DRD1 Antibody
-
中文名稱:DRD1兔多克隆抗體
-
貨號:CSB-PA343762
-
規格:¥1100
-
圖片:
-
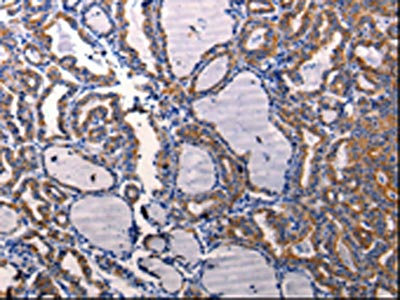
The image on the left is immunohistochemistry of paraffin-embedded Human thyroid cancer tissue using CSB-PA343762(DRD1 Antibody) at dilution 1/50, on the right is treated with synthetic peptide. (Original magnification: ×200)
-
Gel: 10%SDS-PAGE, Lysate: 30 μg, Lane: Hela cells, Primary antibody: CSB-PA343762(DRD1 Antibody) at dilution 1/1000, Secondary antibody: Goat anti rabbit IgG at 1/8000 dilution, Exposure time: 1 minute
-
-
其他:
產品詳情
-
Uniprot No.:
-
基因名:
-
別名:DRD1; D(1A dopamine receptor; Dopamine D1 receptor
-
宿主:Rabbit
-
反應種屬:Human
-
免疫原:Synthetic peptide of Human DRD1
-
免疫原種屬:Homo sapiens (Human)
-
標記方式:Non-conjugated
-
抗體亞型:IgG
-
純化方式:Antigen affinity purification
-
濃度:It differs from different batches. Please contact us to confirm it.
-
保存緩沖液:-20°C, pH7.4 PBS, 0.05% NaN3, 40% Glycerol
-
產品提供形式:Liquid
-
應用范圍:ELISA,WB,IHC
-
推薦稀釋比:
Application Recommended Dilution ELISA 1:500-1:5000 WB 1:1000-1:5000 IHC 1:25-1:100 -
Protocols:
-
儲存條件:Upon receipt, store at -20°C or -80°C. Avoid repeated freeze.
-
貨期:Basically, we can dispatch the products out in 1-3 working days after receiving your orders. Delivery time maybe differs from different purchasing way or location, please kindly consult your local distributors for specific delivery time.
-
用途:For Research Use Only. Not for use in diagnostic or therapeutic procedures.
相關產品
靶點詳情
-
功能:Dopamine receptor whose activity is mediated by G proteins which activate adenylyl cyclase.
-
基因功能參考文獻:
- activation of the dopamine D1 receptor on human airway epithelium could induce mucus overproduction, which could worsen airway obstructive symptoms. PMID: 29606146
- The promoter region of DRD1 corresponded to positions - 1250 to + 250 in the DNA sequence. The transcription factor-binding sequence was localized. PMID: 30022436
- Greater DRD1-related coexpression was associated with lower prefrontal activity and higher working memory performance, indicating greater working memory efficiency. PMID: 29735686
- Molecular dynamics simulations show that the interaction of dopamine with the D1 receptor leads to the formation of a hydrogen-bond network with its catechol group and helices 3, 5, and 6, including water molecules. The para hydroxyl group of dopamine binds directly to S5.42 and N6.55, the latter also interacting with S5.43. The formation of this hydrogen-bond network, triggers the opening of the E6.30-R3.60 ionic lock. PMID: 28361444
- Two SUMO modification sites existed in dopamine receptor D1, the phosphorylation of which, due to SUMO modification, can interact with PP2A, leading to the inhibition of D1 de-phosphorylation and normal function. PMID: 28770955
- Nucleus accumbens dopamine-dopamine receptor signaling regulates sexual preference for females in male mice via Trpc2. PMID: 29241537
- Positron emission tomography data showed strong to moderate evidence in favor of failed replications of correlations between D1-R availability and trait social desirability or physical aggression. PMID: 29543812
- DR1 induces osteosarcoma cell apoptosis via changes to the MAPK pathway PMID: 28699280
- Synonymous SNPs (rs1799914 and rs4867798) of the DRD1 gene were associated with Essential Hypertension in Hani nationality However, none SNPs of DRD1 and DRD3 of best models showed association with Essential Hypertension in Han and Yi nationality. PMID: 28579604
- study to identify putative genetic factors in genes of serotonergic and dopaminergic systems modulating the level of manifestation of depressive symptoms in children; a significant interaction effect was detected between rs1039089 in conjunction with rs877138 located upstream of DRD1 and DRD2 genes respectively PMID: 27472173
- D1 receptor system is associated with pre-motor inhibition electrophysiological correlates of response inhibition processes PMID: 27021648
- DRD1, DRD2 and DRD3 may not be the susceptibility genes for schizophrenia in the Chinese Han population. PMID: 27591410
- the D1 receptor exists in several different membrane localizations, depending on the receptor's conformation. PMID: 27570114
- D1 receptor is involved in mediating the epileptic effects of Abeta1-42. PMID: 27701029
- Signaling of dopamine receptor D1 is regulated by VPS35. PMID: 27460146
- The Parkinson's disease-associated LRRK2 mutant G2019S impairs DRD1 internalization, leading to an alteration in signal transduction. The mutant forms of LRRK2 also affect receptor turnover by decreasing the rate of DRD2 trafficking from the Golgi complex to the cell membrane. PMID: 28582422
- Here, using PET with [(11)C]raclopride, we identified in the AKT1 gene a new variable number tandem repeat (VNTR) marker associated with baseline striatal dopamine D2/D3 receptor availability and with methylphenidate-induced striatal dopamine increases in healthy volunteers. PMID: 28416594
- We explore the role of mothers' executive function in mediating the relation between oxytocin and dopamine gene variants and maternal responsiveness and examined single nucleotide polymorphisms (SNPs) related to the dopamine system DRD1 rs686, DRD1 rs265976,. Dopamine SNPs were not associated with any measure of executive function or parenting (all P > 0.05). PMID: 27620964
- DRD1 gene polymorphisms are related to heroin dependence in a Chinese Han population and may be informative for future genetic or biological studies on heroin dependence. PMID: 25966176
- Polymorphic mutations in the D2 receptor play a role in dimmer formation with the dopamine D1 receptor. PMID: 28119185
- Parkinson's patients carrying allele T at DRD1C62T had an increased risk of visual hallucinations (VHs), expressed as OR (95 % CI, p value), of 10.7 (2.9-40, p = 0.0001). Moreover, patients with DRD1-48 GG and 62TT genotype displayed shorter time to VHs, whereas a longer time to VHs was found in subjects carrying the DRD4 CG alleles PMID: 27497990
- DRD1 gene expression reduction in breast cancer patients after spiritual intervention PMID: 26597879
- The results of this study showed that Lack of Association Between Polymorphisms in Dopamine Receptor-1 Genes With Childhood Autism in Chinese Han Population. PMID: 26337060
- In the dominant model, rs4532 locus of DRD1 gene was related to hypertension with a pooled OR of 1.353 (95% CI =1.016-1.802, P=0.038). [meta-analysis] PMID: 26730182
- This study revealed that the factors of schizotypy resembling the negative symptoms of schizophrenia are associated with the minor rs4532/C allele of 4532 SNP on the DRD1 gene. PMID: 26723139
- on a sequence learning task in 161 Caucasian participants, the DRD1 polymorphism predicted the ability to learn new sequences PMID: 26419600
- the DRD1 gene is implicated in the pathophysiology of psychosis and support the dopamine hypothesis of schizophrenia. PMID: 26957229
- No significant association between candidate gene variants and criminal behavior was detected. PMID: 26041607
- In penetrating brain injury, carriers of more transcriptionally active DRD1 alleles compared demonstrated greater aggression levels due to medial prefrontal cortex lesions but reduced aggression levels due to lateral prefrontal cortex lesions. PMID: 24618367
- Conserved residues in intracellular loop 1 and transmembrane region 2 of DRD1 and DRD5 are essential in ligand binding and signal transduction. PMID: 26186971
- D1R and D5R colocalize in renal proximal tubule cells and physically interact in second messenger coupling pathways and heterologous receptor interaction between the two receptors. PMID: 24552847
- Dopamine D1 receptor (DRD1) 5' region haplotypes significantly affect transcriptional activity in vitro PMID: 26484506
- Polymorphisms in DRD1, DRD2 and GRIN2B confer increased risk of impulse control problems among PD patients. PMID: 25896831
- Stress, which in part is mediated by dopamine acting via the D1 receptor, may disrupt normal synaptic plasticity in adolescence resulting in excessive synaptic elimination PMID: 24410560
- Dopamine D1 receptor-expressing neurons provide the dominant source of accumbal inhibition to lateral hypothalamus to control over feeding. PMID: 26593092
- The observed frequency of dopamine DRD1 and DRD4 polymorphisms is similar to the distribution of these variants in other Caucasian populations PMID: 26665568
- D1-like receptors inhibit ROS production by altering PON2 distribution in membrane microdomains in the short-term, and by increasing PON2 expression in the long-term. PMID: 25740199
- did not find significant pooled Odds Ratios for any of the six genes, under different models and stratifying for ethnicity. PMID: 25660313
- Results suggest that altered splicing of DRD2 and expression of DRD1 may constitute a pathophysiological mechanism in risk for schizophrenia, bipolar and major depressive disorders PMID: 24322206
- The GG genotype of rs4532 locus in DRD1 gene was associated with an increased risk of bipolar disorder (Meta-analysis). PMID: 24001587
- this work suggests that D1 receptor alters the distribution of Galphas and Galphai3 subunits inside the membrane. PMID: 25527226
- Sorting nexin 5 and dopamine d1 receptor regulate the expression of the insulin receptor in human renal proximal tubule cells PMID: 25825816
- dopamine receptor is involved in the etiological and cognitive deficits of BD. DRD4 may associate with psychotic symptomatology rather than with a unique diagnosis of BD. DRD1 may associate with cognitive deficits of BD. PMID: 25233244
- DRD1 polymorphism predisposes to lung cancer among those exposed to secondhand smoke during childhood. PMID: 25281486
- DRD1 polymorphisms may not influence the clinical efficacy of risperidone in Chinese schizophrenia patients. PMID: 25179995
- Dopamine D1 receptor activation increases HIV entry into primary human macrophages. PMID: 25268786
- LRs are essential not only for the proper membrane distribution and maintenance of AC5/6 activity but also for the regulation of D1R- and D5R-mediated AC signaling. PMID: 25049074
- Two rare missense variants in DRD1 were found in patients with tardive-like dystonia. PMID: 24768614
- DRD1 might contribute minimally to the emergence of symptoms and cognitive difficulties associated with ADHD in childhood, but may act as a modifier gene of these clinical features and outcome during later development for those with ADHD PMID: 24410775
- Constitutive D1R differs from D5R in that it fails to drive expression CRE-regulated genes. Treatment of a D1R line with cis-flupentixol induced up-regulation of Na,K-ATPase-alpha2, NHE-2 and NHE-3 mRNA levels. PMID: 25154512
顯示更多
收起更多
-
亞細胞定位:Cell membrane; Multi-pass membrane protein. Endoplasmic reticulum membrane; Multi-pass membrane protein. Cell projection, dendrite. Cell projection, dendritic spine.
-
蛋白家族:G-protein coupled receptor 1 family
-
組織特異性:Detected in caudate, nucleus accumbens and in the olfactory tubercle.
-
數據庫鏈接:
Most popular with customers
-
-
YWHAB Recombinant Monoclonal Antibody
Applications: ELISA, WB, IHC, IF, FC
Species Reactivity: Human, Mouse, Rat
-
Phospho-YAP1 (S127) Recombinant Monoclonal Antibody
Applications: ELISA, WB, IHC
Species Reactivity: Human
-
-
-
-
-















