DNM2 Antibody
-
中文名稱:DNM2兔多克隆抗體
-
貨號:CSB-PA007079LA01HU
-
規格:¥440
-
圖片:
-
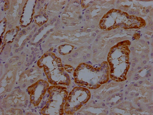
IHC image of CSB-PA007079LA01HU diluted at 1:200 and staining in paraffin-embedded human kidney tissue performed on a Leica BondTM system. After dewaxing and hydration, antigen retrieval was mediated by high pressure in a citrate buffer (pH 6.0). Section was blocked with 10% normal goat serum 30min at RT. Then primary antibody (1% BSA) was incubated at 4°C overnight. The primary is detected by a Goat anti-rabbit polymer IgG labeled by HRP and visualized using 0.05% DAB.
-
Immunofluorescence staining of Hela cells with CSB-PA007079LA01HU at 1:200, counter-stained with DAPI. The cells were fixed in 4% formaldehyde and blocked in 10% normal Goat Serum. The cells were then incubated with the antibody overnight at 4°C. The secondary antibody was Alexa Fluor 488-congugated AffiniPure Goat Anti-Rabbit IgG(H+L).
-
-
其他:
產品詳情
-
產品名稱:Rabbit anti-Homo sapiens (Human) DNM2 Polyclonal antibody
-
Uniprot No.:
-
基因名:
-
別名:Dynamin-2 (EC 3.6.5.5), DNM2, DYN2
-
宿主:Rabbit
-
反應種屬:Human
-
免疫原:Recombinant Human Dynamin-2 protein (640-1119aa)
-
免疫原種屬:Homo sapiens (Human)
-
標記方式:Non-conjugated
本頁面中的產品,DNM2 Antibody (CSB-PA007079LA01HU),的標記方式是Non-conjugated。對于DNM2 Antibody,我們還提供其他標記。見下表:
-
克隆類型:Polyclonal
-
抗體亞型:IgG
-
純化方式:>95%, Protein G purified
-
濃度:It differs from different batches. Please contact us to confirm it.
-
保存緩沖液:Preservative: 0.03% Proclin 300
Constituents: 50% Glycerol, 0.01M PBS, pH 7.4 -
產品提供形式:Liquid
-
應用范圍:ELISA, IHC, IF
-
推薦稀釋比:
Application Recommended Dilution IHC 1:100-1:500 IF 1:100-1:500 -
Protocols:
-
儲存條件:Upon receipt, store at -20°C or -80°C. Avoid repeated freeze.
-
貨期:Basically, we can dispatch the products out in 1-3 working days after receiving your orders. Delivery time maybe differs from different purchasing way or location, please kindly consult your local distributors for specific delivery time.
-
用途:For Research Use Only. Not for use in diagnostic or therapeutic procedures.
相關產品
靶點詳情
-
功能:Microtubule-associated force-producing protein involved in producing microtubule bundles and able to bind and hydrolyze GTP. Plays a role in the regulation of neuron morphology, axon growth and formation of neuronal growth cones. Plays an important role in vesicular trafficking processes, in particular endocytosis. Involved in cytokinesis. Regulates maturation of apoptotic cell corpse-containing phagosomes by recruiting PIK3C3 to the phagosome membrane.
-
基因功能參考文獻:
- DNM2 is a substrate for CDK1-dependent phosphorylation, which plays an important role in the regulation of human sperm acrosomal exocytosis. PMID: 29044420
- Data found DNM2 highly expressed compared in both forms of ALL and associated with poor prognosis and with tumor cell proliferation. Also, Ikaros directly binds the DNM2 promoter and suppresses its expression. PMID: 27885263
- a new AHI-1-BCR-ABL-DNM2 protein complex was uncovered, which regulates leukemic properties of these cells through a unique mechanism of cellular endocytosis and ROS-mediated autophagy. Thus, targeting this complex may facilitate eradication of LSCs for curative therapies PMID: 28366933
- dynamin-2, as a tetramer, might help to establish hemi-fusion and stabilizes the pore during HIV-1 fusion. PMID: 28076788
- Data suggest DNM2/RRAGB- (or DNM2/RRAGC-)dependent endocytosis of extracellular amino acids (AAs) plays critical role in mTORC1 transport/activation; recruitment of mTORC1 from cytoplasm to lysosome is suppressed by DNM2 inhibition; AA deprivation appears to be main cause of mTORC1 inactivation via DNM2 inhibition. (RHEB = Ras homolog enriched in brain; DNM2 = dynamin II; RRAG = Ras-related GTP binding protein) PMID: 28808055
- We demonstrate that the dynamin2 effect on T cell adhesion does not involve integrin affinity regulation but instead relies on its ability to modulate integrin valency. PMID: 28273099
- Thus, dynamin2 contributes to bladder cancer invasion by controlling invadopodia formation in bladder cancer cells and may prove a valuable therapeutic target. PMID: 27771248
- Study showed that dynamin 2 and cortactin participate in the formation of F-actin bundles, which stabilize filopodia in migrating cancer cells. PMID: 27572123
- Data demonstrate that dynamin II is required for the E2:ERalpha signaling of physiological functions and uncovers a role for autophagy in the control of ERalpha turnover. PMID: 27009360
- This study reported the clinical characteristics, molecular diagnosis strategy, and DNM2 gene mutations of four Chinese Han patients with centronuclear myopathy. PMID: 26908122
- Results demonstrate that overexpression of human DNM2 mRNAs, containing different disease-related mutations, cause a continuum of pathological features in zebrafish similarly to what observed in human centronuclear myopathies and neuropathies. PMID: 26842864
- uncover a link between the dynamin 2 function and JNK signaling which leads to AP-1 induction PMID: 26475677
- results provide evidence for a novel Arf6 activation mechanism by Dyn2 through EFA6B and EFA6D in CME in a manner dependent upon the GTPase activity of Dyn2 PMID: 26503427
- We conclude that DNM2 is a novel negative regulator of NO production in mouse collecting ducts. PMID: 26791826
- In marked contrast to invadopodia, this degradation does not require the action of Src kinase, Cdc42 or Dyn2. Rather, inhibition of Dyn2 causes a marked upregulation of stromal matrix degradation PMID: 25982272
- exome sequencing family study reveals that autosomal dominant spastic paraplegia linked to a GTPase-effector domain mutation of dynamin 2 PMID: 26517984
- This study demonistrated that DNM2 mutation releated to Centronuclear myopathy. PMID: 25957634
- Dynamin 2 deletion in beta cells caused glucose intolerance and reduced the 2d phase of glucose-stimulated insulin secretion. Dynamin 2 regulates insulin secretory capacity and dynamics in vivo via a mechanism depending on CME and F-actin remodeling. PMID: 26413867
- this study described for the first time the clinical, pathological and genetic features of DNM2-related CNM in Chinese patients. PMID: 25501959
- Data indicate that dynamin 2 (Dyn2) interacts with Connexin 26 (Cx26) in a yeast two-hybrid screen, and co-localizes in mammalian cells. PMID: 25263585
- Dynamin 2 is recruited as dimers during endocytic membrane scission at the neck of a clathrin-coated pit. PMID: 25232009
- Thus dynamin that was recently found to control late stages of myoblast fusion also controls late stages of macrophage fusion, revealing an intriguing conserved mechanistic motif shared by diverse cell-cell fusion processes. PMID: 25336256
- FGF21 has a role in promoting endothelial cell angiogenesis through a dynamin-2 and Rab5 dependent pathway PMID: 24848261
- Inhibition of Dyn2 prevents cell invasiveness in androgen-responsive and -refractory PCA models, supporting the potential benefit of Dyn2 to serve as a therapeutic target for advanced prostate cancer . PMID: 24402972
- These results reveal that girdin regulates selective clathrin-mediated endocytosis via a mechanism involving dynamin 2, but not by operating as a cargo-specific adaptor. PMID: 25061227
- Upon overexpression of dynamin-2 mutants or depletion of clathrin heavy chain, flotillins are permanently trapped in endosomes. PMID: 24809731
- dynamin2 recruitment is regulated by actin polymerization PMID: 24891602
- Results indicate that hSNF5 affects both the stability and the activity of DNM2, uncovering an unexpected role of hSNF5 in modulating endocytosis, and open new perspectives in understanding the role of hSNF5 in tumour genesis. PMID: 23851497
- results demonstrate a regulatory relationship between DNM2, miR-199a, and HIF, with implications in cancer metastasis PMID: 24706848
- A mutation associated with centronuclear myopathy enhances the size and stability of dynamin 2 complexes. PMID: 24016602
- These findings provide new evidence for the participation of the autolysosome in hepatocyte lipid droplet metabolism and demonstrate a novel role for dynamin2 in the function and maturation of an autophagic compartment. PMID: 24145164
- Dual role of BAR domain-containing proteins in regulating vesicle release catalyzed by the GTPase, dynamin-2. PMID: 23861397
- We identify dynamin and the EAP-binding alpha-adaptin appendage domain of the AP2 adaptor as switches in a regulated, multistep maturation process and provide direct evidence for a molecular checkpoint in clathrin mediated endocytosis. PMID: 23891661
- The first homozygous mutation in the DNM2 protein p.Phe379Val, in three consanguineous patients with a lethal congenital syndrome, is reported. PMID: 23092955
- Three novel DNM2 mutations in an Italy cohort of centronuclear myopathy patients. PMID: 23394783
- This mutation (D614N) within the DNM2 gene in a large centronuclear myopathy family with a late age of overt clinical manifestation caused profound changes in DNM2 localization and impaired proper organization of myofibers and skeletal muscle function. PMID: 23374900
- New onset strabismus and a history of a myopathy should consider this entity in the differential diagnosis that could be confirmed by a muscle biopsy and mutational analysis. PMID: 22924779
- study provides evidence the large GTPase Dyn2 regulates the small GTPase Rac1 to potentiate invasive migration of pancreatic tumor cells; Dyn2 plays an essential role in regulating Rac1-mediated pancreatic tumor cell migration through modulation of the Rac1 activator Vav1 via a direct interaction PMID: 23537630
- investigation of dynamin 2 expression in cervix of patients with suspected cervical intraepithelial neoplasia; evaluation of dynamin 2 expression as biological marker in diagnosis/staging/grading of cervical intraepithelial neoplasia PMID: 22959143
- Dynamin II function is required for EGF-mediated Stat3 activation but not Erk1/2 phosphorylation PMID: 22574813
- clinicopathological features of DNM2 centronuclear myopathy are rather homogeneous and can be distinguished from the features of non-DNM2 centronuclear myopathy PMID: 22613877
- Caveolin-1 and dynamin-2 are essential for removal of the complement C5b-9 complex via endocytosis. PMID: 22528500
- Defects in membrane trafficking due to DNM2 mutations potentially represent a common pathological mechanism in CNM and CMT. PMID: 22396310
- DNM2 mutations cause autosomal dominant centronuclear myopathy or autosomal dominant (AD) Charcot-Marie-Tooth (CMT) disease; one large Czech family with 15 members affected with an AD CMT phenotype of extraordinary variability is reported. PMID: 22091729
- this study identifies Dyn2 as an effector that mediates PDGFRalpha-SHP-2-induced glioma tumor growth and invasion PMID: 21996738
- tumor cells overexpressing Dyn2 protruded lamellipodia at twice the rate, migrated faster (180%) and farther (2.5-fold greater distance) on glass and through transwell chambers PMID: 21841817
- The alteration of microtubules by dynamin2 depletion reduced the length and the speed of the actin comet. PMID: 22174845
- The mild functional defects are suggestive of differences between CMT and CNM disease-causing dynamin 2 mutants and suggest that a slight impairment in clathrin-mediated pathways may accumulate over time to foster the respective human diseases. PMID: 22096584
- In summary, these results suggested that dynamin 2 might play a role in HIV-1 Env-mediated cell-cell fusion. PMID: 21338326
- The deletion of PRD domain of dynamin 2 resulted in the impairment of both the localization and the abscission of daughter cells. PMID: 21150131
顯示更多
收起更多
-
相關疾病:Myopathy, centronuclear, 1 (CNM1); Lethal congenital contracture syndrome 5 (LCCS5); Charcot-Marie-Tooth disease, dominant, intermediate type, B (CMTDIB); Charcot-Marie-Tooth disease 2M (CMT2M)
-
亞細胞定位:Cytoplasm. Cytoplasm, cytoskeleton. Cell junction. Membrane, clathrin-coated pit. Cell junction, synapse, postsynaptic density. Cell junction, synapse. Midbody. Cell projection, phagocytic cup. Cytoplasmic vesicle, phagosome membrane; Peripheral membrane protein.
-
蛋白家族:TRAFAC class dynamin-like GTPase superfamily, Dynamin/Fzo/YdjA family
-
組織特異性:Ubiquitously expressed.
-
數據庫鏈接:
Most popular with customers
-
-
YWHAB Recombinant Monoclonal Antibody
Applications: ELISA, WB, IHC, IF, FC
Species Reactivity: Human, Mouse, Rat
-
Phospho-YAP1 (S127) Recombinant Monoclonal Antibody
Applications: ELISA, WB, IHC
Species Reactivity: Human
-
-
-
-
-















