DNAJC7 Antibody
-
中文名稱:DNAJC7兔多克隆抗體
-
貨號:CSB-PA747689
-
規格:¥1100
-
圖片:
-
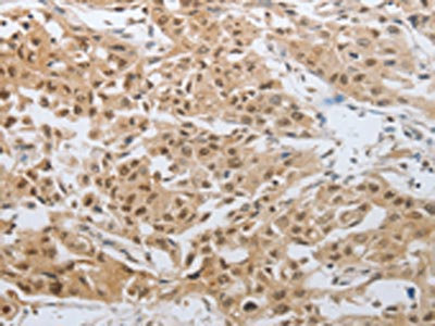
The image on the left is immunohistochemistry of paraffin-embedded Human colon cancer tissue using CSB-PA747689(DNAJC7 Antibody) at dilution 1/25, on the right is treated with fusion protein. (Original magnification: ×200)
-
The image on the left is immunohistochemistry of paraffin-embedded Human lung cancer tissue using CSB-PA747689(DNAJC7 Antibody) at dilution 1/25, on the right is treated with fusion protein. (Original magnification: ×200)
-
Gel: 10%SDS-PAGE, Lysate: 40 μg, Lane: Human seminoma tissue, Primary antibody: CSB-PA747689(DNAJC7 Antibody) at dilution 1/400, Secondary antibody: Goat anti rabbit IgG at 1/8000 dilution, Exposure time: 20 seconds
-
-
其他:
產品詳情
-
Uniprot No.:
-
基因名:DNAJC7
-
別名:DJ11 antibody; DJC7 antibody; DnaJ (Hsp40) homolog subfamily C member 7 antibody; DnaJ homolog subfamily C member 7 antibody; Dnajc7 antibody; DNJC7_HUMAN antibody; Tetratricopeptide repeat domain 2 antibody; Tetratricopeptide repeat protein 2 antibody; TPR repeat protein 2 antibody; TPR2 antibody; TTC2 antibody
-
宿主:Rabbit
-
反應種屬:Human,Mouse
-
免疫原:Fusion protein of Human DNAJC7
-
免疫原種屬:Homo sapiens (Human)
-
標記方式:Non-conjugated
-
抗體亞型:IgG
-
純化方式:Antigen affinity purification
-
濃度:It differs from different batches. Please contact us to confirm it.
-
保存緩沖液:-20°C, pH7.4 PBS, 0.05% NaN3, 40% Glycerol
-
產品提供形式:Liquid
-
應用范圍:ELISA,WB,IHC
-
推薦稀釋比:
Application Recommended Dilution ELISA 1:1000-1:5000 WB 1:500-1:2000 IHC 1:25-1:100 -
Protocols:
-
儲存條件:Upon receipt, store at -20°C or -80°C. Avoid repeated freeze.
-
貨期:Basically, we can dispatch the products out in 1-3 working days after receiving your orders. Delivery time maybe differs from different purchasing way or location, please kindly consult your local distributors for specific delivery time.
-
用途:For Research Use Only. Not for use in diagnostic or therapeutic procedures.
相關產品
靶點詳情
-
功能:Acts as co-chaperone regulating the molecular chaperones HSP70 and HSP90 in folding of steroid receptors, such as the glucocorticoid receptor and the progesterone receptor. Proposed to act as a recycling chaperone by facilitating the return of chaperone substrates to early stages of chaperoning if further folding is required. In vitro, induces ATP-independent dissociation of HSP90 but not of HSP70 from the chaperone-substrate complexes. Recruits NR1I3 to the cytoplasm.
-
基因功能參考文獻:
- The data from the current study for the first time demonstrated increased serum polyglutamylated DNAJC7 as a potential biomarker for renal cell carcinoma early detection PMID: 26993597
- ubiquitin-proteasomal regulation of CCRP and HSP70 are important contributors to the regulation of cytoplasmic CAR levels, and hence the ability of CAR to respond to PB or PB-like inducers PMID: 24789201
- TPR2 exhibited strong interaction with glucocorticoid receptor and progesterone receptors. PMID: 20661446
- TPR2 combines two TPR domains and a J domain to regulate the Hsp70/Hsp90 chaperone system. PMID: 12853476
- Data show that Tpr2 associates with Hsp90 and Hsp70 complexes, promoted the accumulation of Hsp70 in PR heterocomplexes in the presence of Hsp90. Thus, Tpr2 has the potential to regulate PR chaperoning. PMID: 18620420
顯示更多
收起更多
-
亞細胞定位:Cytoplasm. Nucleus. Cytoplasm, cytoskeleton.
-
數據庫鏈接:
Most popular with customers
-
-
YWHAB Recombinant Monoclonal Antibody
Applications: ELISA, WB, IHC, IF, FC
Species Reactivity: Human, Mouse, Rat
-
Phospho-YAP1 (S127) Recombinant Monoclonal Antibody
Applications: ELISA, WB, IHC
Species Reactivity: Human
-
-
-
-
-















