DPP9 Antibody
-
中文名稱:DPP9兔多克隆抗體
-
貨號:CSB-PA769770LA01HU
-
規格:¥440
-
圖片:
-
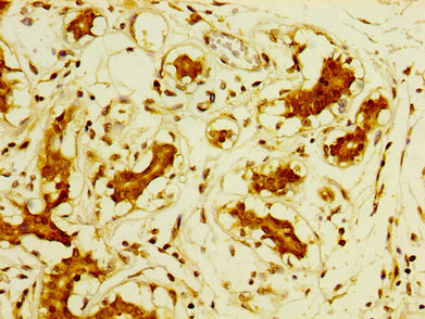
IHC image of CSB-PA769770LA01HU diluted at 1:800 and staining in paraffin-embedded human breast cancer performed on a Leica BondTM system. After dewaxing and hydration, antigen retrieval was mediated by high pressure in a citrate buffer (pH 6.0). Section was blocked with 10% normal goat serum 30min at RT. Then primary antibody (1% BSA) was incubated at 4°C overnight. The primary is detected by a biotinylated secondary antibody and visualized using an HRP conjugated SP system.
-
-
其他:
產品詳情
-
產品名稱:Rabbit anti-Homo sapiens (Human) DPP9 Polyclonal antibody
-
Uniprot No.:
-
基因名:DPP9
-
別名:Dipeptidyl peptidase 9 antibody; Dipeptidyl peptidase IV related protein 2 antibody; Dipeptidyl peptidase IV-related protein 2 antibody; Dipeptidyl peptidase IX antibody; Dipeptidyl peptidase like protein 9 antibody; Dipeptidyl peptidase-like protein 9 antibody; Dipeptidylpeptidase 9 antibody; Dipeptidylpeptidase IX antibody; DKFZp762F117 antibody; DP 9 antibody; DP9 antibody; DPLP 9 antibody; DPLP9 antibody; DPP 9 antibody; DPP IX antibody; DPP9 antibody; DPP9_HUMAN antibody; DPRP 2 antibody; DPRP-2 antibody; DPRP2 antibody; FLJ16073 antibody
-
宿主:Rabbit
-
反應種屬:Human
-
免疫原:Recombinant Human Dipeptidyl peptidase 9 protein (289-437AA)
-
免疫原種屬:Homo sapiens (Human)
-
標記方式:Non-conjugated
本頁面中的產品,DPP9 Antibody (CSB-PA769770LA01HU),的標記方式是Non-conjugated。對于DPP9 Antibody,我們還提供其他標記。見下表:
-
克隆類型:Polyclonal
-
抗體亞型:IgG
-
純化方式:>95%, Protein G purified
-
濃度:It differs from different batches. Please contact us to confirm it.
-
保存緩沖液:Preservative: 0.03% Proclin 300
Constituents: 50% Glycerol, 0.01M PBS, pH 7.4 -
產品提供形式:Liquid
-
應用范圍:ELISA, IHC
-
推薦稀釋比:
Application Recommended Dilution IHC 1:500-1:1000 -
Protocols:
-
儲存條件:Upon receipt, store at -20°C or -80°C. Avoid repeated freeze.
-
貨期:Basically, we can dispatch the products out in 1-3 working days after receiving your orders. Delivery time maybe differs from different purchasing way or location, please kindly consult your local distributors for specific delivery time.
-
用途:For Research Use Only. Not for use in diagnostic or therapeutic procedures.
相關產品
靶點詳情
-
功能:Dipeptidyl peptidase that cleaves off N-terminal dipeptides from proteins having a Pro or Ala residue at position 2. Acts as an inhibitor of caspase-1-dependent monocyte and macrophage pyroptosis: inhibits pyroptosis by preventing activation of NLRP1 and CARD8 via an unknown mechanism.
-
基因功能參考文獻:
- The data of this study have shown that fibroblasts and keratinocytes of normal skin endogenously express DPP9 both at transcriptional and protein level. It is localized intracellularly, mostly in cytoplasm, whereby the sub-localization within Golgi is very scarce. PMID: 27682012
- DPP9 has a role in promoting tumorgenicity, metastasis and the prediction of poor prognosis in non-small cell lung cancer PMID: 27943262
- The DPP9 expressing cell model system is a very useful and promising system for investigating the selectivity and associated toxicity of DPP4 inhibitors on DPP9. PMID: 25464020
- There was a concomitant decrease in the phosphorylation of focal adhesion kinase and paxillin, indicating that DPP9 knockdown or enzyme inhibition suppressed the associated adhesion signaling pathway, causing impaired cell movement. PMID: 25486458
- Whereas DPP9-short is present in the cytosol, DPP9-long localizes preferentially to the nucleus. PMID: 24562348
- DPP9 was found in macrophages of carotid atherosclerotic plaque and may play a role in disease progression. PMID: 23608773
- DPP9 binds to SUMO1 through a novel SUMO1 interacting motif. PMID: 23152501
- residues important for dimer formation and enzymatic activity PMID: 22001206
- These findings suggest an important signaling role of DPP9 in the regulation of survival and proliferation pathways. PMID: 21622624
- This is the first study to demonstrate the presence of DP9 in chronic lymphocytic leukemia. PMID: 20534982
- identification of two forms, their tissue distribution, cytoplasmic localization PMID: 15245913
- cells overexpressing DP9 exhibit behavioral changesin the presence of ECM components; these effects were independent of enzyme activity PMID: 16700509
- The DPP9 gene is not associated with the occurrence or curve severity of AIS. It is neither a disease-predisposition nor a disease-modifying gene of AIS. PMID: 18940951
- results indicate that the biochemical property of DPP9 is very similar to that of DPP8, its homologous protease. DPP9 and DPP8 are likely redundant proteins carrying out overlapping functions in vivo PMID: 19268648
- DPP9, a poorly characterized cytoplasmic prolyl-peptidase, is rate-limiting for destruction of proline-containing substrates both in cell extracts and in intact cells PMID: 19667070
顯示更多
收起更多
-
亞細胞定位:[Isoform 1]: Cytoplasm, cytosol.; [Isoform 2]: Nucleus.
-
蛋白家族:Peptidase S9B family, DPPIV subfamily
-
組織特異性:Ubiquitously expressed, with highest levels in liver, heart and muscle, and lowest levels in brain.
-
數據庫鏈接:
Most popular with customers
-
-
Phospho-YAP1 (S127) Recombinant Monoclonal Antibody
Applications: ELISA, WB, IHC
Species Reactivity: Human
-
-
-
-
-
-















