DSG3 Antibody
-
中文名稱:DSG3兔多克隆抗體
-
貨號:CSB-PA007205LA01HU
-
規格:¥440
-
圖片:
-
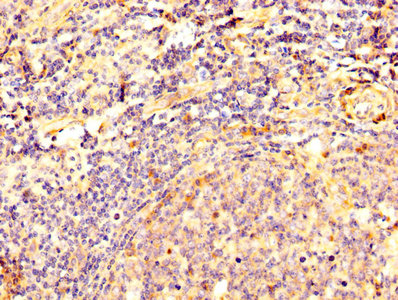
IHC image of CSB-PA007205LA01HU diluted at 1:500 and staining in paraffin-embedded human tonsil tissue performed on a Leica BondTM system. After dewaxing and hydration, antigen retrieval was mediated by high pressure in a citrate buffer (pH 6.0). Section was blocked with 10% normal goat serum 30min at RT. Then primary antibody (1% BSA) was incubated at 4°C overnight. The primary is detected by a biotinylated secondary antibody and visualized using an HRP conjugated SP system.
-
Immunofluorescence staining of Hela cells with CSB-PA007205LA01HU at 1:166, counter-stained with DAPI. The cells were fixed in 4% formaldehyde, permeabilized using 0.2% Triton X-100 and blocked in 10% normal Goat Serum. The cells were then incubated with the antibody overnight at 4°C. The secondary antibody was Alexa Fluor 488-congugated AffiniPure Goat Anti-Rabbit IgG(H+L).
-
-
其他:
產品詳情
-
產品名稱:Rabbit anti-Homo sapiens (Human) DSG3 Polyclonal antibody
-
Uniprot No.:
-
基因名:DSG3
-
別名:130 kD pemphigus vulgaris antigen antibody; 130 kDa pemphigus vulgaris antigen antibody; Balding antibody; Cadherin family member 6 antibody; CDHF 6 antibody; CDHF6 antibody; Desmoglein 3 antibody; Desmoglein 3 precursor antibody; Desmoglein-3 antibody; Desmoglein3 antibody; DKFZp686P23184 antibody; DSG 3 antibody; DSG3 antibody; DSG3_HUMAN antibody; Pemphigus vulgaris antigen antibody; PVA antibody
-
宿主:Rabbit
-
反應種屬:Human
-
免疫原:Recombinant Human Desmoglein-3 protein (70-615AA)
-
免疫原種屬:Homo sapiens (Human)
-
標記方式:Non-conjugated
本頁面中的產品,DSG3 Antibody (CSB-PA007205LA01HU),的標記方式是Non-conjugated。對于DSG3 Antibody,我們還提供其他標記。見下表:
-
克隆類型:Polyclonal
-
抗體亞型:IgG
-
純化方式:>95%, Protein G purified
-
濃度:It differs from different batches. Please contact us to confirm it.
-
保存緩沖液:Preservative: 0.03% Proclin 300
Constituents: 50% Glycerol, 0.01M PBS, PH 7.4 -
產品提供形式:Liquid
-
應用范圍:ELISA, IHC, IF
-
推薦稀釋比:
Application Recommended Dilution IHC 1:500-1:1000 IF 1:50-1:200 -
Protocols:
-
儲存條件:Upon receipt, store at -20°C or -80°C. Avoid repeated freeze.
-
貨期:Basically, we can dispatch the products out in 1-3 working days after receiving your orders. Delivery time maybe differs from different purchasing way or location, please kindly consult your local distributors for specific delivery time.
-
用途:For Research Use Only. Not for use in diagnostic or therapeutic procedures.
相關產品
靶點詳情
-
功能:Component of intercellular desmosome junctions. Involved in the interaction of plaque proteins and intermediate filaments mediating cell-cell adhesion.
-
基因功能參考文獻:
- flotillin has a role in desmosomal adhesion and Pemphigus vulgaris-like localisation of desmoglein-3 in human keratinocytes PMID: 27346727
- our findings suggest that Dsg3 functions as a key in cell-cell adhesion through at least a mechanism of regulating E-cadherin membrane trafficking PMID: 27254775
- Desmoglein 3 Order and Dynamics in Desmosomes PMID: 29212005
- Data indicate that all 3 monoclonal antibodies (mAbs) targeted the same extracellular cadherin (EC) domain on desmoglein 3 (Dsg3), caused Dsg3 internalization in primary keratinocytes, and caused suprabasal blisters in skin. PMID: 27304671
- DSG3 was a key prognostic factor and predictor for neoadjuvant concurrent chemoradiotherapy response in rectal cancer patients. PMID: 27040321
- Treg cells exert a clear down-regulatory effect on the Dsg3-driven T-cell response and, accordingly, the formation of Dsg3-specific IgG antibodies PMID: 26661498
- Data identify DSG3 as a negative prognostic biomarker in resected pancreatic ductal adenocarcinoma, as high DSG3 expression is associated with poor overall survival and poor tumour-specific survival. PMID: 26469831
- this study directly demonstrates the occurrence of desmoglein 3 molecules outside of desmosomes and reveales that the adhesive properties of these molecules do differ depending on their localization. PMID: 25510735
- DSG2 and DSG3 might be potential diagnostic markers for squamous cell carcinoma of the lung and DSG3 could be a potential differentiation marker for lung cancer. PMID: 25468811
- alterations of their expression suggest a role of Dsg3 and gamma-catenin (additionally to E-cadherin/beta-catenin) as biomarkers of malignant transformation risk of oral dysplasia and the biological behavior (aggressiveness) of oral cancer, respectively PMID: 23430339
- the Dsg3 epitopes targeted by pathogenic mPV IgG are human specific in mice PMID: 25695683
- Pemphigus vulgaris is characterized by low IgG reactivities to specific self-antigens along with high IgG reactivity to desmoglein 3. PMID: 24820664
- High DSG3 mRNA expression is associated with esophageal squamous cell carcinoma. PMID: 24568510
- Pemphigus vulgaris autoimmune globulin induces Src-dependent tyrosine-phosphorylation of PKP3 and its detachment from DSG3. PMID: 24328683
- Dsg3 did not associate with rafts in cells lacking desmosomal proteins. PMID: 24498201
- this study identifies a novel Dsg3-mediated c-Jun/AP-1 regulatory mechanism and PKC-dependent Ezrin phosphorylation that could be responsible for Dsg3-associated cancer metastasis. PMID: 23752190
- DSG3 functions as an oncogene and facilitates cancer growth and invasion in head and neck cancer cells PMID: 23737966
- The conformational Dsg3 ELISA index reflected the pathogenicity of anti-Dsg3 antibodies more accurately than the conventional Dsg3 ELISA index in pemphigus vulgaris. PMID: 23602628
- MAC387 and desmoglein-3 are reliable diagnostic markers for supporting the morphologic impression of squamous differentiation in urinary bladder carcinoma. PMID: 23806524
- All 3 markers were studied independently and were associated with tumor percentage in metastatic lymph nodes. PVA had the strongest correlation, followed by PTHrP and then TACSTD1. PMID: 23625795
- provide a proof of principle supporting that ultrasensitive nanostructured assay systems for DSG3 can be exploited to detect micrometastatic HNSCC lesions in lymph nodes, which can improve the diagnosis PMID: 23010602
- The cis-adhesive interface on extracellular subdomain EC1 recognized by the pathogenic antibody PVA224 is the primary target of the autoantibodies present in the serum of pemiphigus vulgaris patients. PMID: 22996451
- an important novel function for Dsg3 in promoting actin dynamics through regulating Rac1 and Cdc42 activation in epithelial cells. PMID: 22796473
- a useful immunohistochemical marker for differentiation of lung squamous cell carcinoma and adenocarcinoma from other subtypes PMID: 22495379
- In paraneoplastic pempigus and pemphigus vulgaris, IgG autoantibodies to DSG3 may be found in autoantibody profiling. PMID: 22318391
- Report mapping of B cell epitopes on desmoglein 3 in pemphigus vulgaris patients by the use of overlapping peptides. PMID: 22261006
- These findings suggest a novel function for Dsg3 in the control of E-cadherin-Src signalling and cell-cell adhesion. PMID: 22294297
- These data indicate a contribution of Dsg depletion to pemphigus vulgaris pathogenesis dependent on Ca(2+)-induced differentiation. PMID: 21864491
- Silencing desmoglein 3 caused defects in cell-cell adhesion and concomitant reduction in cell proliferation in both HaCaT and MDCK cells. PMID: 21702856
- Dsg3, as an up-stream regulator of Src activity, helps regulate adherens junction formation through its interaction with E-cadherin PMID: 21151980
- The genetic background of the local population may explain why pemphigus occurs more commonly than bullous pemphigoid in Northwestern Romania compared with the population of Western Europe PMID: 20618495
- results argue against the hypothesis that DSG3 coding variants play a role in pemphigus vulgaris susceptibility PMID: 19678820
- Data strongly support the view that desmoglein 3 contributes to the regulation of epidermal differentiation. PMID: 12138195
- The appearance of DSG3-reactive Th2 cells is constant at different stages of pemphigus vulgaris (PV), while DSG3-reactive Th1 cells are detected at a significantly higher frequency in chronic active PV. PMID: 12496453
- In trichilemmal keratinization in follicle, and in cysts in these areas, desmoglein 3 expressed throughout outer root sheath and cyst wall. In areas of epidermal-like keratinization, desmoglein 3 expression was limited mainly to the basal layer. PMID: 12787134
- a novel negative marker for epidermal stem cell-containing population of keratinocytes PMID: 12953062
- Dsg3(AA145-192)-specific cells preferentially utilize the TCRVbeta13 gene, while Dsg3(AA240-303)- and Dsg3 (AA570-614)-specific cells utilize Vbeta7 and Vbeta17 genes, respectively PMID: 14675184
- The five genes, and three of the encoded proteins, were shown differentially expressed between a group of keratoconus patients and a reference group using different techniques PMID: 16015083
- Dsg3 endocytosis, keratin filament retraction, and the loss of keratinocyte cell-cell adhesion are coordinated responses to PV IgG PMID: 16377623
- autoantibodies against desmoglein 3 (Dsg3) have been detected in sera from patients with fogo selvagem PMID: 16763546
- analysis of desmoglein 3 ectodomain in pemphigus vulgaris PMID: 16842599
- Overexpression of DSG3 is associated with head and neck cancer PMID: 16878157
- Desmoglein 3 status indicated a poor prognosis in lung cancers. PMID: 17084439
- The T cellular autoimmune response against immunodominant peptides of Dsg3 in patients with pemphigus vulgaris is monitored with highly specific HLA-DRbeta1*0402 tetramers. PMID: 17113829
- These data indicate that Dsg3(dim) populations from primary human adult keratinocytes and long-term established keratinocyte lines possess certain stem/progenitor cell-like properties. PMID: 17255524
- Data suggest that although the desmoglein (Dsg)3 depletion is not indicative for adhesive strength, it may indicate pathogenic changes within the cell and it plays a role in skin fragility or susceptibility to blister formation in pemphigus patients. PMID: 17428808
- Reduction of Dsg3 might be relevant to blister formation in pemphigus vulgaris. PMID: 17431647
- pemphigus vulgaris-IgG-dependent uPA activation is not related to anti-Dsg3 antibody activity PMID: 17532189
- Autoantibody from pemphigus vulgaris sera react with non-conformational epitopes of desmoglein 3. PMID: 18095943
- results indicate that the membrane proximal region in the IA region of Dsg3 is necessary for complex formation with P120-catenin and to maintain free Dsg3 at the cell surface before it is integrated into desmosomes PMID: 18343367
顯示更多
收起更多
-
亞細胞定位:Cell membrane; Single-pass type I membrane protein. Cell junction, desmosome.
-
組織特異性:Epidermis, tongue, tonsil, esophagus and carcinomas.
-
數據庫鏈接:
Most popular with customers
-
YWHAB Recombinant Monoclonal Antibody
Applications: ELISA, WB, IHC, IF, FC
Species Reactivity: Human, Mouse, Rat
-
Phospho-YAP1 (S127) Recombinant Monoclonal Antibody
Applications: ELISA, WB, IHC
Species Reactivity: Human
-
-
-
-
-
-















