DUS4L Antibody
-
中文名稱:DUS4L兔多克隆抗體
-
貨號:CSB-PA007237LA01HU
-
規格:¥440
-
圖片:
-
其他:
產品詳情
-
產品名稱:Rabbit anti-Homo sapiens (Human) DUS4L Polyclonal antibody
-
Uniprot No.:
-
基因名:DUS4L
-
別名:DUS4LtRNA-dihydrouridine(20a/20b) synthase [NAD(P)+]-like antibody; EC 1.3.1.- antibody; pp35 antibody; tRNA-dihydrouridine synthase 4-like antibody
-
宿主:Rabbit
-
反應種屬:Human
-
免疫原:Recombinant Human tRNA-dihydrouridine(20a/20b) synthase [NAD(P)+]-like protein (1-196AA)
-
免疫原種屬:Homo sapiens (Human)
-
標記方式:Non-conjugated
本頁面中的產品,DUS4L Antibody (CSB-PA007237LA01HU),的標記方式是Non-conjugated。對于DUS4L Antibody,我們還提供其他標記。見下表:
-
克隆類型:Polyclonal
-
抗體亞型:IgG
-
純化方式:>95%, Protein G purified
-
濃度:It differs from different batches. Please contact us to confirm it.
-
保存緩沖液:Preservative: 0.03% Proclin 300
Constituents: 50% Glycerol, 0.01M PBS, PH 7.4 -
產品提供形式:Liquid
-
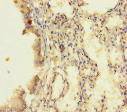
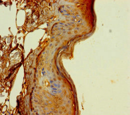
應用范圍:ELISA, IHC
-
推薦稀釋比:
Application Recommended Dilution IHC 1:20-1:200 -
Protocols:
-
儲存條件:Upon receipt, store at -20°C or -80°C. Avoid repeated freeze.
-
貨期:Basically, we can dispatch the products out in 1-3 working days after receiving your orders. Delivery time maybe differs from different purchasing way or location, please kindly consult your local distributors for specific delivery time.
-
用途:For Research Use Only. Not for use in diagnostic or therapeutic procedures.
相關產品
靶點詳情
-
功能:Catalyzes the synthesis of dihydrouridine, a modified base found in the D-loop of most tRNAs.
-
基因功能參考文獻:
- we believe that in contrast to traditional gene fusions, DUS4L-BCAP29 cannot be used as a cancer biomarker. Instead, it is a fusion transcript that exists in normal physiology and that its pro-growth effect is not unique to cancer cells. PMID: 28415823
-
蛋白家族:Dus family, Dus4 subfamily
-
數據庫鏈接:
Most popular with customers
-
-
YWHAB Recombinant Monoclonal Antibody
Applications: ELISA, WB, IHC, IF, FC
Species Reactivity: Human, Mouse, Rat
-
Phospho-YAP1 (S127) Recombinant Monoclonal Antibody
Applications: ELISA, WB, IHC
Species Reactivity: Human
-
-
-
-
-















