DOK4 Antibody
-
中文名稱:DOK4兔多克隆抗體
-
貨號:CSB-PA252610
-
規格:¥1100
-
圖片:
-
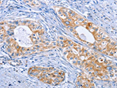
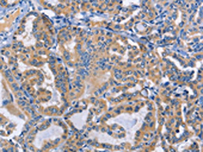
The image on the left is immunohistochemistry of paraffin-embedded Human thyroid cancer tissue using CSB-PA252610(DOK4 Antibody) at dilution 1/50, on the right is treated with fusion protein. (Original magnification: ×200)
-
The image on the left is immunohistochemistry of paraffin-embedded Human cervical cancer tissue using CSB-PA252610(DOK4 Antibody) at dilution 1/50, on the right is treated with fusion protein. (Original magnification: ×200)
-
-
其他:
產品詳情
-
Uniprot No.:
-
基因名:DOK4
-
別名:DOK4Docking protein 4 antibody; Downstream of tyrosine kinase 4 antibody; Insulin receptor substrate 5 antibody; IRS-5 antibody; IRS5 antibody
-
宿主:Rabbit
-
反應種屬:Human,Mouse
-
免疫原:Fusion protein of Human DOK4
-
免疫原種屬:Homo sapiens (Human)
-
標記方式:Non-conjugated
-
抗體亞型:IgG
-
純化方式:Antigen affinity purification
-
濃度:It differs from different batches. Please contact us to confirm it.
-
保存緩沖液:-20°C, pH7.4 PBS, 0.05% NaN3, 40% Glycerol
-
產品提供形式:Liquid
-
應用范圍:ELISA,IHC
-
推薦稀釋比:
Application Recommended Dilution ELISA 1:1000-1:5000 IHC 1:50-1:200 -
Protocols:
-
儲存條件:Upon receipt, store at -20°C or -80°C. Avoid repeated freeze.
-
貨期:Basically, we can dispatch the products out in 1-3 working days after receiving your orders. Delivery time maybe differs from different purchasing way or location, please kindly consult your local distributors for specific delivery time.
-
用途:For Research Use Only. Not for use in diagnostic or therapeutic procedures.
相關產品
靶點詳情
-
功能:DOK proteins are enzymatically inert adaptor or scaffolding proteins. They provide a docking platform for the assembly of multimolecular signaling complexes. DOK4 functions in RET-mediated neurite outgrowth and plays a positive role in activation of the MAP kinase pathway. Putative link with downstream effectors of RET in neuronal differentiation. May be involved in the regulation of the immune response induced by T-cells.
-
基因功能參考文獻:
- the current study have explored in more detail the structure and function of the Dok-4 PTB domain. PMID: 22982678
- DOK4 expression in human T cells has been demonstrated, and its genomic structure has been predicted. PMID: 12595900
- IRS5/DOK4 and IRS6/DOK5 represent two new signaling proteins with potential roles in insulin and IGF-1 action PMID: 12730241
- Results suggest that Dok-4, through activation of the Rap1-ERK1/2 pathway, regulates GDNF-mediated neurite outgrowth during neuronal development. PMID: 16820412
- IRS-5 (DOK4) is significantly upregulated in 90% of examined clear cell RCCs. Studies on this gene has shown that it is regulated through chromatin remodeling in kidney cells PMID: 17443497
- Epigenetic regulation of DOK4 expression is associated with non-small-cell lung cancer. PMID: 19073520
- Dok-4 represents a novel negative regulator of T cells PMID: 19494292
顯示更多
收起更多
-
蛋白家族:DOK family, Type B subfamily
-
組織特異性:Widely expressed. High expression in skeletal muscle, heart, kidney and liver. Weaker expression in spleen, lung and small intestine, brain, heart and. Expressed in both resting and activated peripheral blood T-cells.
-
數據庫鏈接:
Most popular with customers
-
-
YWHAB Recombinant Monoclonal Antibody
Applications: ELISA, WB, IHC, IF, FC
Species Reactivity: Human, Mouse, Rat
-
Phospho-YAP1 (S127) Recombinant Monoclonal Antibody
Applications: ELISA, WB, IHC
Species Reactivity: Human
-
-
-
-
-















