DYNC1I1 Antibody
-
中文名稱:DYNC1I1兔多克隆抗體
-
貨號:CSB-PA007293ESR1HU
-
規格:¥440
-
圖片:
-
Western blot
All lanes: DYNC1I1 antibody at 2.52µg/ml
Lane 1: Mouse brain tissue
Lane 2: Mouse gonadal tissue
Lane 3: K562 whole cell lysate
Lane 4: HL60 whole cell lysate
Lane 5: Mouse lung tissue
Lane 6: Mouse skeletal muscle tissue
Lane 7: Mouse stomach tissue
Secondary
Goat polyclonal to rabbit IgG at 1/10000 dilution
Predicted band size: 73, 71, 69, 68 kDa
Observed band size: 73 kDa -
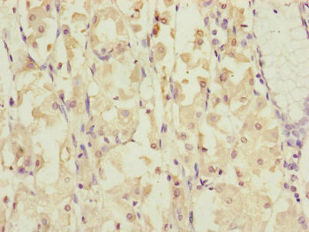
Immunohistochemistry of paraffin-embedded human colon cancer using CSB-PA007293ESR1HU at dilution of 1:100
-
Immunohistochemistry of paraffin-embedded human gastric cancer using CSB-PA007293ESR1HU at dilution of 1:100
-
-
其他:
產品詳情
-
產品名稱:Rabbit anti-Homo sapiens (Human) DYNC1I1 Polyclonal antibody
-
Uniprot No.:
-
基因名:DYNC1I1
-
別名:Cytoplasmic dynein 1 intermediate chain 1 antibody; Cytoplasmic dynein intermediate chain 1 antibody; cytosolic antibody; DC1I1_HUMAN antibody; DH IC 1 antibody; DH IC-1 antibody; DH IC1 antibody; DNCI1 antibody; DNCIC1 antibody; Dync1i1 antibody; Dynein cytoplasmic 1 intermediate chain 1 antibody; Dynein intermediate chain 1 antibody; Dynein intermediate chain 1; cytosolic antibody; Dynein; cytoplasmic; intermediate polypeptide 1 antibody
-
宿主:Rabbit
-
反應種屬:Human, Mouse
-
免疫原:Recombinant Human Cytoplasmic dynein 1 intermediate chain 1 protein (1-220AA)
-
免疫原種屬:Homo sapiens (Human)
-
標記方式:Non-conjugated
-
克隆類型:Polyclonal
-
抗體亞型:IgG
-
純化方式:Antigen Affinity Purified
-
濃度:It differs from different batches. Please contact us to confirm it.
-
保存緩沖液:PBS with 0.02% sodium azide, 50% glycerol, pH7.3.
-
產品提供形式:Liquid
-
應用范圍:ELISA, WB, IHC
-
推薦稀釋比:
Application Recommended Dilution WB 1:1000-1:5000 IHC 1:20-1:200 -
Protocols:
-
儲存條件:Upon receipt, store at -20°C or -80°C. Avoid repeated freeze.
-
貨期:Basically, we can dispatch the products out in 1-3 working days after receiving your orders. Delivery time maybe differs from different purchasing way or location, please kindly consult your local distributors for specific delivery time.
-
用途:For Research Use Only. Not for use in diagnostic or therapeutic procedures.
相關產品
靶點詳情
-
功能:Acts as one of several non-catalytic accessory components of the cytoplasmic dynein 1 complex that are thought to be involved in linking dynein to cargos and to adapter proteins that regulate dynein function. Cytoplasmic dynein 1 acts as a motor for the intracellular retrograde motility of vesicles and organelles along microtubules. The intermediate chains mediate the binding of dynein to dynactin via its 150 kDa component (p150-glued) DCTN1. May play a role in mediating the interaction of cytoplasmic dynein with membranous organelles and kinetochores.
-
基因功能參考文獻:
- SQSTM1 is required for proper dynein motility and trafficking along microtubules. PMID: 25015291
- Deletions of the exons with regulatory potential of DYNC1I1 are an example of the emerging role of exonic enhancer elements and their implications in congenital malformation syndromes PMID: 25231166
- NCAM and dynein have roles in tethering dynamic microtubules and maintaining synaptic density in cortical neurons PMID: 23960070
- Both P-TEFb recruitment to the HIV long terminal repeat and enhanced HIV processivity were blocked by ERK inhibitor, but not by AKT and PI3K inhibitors. PMID: 21763495
- the mRNA expression level of DYNC1I1 were significantly up-regulated in tumorous liver tissues compared with corresponding nontumorous counterparts. PMID: 21767414
- NDE1 and NDEL1 act upstream of LIS1 in dynein recruitment, and/or activation, on the membrane. PMID: 20048338
- identification of a novel 24-kDa protein that binds directly to dynein intermediate chain [PLAC-24] PMID: 12006665
顯示更多
收起更多
-
亞細胞定位:Cytoplasm. Chromosome, centromere, kinetochore. Cytoplasm, cytoskeleton, spindle pole.
-
蛋白家族:Dynein intermediate chain family
-
數據庫鏈接:
Most popular with customers
-
-
YWHAB Recombinant Monoclonal Antibody
Applications: ELISA, WB, IHC, IF, FC
Species Reactivity: Human, Mouse, Rat
-
Phospho-YAP1 (S127) Recombinant Monoclonal Antibody
Applications: ELISA, WB, IHC
Species Reactivity: Human
-
-
-
-
-















