DUSP10 Antibody
-
中文名稱:DUSP10兔多克隆抗體
-
貨號:CSB-PA929814
-
規格:¥1100
-
圖片:
-
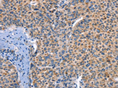
The image on the left is immunohistochemistry of paraffin-embedded Human liver cancer tissue using CSB-PA929814(DUSP10 Antibody) at dilution 1/25, on the right is treated with fusion protein. (Original magnification: ×200)
-
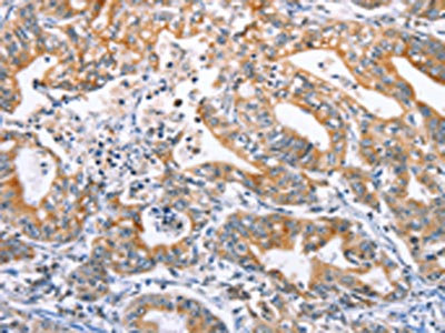
The image on the left is immunohistochemistry of paraffin-embedded Human thyroid cancer tissue using CSB-PA929814(DUSP10 Antibody) at dilution 1/25, on the right is treated with fusion protein. (Original magnification: ×200)
-
-
其他:
產品詳情
-
Uniprot No.:
-
基因名:
-
別名:Dual specificity phosphatase 10 antibody; Dual specificity phosphatase MKP 5 antibody; Dual specificity phosphatase MKP5 antibody; Dual specificity protein phosphatase 10 antibody; DUS10_HUMAN antibody; DUSP 10 antibody; DUSP10 antibody; DUSP10 protein antibody; MAP kinase phosphatase 5 antibody; Mitogen activated protein kinase phosphatase 5 antibody; Mitogen-activated protein kinase phosphatase 5 antibody; MKP 5 antibody; MKP-5 antibody; MKP5 antibody; Serine/threonine specific protein phosphatase antibody
-
宿主:Rabbit
-
反應種屬:Human,Mouse
-
免疫原:Fusion protein of Human DUSP10
-
免疫原種屬:Homo sapiens (Human)
-
標記方式:Non-conjugated
-
抗體亞型:IgG
-
純化方式:Antigen affinity purification
-
濃度:It differs from different batches. Please contact us to confirm it.
-
保存緩沖液:-20°C, pH7.4 PBS, 0.05% NaN3, 40% Glycerol
-
產品提供形式:Liquid
-
應用范圍:ELISA,IHC
-
推薦稀釋比:
Application Recommended Dilution ELISA 1:2000-1:5000 IHC 1:25-1:100 -
Protocols:
-
儲存條件:Upon receipt, store at -20°C or -80°C. Avoid repeated freeze.
-
貨期:Basically, we can dispatch the products out in 1-3 working days after receiving your orders. Delivery time maybe differs from different purchasing way or location, please kindly consult your local distributors for specific delivery time.
-
用途:For Research Use Only. Not for use in diagnostic or therapeutic procedures.
相關產品
靶點詳情
-
功能:Protein phosphatase involved in the inactivation of MAP kinases. Has a specificity for the MAPK11/MAPK12/MAPK13/MAPK14 subfamily. It preferably dephosphorylates p38.
-
基因功能參考文獻:
- Our findings uncover novel associations of progressive supranuclear palsy with SLCO1A2 (rs11568563) and DUSP10 (rs6687758) variants PMID: 29986742
- High DUSP10 expression is associated with Metastasis of Hepatocellular Carcinoma. PMID: 28674078
- Increased Dusp10 expression is associated with better survival rate in colorectal cancer patients. PMID: 25772234
- In females, three SNPs were associated with decreased colorectal cancer risk: rs11118838, rs12724393, and rs908858. However, in males, only one SNP, rs908858, was associated with decreased colorectal cancer risk. PMID: 25973098
- Data suggest that vitamin D receptor target genes (DUSP10; THBD, thrombomodulin; NRIP1, nuclear receptor interacting protein 1; TRAK1, trafficking protein kinesin binding 1) can be used as markers for individual's response to vitamin D3 supplements. PMID: 24975273
- Certain mutations in DUSP10 correlate with the incidence of colorectal cancer(CRC). Thus, the function of the DUSP10 gene product may contribute toward CRC in the Han Chinese population. PMID: 23872954
- Single nucleotide polymorphism in DUSP10 gene is associated with celiac disease. PMID: 23936387
- Depletion of miR-181 family members by miRNA inhibitors enhanced the expression of MKP-5 and suppressed the phosphorylation of p38 MAPK after exposure to PAHs, which promotes cancer cell migration. PMID: 23993976
- Data indicate that the activities of phosphoprotein phosphatases MKP5 and MKP7 were determined in the system. PMID: 23233447
- MKP-5 interacts with ERK, retains it in the cytoplasm, suppresses its activation and downregulates ERK-dependent transcription. PMID: 22711061
- A distinct interaction mode revealed by the crystal structure of the kinase p38alpha with the MAPK binding domain of the phosphatase MKP5. PMID: 22375048
- DUSPs 10 and 16 are positive regulators of activation, apparently acting by modulating cross-talk between the p38 and ERK pathways. PMID: 22245064
- a function for ASC that is distinct from the inflammasome in modulating MAPK activity and chemokine expression and further identify DUSP10 as a novel ASC target. PMID: 21487011
- Structural information provides an explanation of constitutive activity of MKP5 as well as the structural insight into substrate-induced activation occurred in other MKPs. PMID: 16806267
- Mitogen-activated protein kinase phosphatase-5 (MKP5) mediates anti-inflammatory activities of phytochemicals curcumin, resveratrol and [6]-gingerol. PMID: 17151092
- Catalytic domain of MKP5 is in an active conformation, and two loops in the active site have backbone shifts of up to 5 A. PMID: 17400920
- The transcription factor ATF2, which is phosphorylated and activated by JNK, is a critical mediator for inducible expression of DUSP1 and DUSP10 in this signaling pathway. PMID: 17681939
- p38 MAP kinase down-regulates extracellular signal-regulated kinase via activation of MKP-3 in human monocytes exposed to asbestos to enhance TNF-alpha gene expression. PMID: 18314537
顯示更多
收起更多
-
亞細胞定位:Cytoplasm. Nucleus.
-
蛋白家族:Protein-tyrosine phosphatase family, Non-receptor class dual specificity subfamily
-
組織特異性:Expressed in keratinocytes (at protein level). Detected in brain.
-
數據庫鏈接:
Most popular with customers
-
-
Phospho-YAP1 (S127) Recombinant Monoclonal Antibody
Applications: ELISA, WB, IHC
Species Reactivity: Human
-
-
-
-
-
-















