DUSP23 Antibody
-
中文名稱:DUSP23兔多克隆抗體
-
貨號:CSB-PA571416
-
規格:¥1100
-
圖片:
-
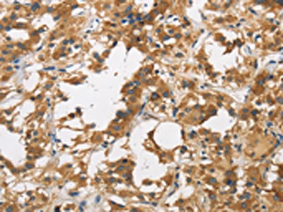
The image on the left is immunohistochemistry of paraffin-embedded Human liver cancer tissue using CSB-PA571416(DUSP23 Antibody) at dilution 1/30, on the right is treated with fusion protein. (Original magnification: ×200)
-
The image on the left is immunohistochemistry of paraffin-embedded Human thyroid cancer tissue using CSB-PA571416(DUSP23 Antibody) at dilution 1/30, on the right is treated with fusion protein. (Original magnification: ×200)
-
-
其他:
產品詳情
-
Uniprot No.:
-
基因名:DUSP23
-
別名:Dual specificity phosphatase 23 antibody; Dual specificity protein phosphatase 23 antibody; DUS23_HUMAN antibody; Dusp23 antibody; DUSP25 antibody; EC 3.1.3.16 antibody; EC 3.1.3.48 antibody; FLJ20442 antibody; LDP 3 antibody; LDP-3 antibody; LDP3 antibody; Low molecular mass dual specificity phosphatase 3 antibody; MOSP antibody; RP11-190A12.1 antibody; VH1 like member Z antibody; VH1 like phosphatase Z antibody; VH1-like phosphatase Z antibody; VHZ antibody
-
宿主:Rabbit
-
反應種屬:Human,Mouse
-
免疫原:Fusion protein of Human DUSP23
-
免疫原種屬:Homo sapiens (Human)
-
標記方式:Non-conjugated
-
抗體亞型:IgG
-
純化方式:Antigen affinity purification
-
濃度:It differs from different batches. Please contact us to confirm it.
-
保存緩沖液:-20°C, pH7.4 PBS, 0.05% NaN3, 40% Glycerol
-
產品提供形式:Liquid
-
應用范圍:ELISA,IHC
-
推薦稀釋比:
Application Recommended Dilution ELISA 1:2000-1:5000 IHC 1:50-1:200 -
Protocols:
-
儲存條件:Upon receipt, store at -20°C or -80°C. Avoid repeated freeze.
-
貨期:Basically, we can dispatch the products out in 1-3 working days after receiving your orders. Delivery time maybe differs from different purchasing way or location, please kindly consult your local distributors for specific delivery time.
-
用途:For Research Use Only. Not for use in diagnostic or therapeutic procedures.
相關產品
靶點詳情
-
功能:Protein phosphatase that mediates dephosphorylation of proteins phosphorylated on Tyr and Ser/Thr residues. In vitro, it can dephosphorylate p44-ERK1 (MAPK3) but not p54 SAPK-beta (MAPK10) in vitro. Able to enhance activation of JNK and p38 (MAPK14).
-
基因功能參考文獻:
- this study shows that DUSP23 mRNA levels in CD4+ T cells are higher in the systemic lupus erythematosus patients PMID: 27737517
- The upregulation of VHZ levels in primary human cancers supports the clinical relevance of this protein in cancers PMID: 20509867
- DUSP23 showed distinctive phosphatase activity toward p-nitrophenyl phosphate, as well as oligopeptides containing phospho-tyrosine and phospho-threonine residues. Furthermore, DUSP23 could dephosphorylate p44ERK1 but not p38 and p54SAPKbeta in vitro PMID: 15147733
- the smallest active protein-tyrosine phosphatase yet (only 16 kDa) belongs to the group of small Vaccinia virus VH1-related dual specific phosphatases; gene is located on human chromosome 1q23.1 and consists of only two coding exons PMID: 15201283
-
亞細胞定位:Cytoplasm, cytosol. Nucleus. Note=Mainly cytosolic. Also nuclear.
-
蛋白家族:Protein-tyrosine phosphatase family, Non-receptor class dual specificity subfamily
-
組織特異性:Widely expressed. Highly expressed in spleen, prostate, colon, adrenal gland, mammary gland, thyroid and trachea. Expressed at lower level in uterus, small intestine, bladder, bone marrow, brain, spinal cord and stomach.
-
數據庫鏈接:
Most popular with customers
-
-
YWHAB Recombinant Monoclonal Antibody
Applications: ELISA, WB, IHC, IF, FC
Species Reactivity: Human, Mouse, Rat
-
Phospho-YAP1 (S127) Recombinant Monoclonal Antibody
Applications: ELISA, WB, IHC
Species Reactivity: Human
-
-
-
-
-















