DIRAS1 Antibody
-
中文名稱:DIRAS1兔多克隆抗體
-
貨號:CSB-PA196950
-
規格:¥1100
-
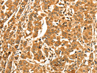
圖片:
-
The image on the left is immunohistochemistry of paraffin-embedded Human breast cancer tissue using CSB-PA196950(DIRAS1 Antibody) at dilution 1/52, on the right is treated with synthetic peptide. (Original magnification: ×200)
-
The image on the left is immunohistochemistry of paraffin-embedded Human esophagus cancer tissue using CSB-PA196950(DIRAS1 Antibody) at dilution 1/52, on the right is treated with synthetic peptide. (Original magnification: ×200)
-
-
其他:
產品詳情
-
Uniprot No.:
-
基因名:DIRAS1
-
別名:DIRAS1 antibody; GBTS1 antibody; RIGGTP-binding protein Di-Ras1 antibody; Distinct subgroup of the Ras family member 1 antibody; Ras-related inhibitor of cell growth antibody; Rig antibody; Small GTP-binding tumor suppressor 1 antibody
-
宿主:Rabbit
-
反應種屬:Human
-
免疫原:Synthetic peptide of Human DIRAS1
-
免疫原種屬:Homo sapiens (Human)
-
標記方式:Non-conjugated
-
抗體亞型:IgG
-
純化方式:Antigen affinity purification
-
濃度:It differs from different batches. Please contact us to confirm it.
-
保存緩沖液:-20°C, pH7.4 PBS, 0.05% NaN3, 40% Glycerol
-
產品提供形式:Liquid
-
應用范圍:ELISA,IHC
-
推薦稀釋比:
Application Recommended Dilution ELISA 1:2000-1:5000 IHC 1:50-1:200 -
Protocols:
-
儲存條件:Upon receipt, store at -20°C or -80°C. Avoid repeated freeze.
-
貨期:Basically, we can dispatch the products out in 1-3 working days after receiving your orders. Delivery time maybe differs from different purchasing way or location, please kindly consult your local distributors for specific delivery time.
-
用途:For Research Use Only. Not for use in diagnostic or therapeutic procedures.
相關產品
靶點詳情
-
功能:Displays low GTPase activity and exists predominantly in the GTP-bound form.
-
基因功能參考文獻:
- This neuronal DIRAS1 gene with a proposed role in cholinergic transmission provides not only a candidate for human myoclonic epilepsy but also insights into the disease etiology, while establishing a spontaneous model for future intervention studies and functional characterization. PMID: 28223533
- Results show that DIRAS1 is frequently methylated in human colorectal cancer and the expression of DIRAS1 is silenced by promoter region methylation. PMID: 28491151
- DiRas1 expression inhibits malignant features of cancers in part by nonproductively binding to SmgGDS and inhibiting the binding of other small GTPases to SmgGDS PMID: 26814130
- DIRAS1 downregulation is associated with esophageal squamous cell carcinoma metastasis. PMID: 23436800
- a novel Ras-related protein and potential neural tumor suppressor (RIG) PMID: 12107278
顯示更多
收起更多
-
亞細胞定位:Cell membrane; Lipid-anchor; Cytoplasmic side.
-
蛋白家族:Small GTPase superfamily, Di-Ras family
-
組織特異性:Highly expressed in heart and brain.
-
數據庫鏈接:
Most popular with customers
-
-
YWHAB Recombinant Monoclonal Antibody
Applications: ELISA, WB, IHC, IF, FC
Species Reactivity: Human, Mouse, Rat
-
Phospho-YAP1 (S127) Recombinant Monoclonal Antibody
Applications: ELISA, WB, IHC
Species Reactivity: Human
-
-
-
-
-















