DIXDC1 Antibody
-
中文名稱:DIXDC1兔多克隆抗體
-
貨號:CSB-PA621878LA01HU
-
規格:¥440
-
圖片:
-
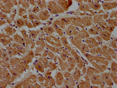
IHC image of CSB-PA621878LA01HU diluted at 1:100 and staining in paraffin-embedded human heart tissue performed on a Leica BondTM system. After dewaxing and hydration, antigen retrieval was mediated by high pressure in a citrate buffer (pH 6.0). Section was blocked with 10% normal goat serum 30min at RT. Then primary antibody (1% BSA) was incubated at 4°C overnight. The primary is detected by a biotinylated secondary antibody and visualized using an HRP conjugated SP system.
-
-
其他:
產品詳情
-
產品名稱:Rabbit anti-Homo sapiens (Human) DIXDC1 Polyclonal antibody
-
Uniprot No.:
-
基因名:DIXDC1
-
別名:CCD1 antibody; Ccd1Aalpha1L antibody; Ccd1Abeta1L antibody; Ccd1BalphaL antibody; Ccd1BbetaL antibody; Ccd1CL antibody; Coiled coil DIX1 antibody; Coiled coil protein DIX1 antibody; Coiled-coil protein DIX1 antibody; Coiled-coil-DIX1 antibody; DIX domain containing 1 antibody; DIX domain containing protein 1 antibody; DIX domain-containing protein 1 antibody; DIXC1_HUMAN antibody; DIXDC1 antibody; Dixin antibody; KIAA1735 antibody
-
宿主:Rabbit
-
反應種屬:Human
-
免疫原:Recombinant Human Dixin protein (70-333AA)
-
免疫原種屬:Homo sapiens (Human)
-
標記方式:Non-conjugated
本頁面中的產品,DIXDC1 Antibody (CSB-PA621878LA01HU),的標記方式是Non-conjugated。對于DIXDC1 Antibody,我們還提供其他標記。見下表:
-
克隆類型:Polyclonal
-
抗體亞型:IgG
-
純化方式:Antigen Affinity Purified
-
濃度:It differs from different batches. Please contact us to confirm it.
-
保存緩沖液:Preservative: 0.03% Proclin 300
Constituents: 50% Glycerol, 0.01M PBS, pH 7.4 -
產品提供形式:Liquid
-
應用范圍:ELISA, IHC
-
推薦稀釋比:
Application Recommended Dilution IHC 1:20-1:200 -
Protocols:
-
儲存條件:Upon receipt, store at -20°C or -80°C. Avoid repeated freeze.
-
貨期:Basically, we can dispatch the products out in 1-3 working days after receiving your orders. Delivery time maybe differs from different purchasing way or location, please kindly consult your local distributors for specific delivery time.
-
用途:For Research Use Only. Not for use in diagnostic or therapeutic procedures.
相關產品
靶點詳情
-
功能:Positive effector of the Wnt signaling pathway; activates WNT3A signaling via DVL2. Regulates JNK activation by AXIN1 and DVL2.
-
基因功能參考文獻:
- DIXDC1 silencing inhibited cell proliferation, invasion, and Wnt signaling in retinoblastoma cell lines. DIXDC1 was identified as a target gene of miR-186 PMID: 29264763
- MiR-539 inhibits glioma cell proliferation and invasion by targeting DIXDC1. PMID: 28704799
- DIXDC1 might participate in the development of glioma. PMID: 27817168
- Overexpression of DIXDC1 correlates with enhanced cell growth and poor prognosis in human pancreatic ductal adenocarcinoma. PMID: 27498060
- found that DIXDC1 could promote cell proliferation via modulating cell cycle progression and PI3K/AKT signaling pathway in NHLs PMID: 27701018
- Taken together, our results suggest that DIXDC1 plays an important role in regulating prostate cancer cell proliferation and invasion. Targeting DIXDC1 by miR-1271 may be a promising therapeutic strategy for prostate cancer. PMID: 28153722
- Downregulated expression of DIXDC1 is associated with hepatocellular carcinoma. PMID: 27468723
- DIXDC1 was overexpressed in gastric cancer and correlated with poor prognosis. PMID: 25648220
- DIXDC1 is associated with stage and prognosis in non-small cell lung cancer, and may promote invasion and migration through PI3K-AKT/AP-1-dependent activation of metalloproteinases PMID: 23813858
- DIXDC1 depletion results in upregulation of Snail1 in a FAK-dependent manner, leading to increased cell invasion. MARK1 phosphorylation of DIXDC1 is required for its localization to focal adhesions and ability to suppress metastasis in mice. PMID: 25042806
- Transgenic DIXDC1 might contribute to pathophysiology underlying abnormal behaviors in schizophrenia and other major psychiatric disorders in mice. PMID: 22832659
- a molecular mechanism for Ccd1-mediated Wnt activation in that Ccd1 converts latent polymeric Dvl to a biologically active oligomer(s). PMID: 21189423
- This study reveal that Dixdc1 integrates DISC1 into Wnt-GSK3beta/beta-catenin-dependent and -independent signaling pathways during cortical development and further delineate how DISC1 contributes to neuropsychiatric disorders. PMID: 20624590
- Wnt/beta-catenin pathway activation might upregulate DIXDC1 through a post-translational mechanism by inhibiting the ubiquitin-mediated degradation of the DIXDC1 protein. PMID: 20085589
- KIAA1735 maps to human chromosome 11q23.1 and encodes a novel protein with a myosine-tail homologous domain and C-terminal DIX domain PMID: 12792787
- Ccd1 inhibits Axin-mediated JNK activation by simultaneously adopting two distinct mechanisms, one through conformational changes that disallow MEKK1 binding and the other via direct sequestration of MEKK4. PMID: 15262978
- Thus, our data provide the first evidence that l-DIXDC1 may act as a novel branching component in the Wnt signaling pathway targeting both beta-catenin-TCF complex for gene expression and cytoskeleton for regulating dynamics of actin filaments. PMID: 16814745
- DIXDC1 might play an important role during neurogenesis, overexpression of DIXDC1 in embryonic carcinoma P19 cells promoted neuronal differentiation, and inhibited gliogenesis induced by retinoic acid. PMID: 18629627
- The GFP-tag fused DIXDC1 exogenously expressed co-localize with gamma-tubulin both at interphase and mitotic phase in the centrosomes. PMID: 19375513
- over-expression of DIXDC1 might target p21 and cyclin D1 to promote colon cancer cell proliferation and tumorigenesis at least partially through activation of the PI3K/Akt pathway. PMID: 19572978
- MTHDIX (KIAA1735) protein consists of Myosine-tail homologous (MTH) domain and C-terminal DIX domain. PMID: 12792787
顯示更多
收起更多
-
亞細胞定位:Cell junction, focal adhesion. Cytoplasm, cytoskeleton, stress fiber. Cytoplasm.; [Isoform 2]: Cytoplasm.
-
蛋白家族:DIXDC1 family
-
組織特異性:Ubiquitously expressed with higher expression in cardiac and skeletal muscles.
-
數據庫鏈接:
Most popular with customers
-
-
YWHAB Recombinant Monoclonal Antibody
Applications: ELISA, WB, IHC, IF, FC
Species Reactivity: Human, Mouse, Rat
-
-
-
-
-
-















