DNMT3B Antibody
-
中文名稱:DNMT3B兔多克隆抗體
-
貨號:CSB-PA883358HA01HU
-
規格:¥440
-
圖片:
-
Western blot
All lanes: DNMT3B antibody at 14µg/ml + Hela whole cell lysate
Secondary
Goat polyclonal to rabbit IgG at 1/10000 dilution
Predicted band size: 96, 94, 87, 81, 89, 95, 78, 82 kDa
Observed band size: 96, 37 kDa -
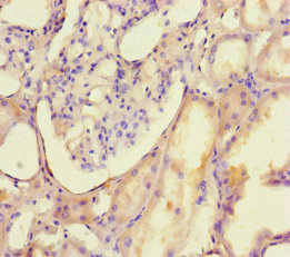
Immunohistochemistry of paraffin-embedded human kidney tissue using CSB-PA883358HA01HU at dilution of 1:100
-
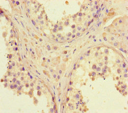
Immunohistochemistry of paraffin-embedded human testis tissue using CSB-PA883358HA01HU at dilution of 1:100
-
Immunofluorescent analysis of HepG2 cells using CSB-PA883358HA01HU at dilution of 1:100 and Alexa Fluor 488-congugated AffiniPure Goat Anti-Rabbit IgG(H+L)
-
-
其他:
產品詳情
-
產品名稱:Rabbit anti-Homo sapiens (Human) DNMT3B Polyclonal antibody
-
Uniprot No.:
-
基因名:
-
別名:Cytosine 5methyltransferase 3B antibody; DNA antibody; DNA (cytosine 5) methyltransferase 3 beta antibody; DNA (cytosine 5)-methyltransferase 3B antibody; DNA (cytosine-5)-methyltransferase 3B antibody; DNA methyltransferase HsaIIIB antibody; DNA MTase HsaIIIB antibody; DNM3B_HUMAN antibody; Dnmt3b antibody; EC 2.1.1.37 antibody; ICF antibody; ICF1 antibody; M.HsaIIIB antibody; MGC124407 antibody; RP23-89H14.3 antibody
-
宿主:Rabbit
-
反應種屬:Human
-
免疫原:Recombinant Human DNA (cytosine-5)-methyltransferase 3B protein (1-100AA)
-
免疫原種屬:Homo sapiens (Human)
-
標記方式:Non-conjugated
本頁面中的產品,DNMT3B Antibody (CSB-PA883358HA01HU),的標記方式是Non-conjugated。對于DNMT3B Antibody,我們還提供其他標記。見下表:
-
克隆類型:Polyclonal
-
抗體亞型:IgG
-
純化方式:>95%, Protein G purified
-
濃度:It differs from different batches. Please contact us to confirm it.
-
保存緩沖液:Preservative: 0.03% Proclin 300
Constituents: 50% Glycerol, 0.01M PBS, PH 7.4 -
產品提供形式:Liquid
-
應用范圍:ELISA, WB, IHC, IF
-
推薦稀釋比:
Application Recommended Dilution WB 1:500-1:5000 IHC 1:20-1:200 IF 1:50-1:200 -
Protocols:
-
儲存條件:Upon receipt, store at -20°C or -80°C. Avoid repeated freeze.
-
貨期:Basically, we can dispatch the products out in 1-3 working days after receiving your orders. Delivery time maybe differs from different purchasing way or location, please kindly consult your local distributors for specific delivery time.
-
用途:For Research Use Only. Not for use in diagnostic or therapeutic procedures.
相關產品
靶點詳情
-
功能:Required for genome-wide de novo methylation and is essential for the establishment of DNA methylation patterns during development. DNA methylation is coordinated with methylation of histones. May preferentially methylates nucleosomal DNA within the nucleosome core region. May function as transcriptional co-repressor by associating with CBX4 and independently of DNA methylation. Seems to be involved in gene silencing. In association with DNMT1 and via the recruitment of CTCFL/BORIS, involved in activation of BAG1 gene expression by modulating dimethylation of promoter histone H3 at H3K4 and H3K9. Isoforms 4 and 5 are probably not functional due to the deletion of two conserved methyltransferase motifs. Functions as a transcriptional corepressor by associating with ZHX1. Required for DUX4 silencing in somatic cells.
-
基因功能參考文獻:
- The following meta-analysis involved only Chinese population and further confirmed the significant association of -579G>T with gastric cancer but not lung cancer and suggested no significant association between -149C>T and risk of lung or gastric cancer. Collectively, DNMT3B -579G>T polymorphism is associated with gastric cancer risk in Chinese population PMID: 29332452
- Among 9 candidate genes, GNB4 was identified and validated by qRT-PCR as a potential target silenced by DNA methylation via DNA methyltransferase 3B (DNMT3B). PMID: 30103729
- Study suggests a role for DNMT3B in leukemogenesis in inv(16) acute myeloid leukemia, through MN1 methylation regulation. PMID: 28892045
- Data indicate a role for DNA methyltransferase 3B (DNMT3B) suggesting that it might substitute for the absent accessory protein DNMT3L to recruit DNMT3A in somatic cells. PMID: 27121154
- These results provided evidence that the DNMT3B -283T>C polymorphism might significantly contribute to the lung cancer risk in the Asian population, but not the gastric cancer risk in the Chinese population. PMID: 29027179
- There was no significant difference in the distribution of DNMT3B -579 G>T genotypes between the cases and controls. PMID: 28220295
- The epigenetic targets AURKB, AURKC and DNMT3B, and the global DNA methylation profile are regulated during HIV-1 replication in CD4+ T cells, and this regulation can be influenced by the activation state of the cell at the time of infection. PMID: 30077875
- Data suggest that female patients carrying the rs2424932 or rs998382 variants of DNA methyltransferase 3b (DNMT3) were more likely to develop Parkinson's disease (PD) than female controls. PMID: 28990350
- Our study expands the mutation spectrum in ICF syndrome and supports that DNMT3B and ZBTB24 are the most common disease genes PMID: 28128455
- Alternative splice variant of DNMT3B is associated with leukemia. PMID: 28730333
- these results provided a plausible link between the observed reduction of miR-26a and MEG3 in HCCs. Together, the present study added miR-26a/DNMT3B/MEG3 axis to the complex mechanisms of HCC development. PMID: 28440439
- Results show that DNMT1 mRNA levels were significantly higher in alveolar rhabdomyosarcoma and embryonal rhabdomyosarcoma tumors compared to normal skeletal muscle. Thse data indicate that altered expression of DNMT3B plays a key role in embryonal rhabdomyosarcoma development since its silencing is able to reverse cell cancer phenotype by rescuing myogenic program. PMID: 27764816
- The present study shows that DNMT3B rs2424913 promotor polymorphism represents a genetic risk factor that may play an important role in understanding the pathogenesis of chronic immune thrombocytopenia. PMID: 27590349
- LMP1-mediated NF-kappaB can up-regulate DNMT3b transcription, thereby leading to relatively higher methylation intensity at PTEN CpG islands, and ultimately silencing major tumor suppressor PTEN PMID: 27223069
- report the first crystal structure of the DNMT3B PWWP domain-H3K36me3 complex. PMID: 26993463
- Results continue to establish ANG as an oncoprotein and further reveal that ANG contributes to oncogenesis by the activation of MMP2 through modulation of DNMT3b functions. PMID: 27317771
- found association between DNMT3B rs2424913 in T allele carriers with Parkinson's disease PMID: 28041964
- H19 might function as ceRNA (competing endogenous RNA) for miR-29b-3p and relieve the suppression for DNMT3B, which led to EMT and metastasis of bladder cancer (BC). Our findings highlight a novel mechanism of H19 in progression of BC and provide H19/miR-29b-3p/DNMT3B axis as a promising therapeutic target for BC. PMID: 28779971
- A novel homozygous missense mutation, Ala585Thr, was found in DNMT3B. PMID: 27734333
- Definitive diagnosis should be done using metaphase analysis to identify centromeric instability and/or ICF disease gene mutations analysis. Bilateral VUR may occur in ICF patients with homozygous DNMT3B mutations in early childhood. Renal ultrasonography should be included in ICF1 patients for the screening of congenital anomalies. PMID: 27604394
- DNMT 3B was upregulated in invasive subclones and exerted on influence of E-cad gene methylation. PMID: 27391030
- Transduction of miR-339 and miR-766 expressing viruses into colon cancer cell lines (SW480 and HCT116) decreased DNMT3B expression (1.5, 3-fold) and (3, 4-fold), respectively. In addition, DNA methylation of some tumor suppressor genes decreased. PMID: 27668319
- Immunodeficiency, centromere instability and facial anomalies syndrome specific DNMT3B dysfunction interferes with intragenic regulation of mRNA transcription and alternative splicing. PMID: 28334849
- nickel exposure results in DNMT3b induction and MEG3 promoter hypermethylation and expression inhibition, further reduces its binding to c-Jun and in turn increasing c-Jun inhibition of PHLPP1 transcription, leading to the Akt/p70S6K/S6 axis activation, and HIF-1alpha protein translation, as well as malignant transformation of human bronchial epithelial cells. PMID: 28263966
- Overexpression of MAEL in UCB cells substantially enhanced the enrichment of DNA methyltrans-ferase (DNMT)3B and histone deacetylase (HDAC)1/2 on the promoter of the MTSS1, and thereby epigenetically suppressing the MTSS1 transcription. PMID: 27181205
- Data suggest that the overexpression of DNMT3B4 may play an important role in human kidney tumorigenesis through chromosomal instability and methylation of RASSF1A. PMID: 28160561
- Dnmt3b plays a tumor suppressive role in MLL-AF9 AML progression PMID: 27133822
- data indicated that Kaempferol is a novel DNMT3B inhibitor, which may promote the degradation of DNMT3B in bladder cancer. PMID: 28278502
- Findings suggest that PTEN and DNMT3B possess common regulation features as well as certain ethnic differences in expression between Han women and Uygur women. PMID: 28220037
- This condensed chromatin structure is associated with binding of DNMT3B and decreased occupancy of OCT1 transcription factor at MAML2 enhancer, suggesting a role of DNMT3B in increasing methylation of MAML2 after stilbenoid treatment. PMID: 27207652
- show that heterozygous mutations in DNA methyltransferase 3B (DNMT3B) are a likely cause of D4Z4 derepression associated with low levels of DUX4 expression PMID: 27153398
- 149C>T and -2437T>A DNMT3B polymorphisms are not correlated with lung cancer risk among Chinese population nor the haplotype of them. PMID: 27876061
- mRNA and protein expression levels of DNMT3b were upregulated in genotype 1b and 3a HCV-infected hepatocellular carcinoma patients as compared to control. DNMT3b mRNA levels did not change in genotypes 2a, 3, and 4, but were upregulated at the protein level by genotype 1b, 2a, and 3a. No differences were seen for genotypes 5 and 7. PMID: 26850594
- Haplotype analysis reveals a strong association of the interaction of DNMT3B gene with APOEepsilon4 in a sample of Alzheimer disease patients. PMID: 27188425
- DNMT3B Gene Polymorphism is associated with Gastric and Colorectal Cancer. PMID: 27356727
- Data show that microRNA miR-221 contributes to breast cancer tumorigenicity by regulating stemness, at least in part through the control of DNA methyltransferase 3B (DNMT3b) expression. PMID: 26556862
- Downregulation of DNMT3B, one of the targets identified using this method, radiosensitizes cancer cells by disturbing multiple DNA damage responses. PMID: 26667181
- Our results demonstrate DNMT3B4-del as a critical factor in developing aberrant DNA methylation patterns during lung tumorigenesis and suggest that DNMT3B4-del may be a target for lung cancer prevention. PMID: 26629529
- Results suggested that the DNMT3B -149C/T polymorphism is associated with a genetic susceptibility for developing LSCC in a Chinese population. PMID: 26505438
- Increasing DNA methylation in the gene-coding area of DNMT3B was associated with higher risk of colorectal adenomas (OR = 1.34; 95% CI: 1.01-1.79 per SD). PMID: 27062459
- Deregulated Dnmt3b targets have prognostic impact in acute myeloid leukemia patients. PMID: 26729896
- DNMT3B-579G>T polymorphism might contribute to the susceptibility of cancers especially in the Asian population and for colorectal cancer PMID: 26406961
- DNMT3b polymorphisms may predict long-term survival of gastric cancer. However, further studies are needed to reveal the underlying biological roles of DNMT3b polymorphism. PMID: 26262893
- Our results suggest that DNA (cytosine-5-)-methyltransferase 3 beta polymorphism is involved in the development of colon cancer and non-random genes promoter methylation among Iranian population. PMID: 25769449
- For DNMT3B, increasing DNA methylation of CpG sites in the gene-coding area was associated with a higher risk of colorectal adenomas. PMID: 26485042
- There were no significant differences in DNMT3b mRNA expression between patients with SLE and healthy controls. PMID: 25899090
- Results suggest that DNMT3B polymorphisms may explain variability in the IQ response to either enriched or impoverished environmental conditions. PMID: 25530201
- Activated IL-6 signaling might be responsible to the induction of DNMT3b overexpression on oral cancer PMID: 24625449
- The inability to downregulate DNMT3B expression in Endometriosis may contribute to an aberrant epigenetic fingerprint that misdirects gene expression in endometriosis and contributes to its altered response to steroid hormones. PMID: 26239024
- low levels of miR-29c in the CSF were positively correlated with the protein expression of BDNF and negatively correlated with the protein expression of DNMT3 in patients with AD. PMID: 25815896
顯示更多
收起更多
-
相關疾病:Immunodeficiency-centromeric instability-facial anomalies syndrome 1 (ICF1); Facioscapulohumeral muscular dystrophy 2 (FSHD2)
-
亞細胞定位:Nucleus.
-
蛋白家族:Class I-like SAM-binding methyltransferase superfamily, C5-methyltransferase family
-
組織特異性:Ubiquitous; highly expressed in fetal liver, heart, kidney, placenta, and at lower levels in spleen, colon, brain, liver, small intestine, lung, peripheral blood mononuclear cells, and skeletal muscle. Isoform 1 is expressed in all tissues except brain, s
-
數據庫鏈接:
Most popular with customers
-
-
Phospho-YAP1 (S127) Recombinant Monoclonal Antibody
Applications: ELISA, WB, IHC
Species Reactivity: Human
-
-
-
-
-
-















