DUSP9 Antibody
-
中文名稱:DUSP9兔多克隆抗體
-
貨號:CSB-PA859528LA01HU
-
規格:¥440
-
圖片:
-
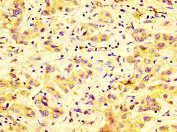
IHC image of CSB-PA859528LA01HU diluted at 1:600 and staining in paraffin-embedded human liver cancer performed on a Leica BondTM system. After dewaxing and hydration, antigen retrieval was mediated by high pressure in a citrate buffer (pH 6.0). Section was blocked with 10% normal goat serum 30min at RT. Then primary antibody (1% BSA) was incubated at 4°C overnight. The primary is detected by a biotinylated secondary antibody and visualized using an HRP conjugated SP system.
-
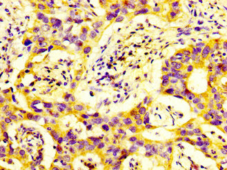
IHC image of CSB-PA859528LA01HU diluted at 1:600 and staining in paraffin-embedded human bladder cancer performed on a Leica BondTM system. After dewaxing and hydration, antigen retrieval was mediated by high pressure in a citrate buffer (pH 6.0). Section was blocked with 10% normal goat serum 30min at RT. Then primary antibody (1% BSA) was incubated at 4°C overnight. The primary is detected by a biotinylated secondary antibody and visualized using an HRP conjugated SP system.
-
Immunofluorescence staining of HepG2 cells with CSB-PA859528LA01HU at 1:200, counter-stained with DAPI. The cells were fixed in 4% formaldehyde, permeabilized using 0.2% Triton X-100 and blocked in 10% normal Goat Serum. The cells were then incubated with the antibody overnight at 4°C. The secondary antibody was Alexa Fluor 488-congugated AffiniPure Goat Anti-Rabbit IgG(H+L).
-
-
其他:
產品詳情
-
產品名稱:Rabbit anti-Homo sapiens (Human) DUSP9 Polyclonal antibody
-
Uniprot No.:
-
基因名:
-
別名:Dual specificity phosphatase 9 antibody; Dual specificity protein phosphatase 9 antibody; DUS9_HUMAN antibody; DUSP9 antibody; MAP kinase phosphatase 4 antibody; Mitogen activated protein kinase phosphatase 4 antibody; Mitogen-activated protein kinase phosphatase 4 antibody; MKP 4 antibody; MKP-4 antibody; MKP4 antibody; serine/threonine specific protein phosphatase antibody
-
宿主:Rabbit
-
反應種屬:Human
-
免疫原:Recombinant Human Dual specificity protein phosphatase 9 protein (142-263AA)
-
免疫原種屬:Homo sapiens (Human)
-
標記方式:Non-conjugated
本頁面中的產品,DUSP9 Antibody (CSB-PA859528LA01HU),的標記方式是Non-conjugated。對于DUSP9 Antibody,我們還提供其他標記。見下表:
-
克隆類型:Polyclonal
-
抗體亞型:IgG
-
純化方式:>95%, Protein G purified
-
濃度:It differs from different batches. Please contact us to confirm it.
-
保存緩沖液:Preservative: 0.03% Proclin 300
Constituents: 50% Glycerol, 0.01M PBS, pH 7.4 -
產品提供形式:Liquid
-
應用范圍:ELISA, IHC, IF
-
推薦稀釋比:
Application Recommended Dilution IHC 1:500-1:1000 IF 1:200-1:500 -
Protocols:
-
儲存條件:Upon receipt, store at -20°C or -80°C. Avoid repeated freeze.
-
貨期:Basically, we can dispatch the products out in 1-3 working days after receiving your orders. Delivery time maybe differs from different purchasing way or location, please kindly consult your local distributors for specific delivery time.
-
用途:For Research Use Only. Not for use in diagnostic or therapeutic procedures.
相關產品
靶點詳情
-
功能:Inactivates MAP kinases. Has a specificity for the ERK family.
-
基因功能參考文獻:
- The results of this study, combined with previous studies, suggested that therapeutic intervention to increase the expression or activity of DUSP9 may enable the activation of anti-proliferation signals in malignant cells. PMID: 25998184
- A possible use for DUSP9 as CIMP marker. PMID: 24838152
- DUSP9 protein levels were markedly suppressed in severe pre-eclampsia, but not in severe IUGR. This suppression might be attributable to the prolonged hypoxic conditions found in pre-eclampsia. PMID: 23276385
- The DUSP9 locus is a common susceptibility locus for type 2 diabetes across different ethnicities, and 6 loci identified in South Asian genome-wide association studies also have significant effect on susceptibility to Japanese type 2 diabetes. PMID: 23029454
- decreased expression of DUSP-9 is associated with poor prognosis in ccRCC. PMID: 21943117
- 2.7 A resolution crystal structure of the catalytic domain of MKP-4 (MKP-4C) is presented PMID: 21206059
- microtubule disruption by MKP4 provides a novel mechanism for tumor suppression by a cytosolic MKP PMID: 18006813
顯示更多
收起更多
-
亞細胞定位:Cytoplasm.
-
蛋白家族:Protein-tyrosine phosphatase family, Non-receptor class dual specificity subfamily
-
數據庫鏈接:
Most popular with customers
-
-
YWHAB Recombinant Monoclonal Antibody
Applications: ELISA, WB, IHC, IF, FC
Species Reactivity: Human, Mouse, Rat
-
Phospho-YAP1 (S127) Recombinant Monoclonal Antibody
Applications: ELISA, WB, IHC
Species Reactivity: Human
-
-
-
-
-















