DUSP11 Antibody
-
中文名稱:DUSP11兔多克隆抗體
-
貨號:CSB-PA032749
-
規格:¥1100
-
圖片:
-
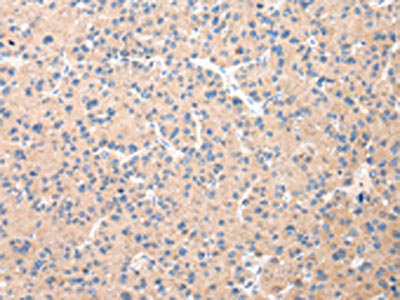
The image on the left is immunohistochemistry of paraffin-embedded Human liver cancer tissue using CSB-PA032749(DUSP11 Antibody) at dilution 1/25, on the right is treated with fusion protein. (Original magnification: ×200)
-
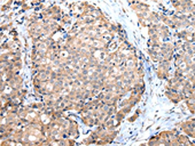
The image on the left is immunohistochemistry of paraffin-embedded Human breast cancer tissue using CSB-PA032749(DUSP11 Antibody) at dilution 1/25, on the right is treated with fusion protein. (Original magnification: ×200)
-
-
其他:
產品詳情
-
Uniprot No.:
-
基因名:DUSP11
-
別名:DUSP11 antibody; PIR1RNA/RNP complex-1-interacting phosphatase antibody; EC 3.1.3.- antibody; Dual specificity protein phosphatase 11 antibody; Phosphatase that interacts with RNA/RNP complex 1 antibody
-
宿主:Rabbit
-
反應種屬:Human
-
免疫原:Full length fusion protein
-
免疫原種屬:Homo sapiens (Human)
-
標記方式:Non-conjugated
-
抗體亞型:IgG
-
純化方式:Antigen affinity purification
-
濃度:It differs from different batches. Please contact us to confirm it.
-
保存緩沖液:-20°C, pH7.4 PBS, 0.05% NaN3, 40% Glycerol
-
產品提供形式:Liquid
-
應用范圍:ELISA,IHC
-
推薦稀釋比:
Application Recommended Dilution ELISA 1:2000-1:5000 IHC 1:25-1:100 -
Protocols:
-
儲存條件:Upon receipt, store at -20°C or -80°C. Avoid repeated freeze.
-
貨期:Basically, we can dispatch the products out in 1-3 working days after receiving your orders. Delivery time maybe differs from different purchasing way or location, please kindly consult your local distributors for specific delivery time.
-
用途:For Research Use Only. Not for use in diagnostic or therapeutic procedures.
相關產品
靶點詳情
-
功能:Possesses RNA 5'-triphosphatase and diphosphatase activities, but displays a poor protein-tyrosine phosphatase activity. In addition, has phosphatase activity with ATP, ADP and O-methylfluorescein phosphate (in vitro). Binds to RNA. May participate in nuclear mRNA metabolism.
-
基因功能參考文獻:
- Results implicate DUSP11 as an important component of XRN-mediated restriction of hepatitis C virus replication. PMID: 30038017
- DUSP11 regulates host and viral non-coding RNAs in mammalian cells. PMID: 28296624
- PIR gene expression is highly dependent on the expression of HR-HPV E6 and E7 oncoproteins HPV-positive cell lines. PMID: 29118270
- DUSP11 converts the 5' triphosphate of miRNA precursors to a 5' monophosphate, promoting loading of derivative 5p miRNAs into Argonaute proteins via a Dicer-coupled 5' monophosphate-dependent strand selection mechanism. PMID: 27798849
- the atomic structure of a catalytically inactive mutant (C152S) of the human PIR1 phosphatase core (PIR1-core, residues 29-205), refined at 1.20 A resolution. PMID: 24447265
- results suggest that DUSP11 contributes to p53-dependent inhibition of cell proliferation and that it might be involved in regulating RNA splicing through SAM68 PMID: 19120688
顯示更多
收起更多
-
亞細胞定位:Nucleus. Nucleus speckle.
-
蛋白家族:Protein-tyrosine phosphatase family, Non-receptor class dual specificity subfamily
-
數據庫鏈接:
Most popular with customers
-
YWHAB Recombinant Monoclonal Antibody
Applications: ELISA, WB, IHC, IF, FC
Species Reactivity: Human, Mouse, Rat
-
Phospho-YAP1 (S127) Recombinant Monoclonal Antibody
Applications: ELISA, WB, IHC
Species Reactivity: Human
-
-
-
-
-
-
VDAC1 Recombinant Monoclonal Antibody
Applications: ELISA, WB, IHC
Species Reactivity: Human, Mouse, Rat















