1 role in the inflammation-associated cancers [review] PMID: 26881929
- These data suggest a model in which cells experiencing oncogene-induced replication stress through deregulation of E2F-dependent transcription. PMID: 27160911
- Describe a regulatory loop miR-218-CDK6/CyclinD1-E2F1 whose disruption may contribute to cell cycle progression in gastric cancer. PMID: 28634044
- Results demonstrated that somatic mutation within E2F1:MIR136-5p target site impairs miRNA-mediated regulation and leads to increased gene activity. PMID: 28704519
- Specific E2Fs also have prognostic value in breast cancer, independent of clinical parameters. We discuss here recent advances in understanding of the RB-E2F pathway in breast cancer. We also discuss the application of genome-wide genetic screening efforts to gain insight into synthetic lethal interactions of CDK4/6 inhibitors in breast cancer for the development of more effective combination therapies. PMID: 26923330
- Results provide evidence that E2F1rs3213180 polymorphism may influence susceptibility to HPV-associated oral squamous cell carcinoma. particularly oropharynx tumors. PMID: 27677255
顯示更多
收起更多
-
亞細胞定位:Nucleus.
-
蛋白家族:E2F/DP family
-
數據庫鏈接:
Most popular with customers
-
-
YWHAB Recombinant Monoclonal Antibody
Applications: ELISA, WB, IHC, IF, FC
Species Reactivity: Human, Mouse, Rat
-
Phospho-YAP1 (S127) Recombinant Monoclonal Antibody
Applications: ELISA, WB, IHC
Species Reactivity: Human
-
-
-
-
-















