DMRT3 Antibody
-
中文名稱:DMRT3兔多克隆抗體
-
貨號:CSB-PA178912
-
規格:¥1100
-
圖片:
-
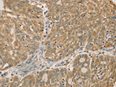
The image on the left is immunohistochemistry of paraffin-embedded Human ovarian cancer tissue using CSB-PA178912(DMRT3 Antibody) at dilution 1/50, on the right is treated with fusion protein. (Original magnification: ×200)
-
The image on the left is immunohistochemistry of paraffin-embedded Human breast cancer tissue using CSB-PA178912(DMRT3 Antibody) at dilution 1/50, on the right is treated with fusion protein. (Original magnification: ×200)
-
Gel: 8%SDS-PAGE, Lysate: 40 μg, Lane: Human testis tissue, Primary antibody: CSB-PA178912(DMRT3 Antibody) at dilution 1/550, Secondary antibody: Goat anti rabbit IgG at 1/8000 dilution, Exposure time: 20 seconds
-
-
其他:
產品詳情
-
Uniprot No.:
-
基因名:DMRT3
-
別名:DMRT3 antibody; DMRTA3Doublesex- and mab-3-related transcription factor 3 antibody
-
宿主:Rabbit
-
反應種屬:Human,Mouse,Rat
-
免疫原:Fusion protein of Human DMRT3
-
免疫原種屬:Homo sapiens (Human)
-
標記方式:Non-conjugated
-
抗體亞型:IgG
-
純化方式:Antigen affinity purification
-
濃度:It differs from different batches. Please contact us to confirm it.
-
保存緩沖液:-20°C, pH7.4 PBS, 0.05% NaN3, 40% Glycerol
-
產品提供形式:Liquid
-
應用范圍:ELISA,WB,IHC
-
推薦稀釋比:
Application Recommended Dilution ELISA 1:2000-1:5000 WB 1:500-1:2000 IHC 1:100-1:300 -
Protocols:
-
儲存條件:Upon receipt, store at -20°C or -80°C. Avoid repeated freeze.
-
貨期:Basically, we can dispatch the products out in 1-3 working days after receiving your orders. Delivery time maybe differs from different purchasing way or location, please kindly consult your local distributors for specific delivery time.
-
用途:For Research Use Only. Not for use in diagnostic or therapeutic procedures.
相關產品
靶點詳情
-
功能:Probable transcription factor that plays a role in configuring the spinal circuits controlling stride in vertebrates. Involved in neuronal specification within specific subdivision of spinal cord neurons and in the development of a coordinated locomotor network controlling limb movements. May regulate transcription during sexual development.
-
基因功能參考文獻:
- Thus, the deletion of the cis-regulatory element for DMRT3 in humans may cause impaired development of the forebrain and gait abnormalities, resulting in spastic CP. In conclusion, this study provides new mechanistic insights into the genetic basis of CP. PMID: 29305858
- Chromosome 9p loss is the hallmark of squamous cell carcinoma, and DMRT1, DMRT3 and DOCK8 genes at 9p24.3 might be of interest for the study of the pathophysiology of SCC as potential targets for therapeutic measures. PMID: 20596660
-
亞細胞定位:Nucleus.
-
蛋白家族:DMRT family
-
組織特異性:Expressed in testis.
-
數據庫鏈接:
Most popular with customers
-
-
YWHAB Recombinant Monoclonal Antibody
Applications: ELISA, WB, IHC, IF, FC
Species Reactivity: Human, Mouse, Rat
-
Phospho-YAP1 (S127) Recombinant Monoclonal Antibody
Applications: ELISA, WB, IHC
Species Reactivity: Human
-
-
-
-
-















