DUOX1 Antibody
-
中文名稱:DUOX1兔多克隆抗體
-
貨號:CSB-PA007228ESR2HU
-
規格:¥440
-
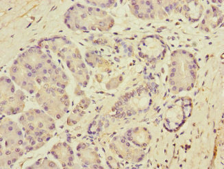
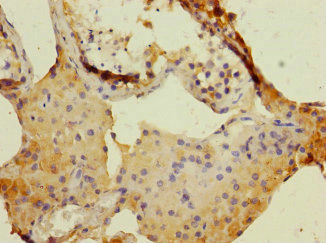
圖片:
-
其他:
產品詳情
-
產品名稱:Rabbit anti-Homo sapiens (Human) DUOX1 Polyclonal antibody
-
Uniprot No.:
-
基因名:DUOX1
-
別名:DUOX1 antibody; DUOX antibody; LNOX1 antibody; THOX1Dual oxidase 1 antibody; EC 1.11.1.- antibody; EC 1.6.3.1 antibody; Large NOX 1 antibody; Long NOX 1 antibody; NADPH thyroid oxidase 1 antibody; Thyroid oxidase 1 antibody
-
宿主:Rabbit
-
反應種屬:Human
-
免疫原:Recombinant Human Dual oxidase 1 protein (1312-1551AA)
-
免疫原種屬:Homo sapiens (Human)
-
標記方式:Non-conjugated
-
克隆類型:Polyclonal
-
抗體亞型:IgG
-
純化方式:Antigen Affinity Purified
-
濃度:It differs from different batches. Please contact us to confirm it.
-
保存緩沖液:PBS with 0.02% sodium azide, 50% glycerol, pH7.3.
-
產品提供形式:Liquid
-
應用范圍:ELISA, IHC
-
推薦稀釋比:
Application Recommended Dilution IHC 1:20-1:200 -
Protocols:
-
儲存條件:Upon receipt, store at -20°C or -80°C. Avoid repeated freeze.
-
貨期:Basically, we can dispatch the products out in 1-3 working days after receiving your orders. Delivery time maybe differs from different purchasing way or location, please kindly consult your local distributors for specific delivery time.
-
用途:For Research Use Only. Not for use in diagnostic or therapeutic procedures.
相關產品
靶點詳情
-
功能:Generates hydrogen peroxide which is required for the activity of thyroid peroxidase/TPO and lactoperoxidase/LPO. Plays a role in thyroid hormones synthesis and lactoperoxidase-mediated antimicrobial defense at the surface of mucosa. May have its own peroxidase activity through its N-terminal peroxidase-like domain.
-
基因功能參考文獻:
- Authors demonstrate here that DUOX1 is silenced in breast cancer, which seems to be involved in breast carcinogenesis. PMID: 29849884
- Silencing DUOX1 by siRNA attenuated IL-13-mediated increases in superoxide, but did not reduce autophagy activities. PMID: 28982074
- We analyzed the expression of NADPH oxidase isoforms and found both A431 and HaCaT cells to express the calcium-sensitive NADPH oxidase, Dual oxidase 1 (Duox1) and its protein partner Duox activator 1 (DuoxA1).Our observations provide evidence for a new signaling paradigm in which changes of intracellular calcium concentration are transformed into redox signals through the calcium-dependent activation of Duox1. PMID: 27262981
- DUOX1 missense mutation plays a role in congenital hypothyroidism. PMID: 28633507
- Our findings implicate epithelial DUOX1 as a pivotal mediator of IL-33-dependent activation of innate airway type 2 immune responses to common airborne allergens and indicate that enhanced DUOX1 expression and IL-33 secretion might present important contributing features of allergic asthma. PMID: 26597162
- Cox multivariate regression analysis demonstrated that DUOX1, GLS2, FBP1 and age were independent risk factors for the prognosis of HCC patients after surgery PMID: 27079415
- DUOX1 expression in liver tumors is a potential prognostic tool for patients. PMID: 27108801
- Nox4 and Duox1/Duox2 mediate redox activation of mesenchymal cell migration by PDGF. PMID: 27110716
- These data reveal a key role of DUOX1-dependent hydrogen peroxide production in long-term persistent radio-induced DNA damage. PMID: 25848056
- Studies demonstrate the importance of DUOX1 in epithelial redox signaling through reversible S-glutathionylation of a range of proteins, including proteins involved in cytoskeletal regulation and MAPK signaling pathways involved in cell migration. PMID: 24624333
- Duox2 proteins possessing the A-loops of Nox1 or Nox5 co-expressed with DuoxA2 showed enhanced O2 () release, and Duox1 proteins possessing the A-loops of Nox1 or Nox5 co-expressed with DuoxA1 acquired O2 () leakage PMID: 25586178
- DUOX1 is the major H2O2-producing source in NHKs stimulated with Ca(2+), and plays a significant role in regulating the expression of specific markers necessary for the normal differentiation of keratinocytes PMID: 24332816
- Further, ROS generated by Duox enzymes localized adjacent to nuclear speckles altered the splicing of viral genes PMID: 24128054
- Despite the high sequence similarity shared between DUOX1 and DUOX2, the two isoforms present distinct regulations, tissue expression and catalytic functions PMID: 24161126
- Duox1 activity is stimulated by testosterone through GPRC6A in skin keratinocytes PMID: 25164816
- Underscore the importance of DUOX1 and DUOX2 in vesicant-induced IL-6 secretion in human airway epithelial cells. PMID: 24164541
- upregulated in chronic rhinosinusitis as a part of inflammatory response PMID: 23281318
- PA-LPS-induced MUC5AC and Clca3 expression is partly through Duox1 PMID: 23691121
- DUOX1 plays a central role in epithelial defense responses to infection or injury, by mediating oxidative activation of Src and ADAM17 in response to ATP-dependent P2Y(2)R activation as a proximal step in EGFR transactivation and downstream signaling. PMID: 23349873
- Report shows that ROS levels in PC3 cells are constitutively maintained by DUOX 1 and 2 enzymes, and these ROS positively regulate AKT signalling through inactivating phosphatases, leading to increased resistance to apoptosis. PMID: 23225414
- Study indicates a complex profile of protein interactions required for activity and localization of the DUOX1 and DOOX2 enzymes. PMID: 23362256
- study reports DUOX 1 and 2 are expressed in neuroblastoma SK-N-BE cells as well as in an oligodendrocyte cell line (MO3-13); data unravel a novel mechanism of regulation of DUOX enzymes by reactive oxygen species and identify a circuitry linking NADPH oxidase activity to DUOX1 and 2 levels in neuroblastoma cells PMID: 22523549
- Data show that comparing with adjacent non-neoplastic tissues, DUOX1, DUOX2, and NOX4 were expressed at higher frequencies in tumor specimens. PMID: 21915726
- results demonstrate Duox1-mediated redox signaling in bronchial epithelial cells is associated with Lipid raft clustering dependent on the production of ceramide through acid sphingomyelinase PMID: 21389273
- Data demonstrated that the increased expression of DUOX1 in IL-4/IL-13-treated NHEK augments STAT6 phosphorylation via oxidative inactivation of protein tyrosine phosphatase 1B. PMID: 21411736
- activation of Duox1, downstream of proximal TCR signals, generates H(2)O(2) that acts in a positive feedback loop to enhance and sustain further TCR signaling. PMID: 20682913
- Results found that Pseudomonas aeruginosa triggers H2O2 production by Duox1 in bronchial epithelial cells in a calcium-dependent but predominantly ATP-independent manner. PMID: 20085766
- TPO binds to dualoxidases;defects in this association could impair thyroid hormone synthesis and lead to thyroid insufficiency and cell damage. PMID: 19952225
- Thox1 is expressed in aortic media and either not at all or rarely in unaffected intima, while mRNA expression in cells is greatest in fibrofatty lesions. PMID: 12482831
- chromosomal organization of hThOX1 and hThOX2 genes and the functional characterization of their respective promoter regions PMID: 15062544
- EFP1 is a thioredoxin-related protein and partner of duox PMID: 15561711
- Duox1 plays a critical role in mucin expression by airway epithelial cells through PKCdelta/PKC-Duox1-ROS-TACE-pro-ligand-EGF receptor cascade. PMID: 15640347
- These data suggest that Duox1 and 2 are the major NADPH oxidases expressed in airway epithelia and therefore contributors of hydrogen peroxide production in the airway lumen. PMID: 15677770
- Results demonstrate the regulation of Duox1 and 2 expression by Th1 and Th2 cytokines, and suggest a mechanism by which ROS production can be regulated in the respiratory tract as part of the host defense response. PMID: 16111680
- In conclusion, incubation of normal or GD thyrocytes with Th1 cytokines induces a significant reduction in TSH-increased expression of both TPO and ThOXs, an effect partially mediated by NO. PMID: 16478776
- Critical role for dual oxidase 1 within the tracheobronchial epithelium, in airway epithelial cell migration and repair following injury. PMID: 17135261
- there is regulated expression of DUOX1 during alveolar maturation, and DUOX1 mediates alveolar H(2)O(2) and acid secretion by differentiated type II cells PMID: 17337509
- Results imply that the airway expression of Duox1 is diversely associated with smoking and chronic obstructive pulmonary disease. PMID: 18177232
- Results suggest that an area on chromosome 15 that includes DUOX1, DUOX2, and their maturation factors is a frequent target for epigenetic silencing in lung cancer. PMID: 18281478
- a novel, inhibitory function for Noxa1 in Duox1 regulation. PMID: 18606821
- Activation of dual oxidases Duox1 and Duox2: differential regulation mediated by camp-dependent protein kinase and protein kinase C-dependent phosphorylation. PMID: 19144650
- Heterodimerization controls localization of Duox-DuoxA NADPH oxidases in airway cells. PMID: 19339556
- analysis of heme binding and catalytic activity of Caenorhabditis elegans and human dual oxidase 1 PMID: 19460756
顯示更多
收起更多
-
亞細胞定位:Apical cell membrane; Multi-pass membrane protein. Note=Localizes to the apical membrane of epithelial cells.
-
蛋白家族:Peroxidase family
-
組織特異性:Expressed in thyrocytes and tracheal surface epithelial cells (at protein level). Expressed in thyroid, trachea, bronchium, and to a lower extent, in placenta, testis, prostate, pancreas and heart.
-
數據庫鏈接:
Most popular with customers
-
-
YWHAB Recombinant Monoclonal Antibody
Applications: ELISA, WB, IHC, IF, FC
Species Reactivity: Human, Mouse, Rat
-
Phospho-YAP1 (S127) Recombinant Monoclonal Antibody
Applications: ELISA, WB, IHC
Species Reactivity: Human
-
-
-
-
-















