DRAM2 Antibody
-
中文名稱:DRAM2兔多克隆抗體
-
貨號:CSB-PA866601ESR1HU
-
規格:¥440
-
圖片:
-
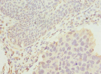
Immunohistochemistry of paraffin-embedded human bladder cancer using CSB-PA866601ESR1HU at dilution of 1:100
-
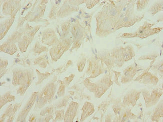
Immunohistochemistry of paraffin-embedded human heart tissue using CSB-PA866601ESR1HU at dilution of 1:100
-
Immunofluorescent analysis of MCF-7 cells using CSB-PA866601ESR1HU at dilution of 1:100 and Alexa Fluor 488-congugated AffiniPure Goat Anti-Rabbit IgG(H+L)
-
-
其他:
產品詳情
-
產品名稱:Rabbit anti-Homo sapiens (Human) DRAM2 Polyclonal antibody
-
Uniprot No.:
-
基因名:DRAM2
-
別名:DRAM2; TMEM77; PSEC0031; UNQ154/PRO180; DNA damage-regulated autophagy modulator protein 2; Transmembrane protein 77
-
宿主:Rabbit
-
反應種屬:Human
-
免疫原:Recombinant Human DNA damage-regulated autophagy modulator protein 2 protein (182-266AA)
-
免疫原種屬:Homo sapiens (Human)
-
標記方式:Non-conjugated
-
克隆類型:Polyclonal
-
抗體亞型:IgG
-
純化方式:Antigen Affinity Purified
-
濃度:It differs from different batches. Please contact us to confirm it.
-
保存緩沖液:PBS with 0.02% sodium azide, 50% glycerol, pH7.3.
-
產品提供形式:Liquid
-
應用范圍:ELISA, IHC, IF
-
推薦稀釋比:
Application Recommended Dilution IHC 1:20-1:200 IF 1:50-1:200 -
Protocols:
-
儲存條件:Upon receipt, store at -20°C or -80°C. Avoid repeated freeze.
-
貨期:Basically, we can dispatch the products out in 1-3 working days after receiving your orders. Delivery time maybe differs from different purchasing way or location, please kindly consult your local distributors for specific delivery time.
-
用途:For Research Use Only. Not for use in diagnostic or therapeutic procedures.
相關產品
靶點詳情
-
功能:Plays a role in the initiation of autophagy. In the retina, might be involved in the process of photoreceptor cells renewal and recycling to preserve visual function. Induces apoptotic cell death when coexpressed with DRAM1.
-
基因功能參考文獻:
- Mycobacterium tuberculosis significantly induces the expression of MIR144*/hsa-miR-144-5p, which targets the 3'-untranslated region of DRAM2. PMID: 27764573
- Genetic variants on chromosome 1p13.3 near the damage-regulated autophagy modulator 2 gene DRAM2 associated with Non-ST Elevation Myocardial Infarction (rs656843; odds ratio 1.57, P = 3.11 x 10(-10)) in the case-control analysis. PMID: 26509668
- Recessive variants in DRAM2, an autophagy regulator gene, have been recently identified as a cause of retinal dystrophy with early macular involvement PMID: 26720460
- Biallelic mutations in the autophagy regulator DRAM2 cause retinal dystrophy with early macular involvement. PMID: 25983245
- The expression of damage-regulated autophagy modulator 2 (DRAM2) contributes to autophagy induction. PMID: 21584698
- reduced expression of DRAM2 may contribute to enhanced cell survival in tumor cells. PMID: 19895784
- DRAM2 is different from DRAM as it not induced by p53 or p73. DRAM2 is also a lysosomal protein, its overexpression does not modulate autophagy. PMID: 19556885
顯示更多
收起更多
-
亞細胞定位:Lysosome membrane; Multi-pass membrane protein. Photoreceptor inner segment. Apical cell membrane.
-
蛋白家族:DRAM/TMEM150 family
-
組織特異性:Expression is down-regulated in ovarian tumors (at protein level). Widely expressed with highest levels in placenta and heart. Expressed in the retina. Not detected in brain or thymus.
-
數據庫鏈接:
Most popular with customers
-
-
YWHAB Recombinant Monoclonal Antibody
Applications: ELISA, WB, IHC, IF, FC
Species Reactivity: Human, Mouse, Rat
-
Phospho-YAP1 (S127) Recombinant Monoclonal Antibody
Applications: ELISA, WB, IHC
Species Reactivity: Human
-
-
-
-
-















