DNASE1 Antibody
-
中文名稱:DNASE1兔多克隆抗體
-
貨號:CSB-PA007049LA01HU
-
規格:¥440
-
圖片:
-
Western Blot
Positive WB detected in: Mouse brain tissue
All lanes: DNASE1 antibody at 3μg/ml
Secondary
Goat polyclonal to rabbit IgG at 1/50000 dilution
Predicted band size: 32, 20 kDa
Observed band size: 32 kDa -
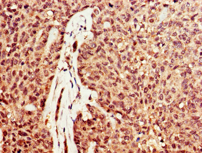
IHC image of CSB-PA007049LA01HU diluted at 1:600 and staining in paraffin-embedded human ovarian cancer performed on a Leica BondTM system. After dewaxing and hydration, antigen retrieval was mediated by high pressure in a citrate buffer (pH 6.0). Section was blocked with 10% normal goat serum 30min at RT. Then primary antibody (1% BSA) was incubated at 4°C overnight. The primary is detected by a biotinylated secondary antibody and visualized using an HRP conjugated SP system.
-
-
其他:
產品詳情
-
產品描述:
DNASE1 polyclonal antibody is produced by immunizing rabbits with a recombinant protein corresponding to the amino acids 78-231 of human DNASE1 protein. This DNASE1 antibody is purified from serum using protein G affinity chromatography. Its purity is 95%+. It is supplied as a liquid solution in a buffer containing stabilizers. The specificity and sensitivity of this DNASE1 polyclonal antibody for human and mouse DNASE1 protein have been verified in ELISA, WB, and IHC applications.
DNASE1 protein is an endonuclease enzyme that degrades extracellular DNA released from dying cells or from microbial sources. This is an important defense mechanism against infections and inflammation. DNASE1 has also been implicated in several other biological processes, including the removal of apoptotic cells, tissue remodeling, and the regulation of cell growth and differentiation.
-
產品名稱:Rabbit anti-Homo sapiens (Human) DNASE1 Polyclonal antibody
-
Uniprot No.:
-
基因名:DNASE1
-
別名:Deoxyribonuclease 1 antibody; Deoxyribonuclease I antibody; Deoxyribonuclease-1 antibody; Deoxyribonuclease1 antibody; DeoxyribonucleaseI antibody; DNAS1_HUMAN antibody; DNASE 1 antibody; DNase I antibody; DNase I lysosomal antibody; DNASE1 antibody; DNaseI antibody; DNL 1 antibody; DNL1 antibody; Dornase alfa antibody; DRNI antibody; FLJ38093 antibody; Human urine deoxyribonuclease I antibody
-
宿主:Rabbit
-
反應種屬:Human, Mouse
-
免疫原:Recombinant Human Deoxyribonuclease-1 protein (78-231AA)
-
免疫原種屬:Homo sapiens (Human)
-
標記方式:Non-conjugated
本頁面中的產品,DNASE1 Antibody (CSB-PA007049LA01HU),的標記方式是Non-conjugated。對于DNASE1 Antibody,我們還提供其他標記。見下表:
-
克隆類型:Polyclonal
-
抗體亞型:IgG
-
純化方式:>95%, Protein G purified
-
濃度:It differs from different batches. Please contact us to confirm it.
-
保存緩沖液:Preservative: 0.03% Proclin 300
Constituents: 50% Glycerol, 0.01M PBS, pH 7.4 -
產品提供形式:Liquid
-
應用范圍:ELISA, WB, IHC
-
推薦稀釋比:
Application Recommended Dilution WB 1:500-1:5000 IHC 1:500-1:1000 -
Protocols:
-
儲存條件:Upon receipt, store at -20°C or -80°C. Avoid repeated freeze.
-
貨期:Basically, we can dispatch the products out in 1-3 working days after receiving your orders. Delivery time maybe differs from different purchasing way or location, please kindly consult your local distributors for specific delivery time.
-
用途:For Research Use Only. Not for use in diagnostic or therapeutic procedures.
相關產品
靶點詳情
-
功能:Serum endocuclease secreted into body fluids by a wide variety of exocrine and endocrine organs. Expressed by non-hematopoietic tissues and preferentially cleaves protein-free DNA. Among other functions, seems to be involved in cell death by apoptosis. Binds specifically to G-actin and blocks actin polymerization. Together with DNASE1L3, plays a key role in degrading neutrophil extracellular traps (NETs). NETs are mainly composed of DNA fibers and are released by neutrophils to bind pathogens during inflammation. Degradation of intravascular NETs by DNASE1 and DNASE1L3 is required to prevent formation of clots that obstruct blood vessels and cause organ damage following inflammation.
-
基因功能參考文獻:
- Genetic variants in DNase I hypersensitive sites play an important role in carcinogenesis. two novel single nucleotide polymorphisms rs12309362 (odds ratio = 0.64, P = 5.61 x 10(-6) ) and rs9970827 (odds ratio = 0.73, P = 7.23 x 10(-6) ) significantly associated with decreased risk of HCC. PMID: 28321907
- Serum DNase1-activity is significantly decreased in ALD patients, indicating its potential implication in their pathogenesis. Furthermore, DNase1-activity could be used as a new surrogate biomarker for predicting response to AIH treatment. PMID: 28263100
- Although no significant association between Q222R polymorphism in DNAse I gene and the risk of systemic lupus erythematosus was found, the presence of the A allele was associated with an increased risk for the development of nephropathy PMID: 27606473
- DNase I activity was observed to be increased in type 2 diabetes, and high glucose combined with increased DNase I is suggested to aggravate beta-cell apoptosis. PMID: 27082840
- Single nucleotide polymorphisms producing a loss-of-function variant of the enzymes in DNASE1, DNASE1L3, and DNASE2, possibly serving as a genetic risk factor for autoimmune diseases, were confirmed. PMID: 27116004
- in Iranians the 3/6 genotype frequency was significantly higher in systemic lupus erythematosus patients than in healthy controls which implies the possible role of this genotype in SLE susceptibility; the 3/4 and 4/6 genotype frequencies were remarkably high in the control group which indicated the protective role of these genotypes against the disease PMID: 26547219
- TNF-alpha amplifies DNaseI expression in renal tubular cells while IL-1beta promotes nuclear DNaseI translocation in inactive form in lupus nephritis. PMID: 26065428
- HumDN1 polymorphisms were examined in blood of 11 worldwide populations by polymerase chain reaction. 15 genotypes were found leading to the conclusion that HumDN1 variable no. tandem repeats are ethnic group specific. PMID: 25771153
- Val66Met in the BDNF gene and two SNPs, Fokl and Apal, in the VDR gene may potentially be associated with DED. Additionally, the association between DED and Val66Met may vary by depression status. PMID: 26393465
- In conclusion, elevated DNase I in diabetes may be related to pancreatic injury and could be one of the causes that induce diabetes. PMID: 24676545
- Our results indicate that increased DNASE1 expression is common to both SLE and RA, while DNase1 reduction activity is specific to SLE. PMID: 24564745
- Characterization of the nonsynonymous single-nucleotide polymorphism variants of human DNASE1. PMID: 24819173
- DNase I activity in systemic lupus erythematosus patients was lower than in healthy controls PMID: 23183758
- DNAse I Q222R polymorphism is a potential genetic risk factor for systemic lupus erythematosus in South Indian Tamils. In addition, the mutant allele confers a significant risk for lupus nephritis. PMID: 23963431
- Single nucleotide polymorphisms in the DNASE1 is associated with autoimmune diseases. PMID: 24206041
- a downregulation of the DNASE1 mRNA expression in patients with autoimmune thyroid disease. This might result in degrading less DNA from dying cells, thereby promoting the development of thyroid autoimmunity. PMID: 23225239
- Early mesangial nephritis initiates a cascade of inflammatory signals that lead to up-regulation of Trap1 and a consequent down-regulation of renal DNaseI by transcriptional interference. PMID: 23273922
- The novel structure of rhDNase I presented herein reveals the precise location and coordination sphere of the Mg2+ ion bound at subsite IVb along with the orientation of key side chains in the active site. PMID: 23215638
- silencing of renal DNaseI gene expression initiates a cascade of inflammatory signals including activation of Toll like receptors and Clec4e, leading to progression of both murine and human lupus nephritis PMID: 22479529
- POU1F1 binds to multiple sites at deoxyribonuclease I hypersensitive site II. PMID: 22094313
- Modified DNase1 can efficiently eliminate apoptosis-resistant cancer cells through apoptosis. PMID: 21233855
- Show no particular variant in exon2 sequence of DNASE1 gene among Tunisian patients affected with systemic lupus erythematosus, rheumatoid arthritis and Sjogren syndrome and healthy subjects. PMID: 19360410
- The genetic aspects of DNASE1 with regard to all the SNPs in wide-ranging ethnic groups could be first demonstrated. Further, there was no correlation of all the polymorphic SNPs other than nonsynonymous ones with serum DNase I activity levels. PMID: 21235399
- In thymocyte-selected CD4 T cells (T-CD4 T cells) DNase I hypersensitive sites at the 3'-enhancer region of interleukin-4 play an essential role during the induction of IL-4 expression. PMID: 21282512
- Low DNase1 activity is associated to the active phase of type III or IV lupus erythromatosus nephropathy. PMID: 19844716
- Reduction in renal Dnase1 expression and activity is limited to mice and SLE patients with signs of membranoproliferative nephritis, and may be a critical event in the development of severe forms of lupus nephritis. PMID: 20856893
- The objectives of this study were to clarify genetic and biochemical aspects of 12 non-synonymous SNPs in the human gene (DNASE1), potentially giving rise to an alteration in the in vivo DNase I activity levels. PMID: 20417303
- show that serum endonuclease DNase1 is essential for disassembly of neutrophil extracellular traps. PMID: 20439745
- A significant association of HumDN1 Variable Number of Tandem Repeats polymorphism in DNASE1 gene with systemic lupus erythematosus, is reported. PMID: 19863681
- results show that the chief cells of the stomach produce DNase I PMID: 12005024
- Deficiencies in this gene may contribute to SLE; gene therapy might be possible (REVIEW) PMID: 12708782
- The A/T mutation of the DNASE1 gene is absent in both Tunisian systemic lupus erythematosus and in controls. PMID: 14613299
- The studies of immunological properties and the tissue-distribution patterns of DNase I indicated that the canine enzyme is more closely related to the human DNase I than to other mammalian DNases I PMID: 14688237
- serum Dnase1 in cooperation with the plasminogen system guarantees a fast and effective breakdown of chromatin during necrosis by the combined cleavage of DNA as well as of DNA binding proteins PMID: 15188364
- Results describe chromatin disposal during necrosis and the involvement of Deoxyribonuclease 1 in this process with respect to its possible role in the prevention of anti-nuclear auto-immunity. PMID: 16352456
- human DNASE1 expression is regulated through the use of alternative promoter and alternative splicing PMID: 16771825
- This study is the first to reveal an extremely high frequency of DNASE1*1 among African populations. Caucasians and Asians had a lower frequency of DNASE1*1 than the African groups. PMID: 17405189
- Compared to other ethnic populations, Han Chinese had its own unique DNase I gene distribution characteristics PMID: 17588132
- Han Chinese myocardial infarction (MI) patients, but deoxyribonuclease I gene polymorphisms are not associated with susceptibility to MI in Han Chinese PMID: 18311594
- In patients with autoimmune thyroid disease (AITD), a novel mutation (1218G>A, exon 5) and multiple polymorphisms were identified in the DNASE1 gene. PMID: 19022625
- DNASE1 polymorphism appears to affect the specific activity, heat sensitivity, and optimum pH of the DNase I enzyme. PMID: 19055475
- human recombinant DNase I up-regulates cell surface Fas expression and induces increased susceptibility of T cells to Fas-mediated apoptosis PMID: 19181929
- DNase1 (deoxyribonuclease I) activity was significantly lower in patients with Systemic lupus erythematosus than in controls. PMID: 19318394
- deficiency is linked to systemic lupus erythematosus PMID: 19362700
顯示更多
收起更多
-
相關疾?。?/div>Systemic lupus erythematosus (SLE)亞細胞定位:Secreted. Zymogen granule. Nucleus envelope. Note=Secretory protein, stored in zymogen granules and found in the nuclear envelope.蛋白家族:DNase I family組織特異性:Principally in tissues of the digestive system. Highest levels found in urine, but also relatively abundant in semen and saliva.數據庫鏈接:
Most popular with customers
-
-
YWHAB Recombinant Monoclonal Antibody
Applications: ELISA, WB, IHC, IF, FC
Species Reactivity: Human, Mouse, Rat
-
Phospho-YAP1 (S127) Recombinant Monoclonal Antibody
Applications: ELISA, WB, IHC
Species Reactivity: Human
-
-
-
-
-
VDAC1 Recombinant Monoclonal Antibody
Applications: ELISA, WB, IHC
Species Reactivity: Human, Mouse, Rat















