DNAJC10 Antibody
-
中文名稱:DNAJC10兔多克隆抗體
-
貨號:CSB-PA048817
-
規格:¥1100
-
圖片:
-
The image on the left is immunohistochemistry of paraffin-embedded Human ovarian cancer tissue using CSB-PA048817(DNAJC10 Antibody) at dilution 1/20, on the right is treated with fusion protein. (Original magnification: ×200)
-
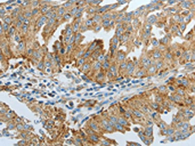
The image on the left is immunohistochemistry of paraffin-embedded Human thyroid cancer tissue using CSB-PA048817(DNAJC10 Antibody) at dilution 1/20, on the right is treated with fusion protein. (Original magnification: ×200)
-
-
其他:
產品詳情
-
Uniprot No.:
-
基因名:
-
別名:DNAJC10 antibody; ERDJ5 antibody; UNQ495/PRO1012DnaJ homolog subfamily C member 10 antibody; EC 1.8.4.- antibody; Endoplasmic reticulum DNA J domain-containing protein 5 antibody; ER-resident protein ERdj5 antibody; ERdj5 antibody; Macrothioredoxin antibody; MTHr antibody
-
宿主:Rabbit
-
反應種屬:Human
-
免疫原:Fusion protein of Human DNAJC10
-
免疫原種屬:Homo sapiens (Human)
-
標記方式:Non-conjugated
-
抗體亞型:IgG
-
純化方式:Antigen affinity purification
-
濃度:It differs from different batches. Please contact us to confirm it.
-
保存緩沖液:-20°C, pH7.4 PBS, 0.05% NaN3, 40% Glycerol
-
產品提供形式:Liquid
-
應用范圍:ELISA,IHC
-
推薦稀釋比:
Application Recommended Dilution ELISA 1:1000-1:5000 IHC 1:25-1:100 -
Protocols:
-
儲存條件:Upon receipt, store at -20°C or -80°C. Avoid repeated freeze.
-
貨期:Basically, we can dispatch the products out in 1-3 working days after receiving your orders. Delivery time maybe differs from different purchasing way or location, please kindly consult your local distributors for specific delivery time.
-
用途:For Research Use Only. Not for use in diagnostic or therapeutic procedures.
相關產品
靶點詳情
-
功能:Endoplasmic reticulum disulfide reductase involved both in the correct folding of proteins and degradation of misfolded proteins. Required for efficient folding of proteins in the endoplasmic reticulum by catalyzing the removal of non-native disulfide bonds formed during the folding of proteins, such as LDLR. Also involved in endoplasmic reticulum-associated degradation (ERAD) by reducing incorrect disulfide bonds in misfolded glycoproteins recognized by EDEM1. Interaction with HSPA5 is required its activity, not for the disulfide reductase activity, but to facilitate the release of DNAJC10 from its substrate. Promotes apoptotic signaling pathway in response to endoplasmic reticulum stress.
-
基因功能參考文獻:
- Role of ERdj5 conformational dynamics in endoplasmic reticulum associated degradation PMID: 28479060
- ERdj5 is a member of the proteostasis network that regulates rod opsin biogenesis and supports a role for disulfide bond formation/reduction in rod opsin biogenesis and disease. PMID: 25055872
- ERdj5, by binding to Sel1L, triggers BiP-Cholera toxin interaction proximal to the Hrd1 complex; postulate this scenario enables the Hrd1-associated retrotranslocation machinery to capture the toxin efficiently once the toxin is released from BiP PMID: 23363602
- ERdj5 acts as the endoplasmic reticulum reductase, both preparing misfolded proteins for degradation and catalyzing the folding of proteins that form obligatory non-native disulfides. PMID: 23769672
- ERdj5 is a ubiquitous protein localized in the ER and is particularly abundant in secretory cells. Its transcription is induced during ER stress, suggesting potential roles for ERdj5 in protein folding and translocation across the ER membrane. PMID: 12411443
- JPDI may have roles in folding of some proteins in the ER, chaperoning by BiP and formation of proper disulfide bonds PMID: 12446677
- The organization of the functional motifs of hMTHr suggests that the protein might be a member of a molecular chaperone family. PMID: 14587667
- ERdj4 and ERdj5 promote turnover of misfolded SP-C and this activity is dependent on their ability to stimulate BiP ATPase activity. PMID: 18400946
- study found that an endoplasmic reticulum (ER) protein ERdj5 had a reductase activity, cleaved the disulfide bonds of misfolded proteins & accelerated ER-associated degradation through its physical and functional associations with EDEM & BiP PMID: 18653895
- ERdj5 decreases neuroblastoma cell survival by down-regulating the UPR, raising the possibility that this protein could be a target for anti-tumor approaches. PMID: 19122239
顯示更多
收起更多
-
亞細胞定位:Endoplasmic reticulum lumen.
-
數據庫鏈接:
Most popular with customers
-
-
YWHAB Recombinant Monoclonal Antibody
Applications: ELISA, WB, IHC, IF, FC
Species Reactivity: Human, Mouse, Rat
-
Phospho-YAP1 (S127) Recombinant Monoclonal Antibody
Applications: ELISA, WB, IHC
Species Reactivity: Human
-
-
-
-
-















