DUSP4 Antibody
-
中文名稱:DUSP4兔多克隆抗體
-
貨號:CSB-PA921264
-
規格:¥1100
-
圖片:
-
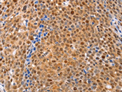
The image on the left is immunohistochemistry of paraffin-embedded Human ovarian cancer tissue using CSB-PA921264(DUSP4 Antibody) at dilution 1/30, on the right is treated with fusion protein. (Original magnification: ×200)
-
Gel: 10%SDS-PAGE, Lysate: 30 μg, Lane: RAW264.7 cells, Primary antibody: CSB-PA921264(DUSP4 Antibody) at dilution 1/600, Secondary antibody: Goat anti rabbit IgG at 1/8000 dilution, Exposure time: 1 minute
-
-
其他:
產品詳情
-
Uniprot No.:
-
基因名:
-
別名:Dual specificity phosphatase 4 antibody; Dual specificity protein phosphatase 4 antibody; Dual specificity protein phosphatase hVH2 antibody; DUS4_HUMAN antibody; DUSP 4 antibody; Dusp4 antibody; HVH 2 antibody; HVH2 antibody; MAP kinase phosphatase 2 antibody; Mitogen activated protein kinase phosphatase 2 antibody; Mitogen-activated protein kinase phosphatase 2 antibody; MKP 2 antibody; MKP-2 antibody; MKP2 antibody; Serine/threonine specific protein phosphatase antibody; TYP antibody; Typ1 antibody; VH 2 antibody; VH1 homologous phosphatase 2 antibody; VH2 antibody
-
宿主:Rabbit
-
反應種屬:Human,Mouse,Rat
-
免疫原:Fusion protein of Human DUSP4
-
免疫原種屬:Homo sapiens (Human)
-
標記方式:Non-conjugated
-
抗體亞型:IgG
-
純化方式:Antigen affinity purification
-
濃度:It differs from different batches. Please contact us to confirm it.
-
保存緩沖液:-20°C, pH7.4 PBS, 0.05% NaN3, 40% Glycerol
-
產品提供形式:Liquid
-
應用范圍:ELISA,WB,IHC
-
推薦稀釋比:
Application Recommended Dilution ELISA 1:1000-1:5000 WB 1:500-1:2000 IHC 1:50-1:150 -
Protocols:
-
儲存條件:Upon receipt, store at -20°C or -80°C. Avoid repeated freeze.
-
貨期:Basically, we can dispatch the products out in 1-3 working days after receiving your orders. Delivery time maybe differs from different purchasing way or location, please kindly consult your local distributors for specific delivery time.
-
用途:For Research Use Only. Not for use in diagnostic or therapeutic procedures.
相關產品
靶點詳情
-
功能:Regulates mitogenic signal transduction by dephosphorylating both Thr and Tyr residues on MAP kinases ERK1 and ERK2.
-
基因功能參考文獻:
- This study was aimed to investigate the correlation of dual-specificity phosphatase 4 (DUSP4) expression with clinicopathologic features and overall survival in patients with GC and explore the effects of sanguinarine on tumour growth and invasion in GC cells (SGC-7901 and HGC-27) and underlying molecular mechanisms PMID: 27957827
- Study revealed that DUSP4 expression was apparently downregulated in the deep region of colorectal cancer (CRC) tissues compared with the superficial region, and that ERK phosphorylation was conversely increased in the deep region relative to the superficial region. Also, downregulation of DUSP4 in CRC might promote cell proliferation and invasiveness through activation of ERK. PMID: 29150975
- Results show that DUSP4 gene is under-expressed in ER-negative breast cancer and is deleted in approximately 50 % of breast cancers. Induced DUSP4 expression suppresses both in vitro and in vivo growths of breast cancer cells suggesting that DUSP4 is a critical regulator of the growth and invasion of triple-negative breast cancer cells. PMID: 27393618
- Our findings demonstrate a genetic mechanism by which pancreatic precursor lesions progress to invasive carcinomas and highlight DUSP4 as a novel invasion suppressor PMID: 26941286
- DUSP4 is crucial in regulating corticosteroid sensitivity. PMID: 28283554
- Data indicate that normalization of dual-specific phosphatase 4 (DUSP4) expression using a specific siRNA improved CD4(+) T-cell activity in idiopathic CD4 lymphopenia (ICL). PMID: 25733583
- Ectopic expression of wild-type DUSP4, but not of a phosphatase-deficient mutant, dephosphorylates c-JUN N-terminal kinase (JNK) and induces apoptosis in DLBCL cells. PMID: 25847947
- Low DUSP4 expression levels predict recurrence and mortality in triple-negative breast cancer patients PMID: 25281216
- Instead, autophagic cell death was the major consequence, and our investigation of mechanisms suggested it is mediated via the dual specificity phosphatase-4 (DUSP4) dependent ERK inactivation pathway PMID: 25027955
- DUSP4 attenuates ERK signaling and reduces cell viability, suggesting that the novel crosstalk between NFkappaB and mitogen activated protein kinase pathways contributes to cell survival. PMID: 23812841
- Enforced expression of DUSP4 reduced the CD44(+)/CD24(-) population in multiple BLBC cell lines in a MEK-dependent manner, limiting tumor formation of claudin-low SUM159PT cells in mice. PMID: 23966295
- high DUSP4 expression was associated with a worse overall survival and with clinical characteristics typical for BRAF mutant patients PMID: 23875912
- There was no significant correlation between DUSP4 expression and KRAS mutation. PMID: 23749251
- Increased DUSP4 expression is associated with papillary thyroid carcinoma. PMID: 24222120
- MKP2 is a negative regulator of VRK1-mediated histone H3 phosphorylation. PMID: 23223570
- DUSP4 functions as part of a negative feedback mechanism in the control of the duration and magnitude of nuclear ERK activation during intestinal tumorigenesis. PMID: 22430215
- High DUSP4 is associated with microsatellite instability in colorectal cancer and causes increased cell proliferation. PMID: 22965873
- Dusp4 mediates cardiomyopathy caused by LMNA gene mutation. PMID: 23048029
- Increased DUSP4 expression in activated T cells in the elderly in part accounts for defective adaptive immune responses. PMID: 22434910
- MKP-2 is phosphorylated by ERK and that such phosphorylation leads to stabilization of MKP-2 protein. PMID: 21084841
- presence of activating KRAS mutations is significantly correlated to an upregulation of 13 genes (adjusted P-value <0.05), among them DUSP4, a MAP-kinase phosphatase, and SMYD3, a histone methyltransferase PMID: 20725992
- Over-expression of MKP-2 had different effects upon the expression of inflammatory proteins due to a reciprocal effect upon JNK and NFkappaB signalling, and also prevented TNF-alpha-mediated endothelial cell death PMID: 20860659
- MKP-2 as a common epigenetically silenced gene in glioma, the inactivation of which may play a significant role in glioma development. PMID: 20124482
- The occurrence of a novel splice variant of MKP-2 which is unable to bind ERK and may be significant in the dysregulation of MAP kinase activity in certain disease states. PMID: 19843478
- Results demonstrate the in vivo specificity of MKP-2 for JNK and not ERK and show that nuclear-targeted JNK is involved in genotoxic stress-induced apoptosis. PMID: 16038800
- MKP2-mediated inactivation of nuclear extracellular signal-regulated protein kinase ERK2 represents a key event in the establishment of replicative cell senescence. PMID: 17145763
- E2F-1 is a transcriptional activator of MKP-2 and MKP-2 is an essential cell death mediator in the E2F-1 pathway PMID: 17452331
- Crystal structure of the catalytic domain of human MKP-2 reveals a 24-mer assembly. PMID: 19415758
- Results show that DUSP4 is involved in negative feedback control of EGFR signaling, and provide functional validation for its role as a growth suppressor in EGFR-mutant lung adenocarcinoma. PMID: 19525976
顯示更多
收起更多
-
亞細胞定位:Nucleus.
-
蛋白家族:Protein-tyrosine phosphatase family, Non-receptor class dual specificity subfamily
-
數據庫鏈接:
Most popular with customers
-
-
YWHAB Recombinant Monoclonal Antibody
Applications: ELISA, WB, IHC, IF, FC
Species Reactivity: Human, Mouse, Rat
-
Phospho-YAP1 (S127) Recombinant Monoclonal Antibody
Applications: ELISA, WB, IHC
Species Reactivity: Human
-
-
-
-
-















