DNAJB2 Antibody
-
中文名稱:DNAJB2兔多克隆抗體
-
貨號:CSB-PA007008HA01HU
-
規格:¥440
-
圖片:
-
Western blot
All lanes: DNAJB2 antibody at 10µg/ml + A431 whole cell lysate
Secondary
Goat polyclonal to rabbit IgG at 1/10000 dilution
Predicted band size: 36, 31 kDa
Observed band size: 36 kDa -
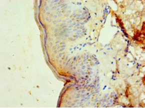
Immunohistochemistry of paraffin-embedded human skin tissue using CSB-PA007008HA01HU at dilution of 1:100
-
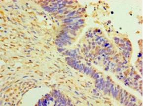
Immunohistochemistry of paraffin-embedded human ovarian cancer using CSB-PA007008HA01HU at dilution of 1:100
-
-
其他:
產品詳情
-
產品名稱:Rabbit anti-Homo sapiens (Human) DNAJB2 Polyclonal antibody
-
Uniprot No.:
-
基因名:
-
別名:DNAJB2 antibody; HSJ1 antibody; HSPF3DnaJ homolog subfamily B member 2 antibody; Heat shock 40 kDa protein 3 antibody; Heat shock protein J1 antibody; HSJ-1 antibody
-
宿主:Rabbit
-
反應種屬:Human
-
免疫原:Recombinant Human DnaJ homolog subfamily B member 2 protein (2-324AA)
-
免疫原種屬:Homo sapiens (Human)
-
標記方式:Non-conjugated
本頁面中的產品,DNAJB2 Antibody (CSB-PA007008HA01HU),的標記方式是Non-conjugated。對于DNAJB2 Antibody,我們還提供其他標記。見下表:
-
克隆類型:Polyclonal
-
抗體亞型:IgG
-
純化方式:>95%, Protein G purified
-
濃度:It differs from different batches. Please contact us to confirm it.
-
保存緩沖液:Preservative: 0.03% Proclin 300
Constituents: 50% Glycerol, 0.01M PBS, PH 7.4 -
產品提供形式:Liquid
-
應用范圍:ELISA, WB, IHC
-
推薦稀釋比:
Application Recommended Dilution WB 1:500-1:2000 IHC 1:20-1:200 -
Protocols:
-
儲存條件:Upon receipt, store at -20°C or -80°C. Avoid repeated freeze.
-
貨期:Basically, we can dispatch the products out in 1-3 working days after receiving your orders. Delivery time maybe differs from different purchasing way or location, please kindly consult your local distributors for specific delivery time.
-
用途:For Research Use Only. Not for use in diagnostic or therapeutic procedures.
相關產品
靶點詳情
-
功能:Functions as a co-chaperone, regulating the substrate binding and activating the ATPase activity of chaperones of the HSP70/heat shock protein 70 family. In parallel, also contributes to the ubiquitin-dependent proteasomal degradation of misfolded proteins. Thereby, may regulate the aggregation and promote the functional recovery of misfolded proteins like HTT, MC4R, PRKN, RHO and SOD1 and be crucial for many biological processes. Isoform 1 which is localized to the endoplasmic reticulum membranes may specifically function in ER-associated protein degradation of misfolded proteins.
-
基因功能參考文獻:
- Study describes the identi fi cation of the fi rst deletion reported at the DNAJB2 locus, further expanding its phenotypic and genotypic spectrums as well as its disease-associated mechanisms with spinal muscular atrophy and parkinsonism. PMID: 27449489
- Our results disclose a novel interplay between ubiquitin- and phosphorylation-dependent signalling, and represent the first report of a regulatory mechanism for UIM-dependent function. They also suggest that CK2 inhibitors could release the full neuroprotective potential of HSJ1, and deserve future interest as therapeutic strategies for neurodegenerative disease. PMID: 28031292
- The results of this study confirm that HSJ1 mutations are a rare but detectable cause of autosomal recessive dHMN and CMT2. PMID: 25274842
- HSJ1a acts on mutant SOD1 through a combination of chaperone, co-chaperone and pro-ubiquitylation activity. PMID: 24023695
- a mutation causing a loss-of-function of HSJ1 is linked to a pure lower motor neuron disease, strongly suggesting that HSJ1 also plays an important and specific role in motor neurons. PMID: 22522442
- Data show that DNAJB2 is expressed in skeletal muscle at the neuromuscular junction of normal fibers, in the cytoplasm and membrane of regenerating fibers, and in protein aggregates and vacuoles in protein aggregate myopathies. PMID: 20395441
- data provide evidence that cytoplasmic chaperones HSJ1a and HSJ1b when targeted to the endoplasmic reticulum can influence the folding and processing of rhodopsin PMID: 12754272
- HSJ1 is a neuronal shuttling factor for the sorting of chaperone clients to the proteasome. PMID: 15936278
- Cystamine and cysteamine increase brain levels of BDNF in Huntington disease via HSJ1b and transglutaminase PMID: 16604191
- Damaging exercise induced the expression of capZalpha, MCIP1, CARP1, DNAJB2, c-myc, and junD, each of which are likely involved in skeletal muscle growth, remodeling, and stress management. PMID: 18321953
顯示更多
收起更多
-
相關疾病:Distal spinal muscular atrophy, autosomal recessive, 5 (DSMA5)
-
亞細胞定位:[Isoform 2]: Cytoplasm. Nucleus.; [Isoform 1]: Endoplasmic reticulum membrane; Lipid-anchor; Cytoplasmic side.
-
組織特異性:More abundantly expressed in neocortex, cerebellum, spinal cord and retina where it is expressed by neuronal cells (at protein level). Detected at much lower level in non-neuronal tissues including kidney, lung, heart, skeletal muscle, spleen and testis (
-
數據庫鏈接:
Most popular with customers
-
Phospho-YAP1 (S127) Recombinant Monoclonal Antibody
Applications: ELISA, WB, IHC
Species Reactivity: Human
-
-
-
-
-
-
-















