DPYSL3 Antibody
-
中文名稱:DPYSL3兔多克隆抗體
-
貨號:CSB-PA059973
-
規格:¥1100
-
圖片:
-
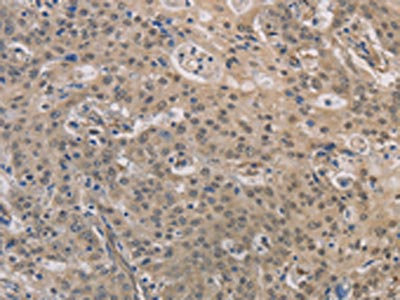
The image on the left is immunohistochemistry of paraffin-embedded Human liver cancer tissue using CSB-PA059973(DPYSL3 Antibody) at dilution 1/30, on the right is treated with fusion protein. (Original magnification: ×200)
-
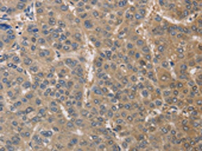
The image on the left is immunohistochemistry of paraffin-embedded Human gastric cancer tissue using CSB-PA059973(DPYSL3 Antibody) at dilution 1/30, on the right is treated with fusion protein. (Original magnification: ×200)
-
Gel: 8%SDS-PAGE, Lysate: 40 μg, Lane: Mouse brain tissue, Primary antibody: CSB-PA059973(DPYSL3 Antibody) at dilution 1/350, Secondary antibody: Goat anti rabbit IgG at 1/8000 dilution, Exposure time: 30 seconds
-
-
其他:
產品詳情
-
Uniprot No.:
-
基因名:DPYSL3
-
別名:Collapsin response mediator protein 4 antibody; Collapsin response mediator protein 4 long antibody; CRMP 4 antibody; CRMP-4 antibody; CRMP4 antibody; Dihydropyrimidinase like 3 antibody; Dihydropyrimidinase related protein 3 antibody; Dihydropyrimidinase-related protein 3 antibody; DPYL3_HUMAN antibody; DPYSL3 antibody; DRP 3 antibody; DRP-3 antibody; DRP3 antibody; LCRMP antibody; TUC4 antibody; ULIP 1 antibody; ULIP antibody; ULIP-1 antibody; ULIP1 antibody; UNc 33 like phosphoprotein 1 antibody; Unc 33 like phosphoprotein antibody; Unc-33-like phosphoprotein 1 antibody
-
宿主:Rabbit
-
反應種屬:Human,Mouse,Rat
-
免疫原:Fusion protein of Human DPYSL3
-
免疫原種屬:Homo sapiens (Human)
-
標記方式:Non-conjugated
-
抗體亞型:IgG
-
純化方式:Antigen affinity purification
-
濃度:It differs from different batches. Please contact us to confirm it.
-
保存緩沖液:-20°C, pH7.4 PBS, 0.05% NaN3, 40% Glycerol
-
產品提供形式:Liquid
-
應用范圍:ELISA,WB,IHC
-
推薦稀釋比:
Application Recommended Dilution ELISA 1:2000-1:5000 WB 1:500-1:2000 IHC 1:50-1:200 -
Protocols:
-
儲存條件:Upon receipt, store at -20°C or -80°C. Avoid repeated freeze.
-
貨期:Basically, we can dispatch the products out in 1-3 working days after receiving your orders. Delivery time maybe differs from different purchasing way or location, please kindly consult your local distributors for specific delivery time.
-
用途:For Research Use Only. Not for use in diagnostic or therapeutic procedures.
相關產品
靶點詳情
-
功能:Necessary for signaling by class 3 semaphorins and subsequent remodeling of the cytoskeleton. Plays a role in axon guidance, neuronal growth cone collapse and cell migration.
-
基因功能參考文獻:
- Data indicate that CRMP4a and CRMP4b isoforms have opposite effects on cell proliferation, migration, and invasion in gastric cancer. CRMP4a expression was reduced in gastric carcinoma tissues and cell lines and seems to act as a tumor suppressor in gastric carcinoma. CRMP4b expression was higher in tumor tissue and cell lines. PMID: 27475326
- DPYSL3 expression levels inversely correlated with those of VEGF and FAK. Down-regulation of DPYSL3 expression in HCC tissues may serve as a predictive biomarker for HCC after curative resection. PMID: 25173447
- Expression status of DPYSL3 in gastric cancer tissues may represent a promising biomarker for the malignant behavior of GC. PMID: 25096402
- DPYSL3 as pancreatic ductal adenocarcinoma-associated molecule that regulates cell adhesion and migration by stabilization of focal adhesion complex PMID: 24339867
- structures provide further insight into the effects of medically relevant mutations of the DPYSL-3 gene encoding CRMP-4 and the putative enzymatic activities of CRMPs PMID: 24914979
- High collapsin response mediator protein 4 expression is associated with liver metastasis in pancreatic cancer. PMID: 22805864
- Downregulation of MYCN by small interfering RNA (siRNA) increased DPYSL3 levels, while upregulation of MYCN in non-MYCN NB cells decreased DPYSL3 levels. PMID: 24011394
- study found the association between the rs147541241 variant and amyotrophic lateral scerosis was limited to the French population PMID: 23568759
- Ulip1 was downregulated and HIF1a was upregulated in hypoxic neuroblastoma cells. PMID: 20977846
- CRMP4 is a key physiological substrate of GSK3 in regulating chromosomal alignment and mitotic progression through its effect on spindle microtubules PMID: 21179545
- Data show that two genes, LTB4DH and DPYSL3, were confirmed to be candidate genes for the predictor of a good immune response. PMID: 20804502
- new function of CRMP4 as a metastasis-suppressor in lymph node metastasis of prostate cancer PMID: 20543870
- HUlip was expressed in late fetal and early postnatal brains in the neurons of the brain stem, basal ganglia/thalamus, and dentate gyrus of the hippocampus. HUlip expression was easily detected in tumor cells undergoing neuronal differentiation. [Ulip] PMID: 15933812
顯示更多
收起更多
-
亞細胞定位:Cytoplasm. Cell projection, growth cone.
-
蛋白家族:Metallo-dependent hydrolases superfamily, Hydantoinase/dihydropyrimidinase family
-
組織特異性:Mainly expressed in heart and skeletal muscle. Also strongly expressed in fetal brain and spinal cord.
-
數據庫鏈接:
Most popular with customers
-
-
Phospho-YAP1 (S127) Recombinant Monoclonal Antibody
Applications: ELISA, WB, IHC
Species Reactivity: Human
-
-
-
-
-
-















