DHX34 Antibody
-
中文名稱:DHX34兔多克隆抗體
-
貨號:CSB-PA621761LA01HU
-
規格:¥440
-
圖片:
-
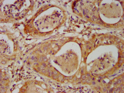
IHC image of CSB-PA621761LA01HU diluted at 1:500 and staining in paraffin-embedded human cervical cancer performed on a Leica BondTM system. After dewaxing and hydration, antigen retrieval was mediated by high pressure in a citrate buffer (pH 6.0). Section was blocked with 10% normal goat serum 30min at RT. Then primary antibody (1% BSA) was incubated at 4°C overnight. The primary is detected by a biotinylated secondary antibody and visualized using an HRP conjugated SP system.
-
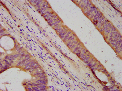
IHC image of CSB-PA621761LA01HU diluted at 1:500 and staining in paraffin-embedded human colon cancer performed on a Leica BondTM system. After dewaxing and hydration, antigen retrieval was mediated by high pressure in a citrate buffer (pH 6.0). Section was blocked with 10% normal goat serum 30min at RT. Then primary antibody (1% BSA) was incubated at 4°C overnight. The primary is detected by a biotinylated secondary antibody and visualized using an HRP conjugated SP system.
-
Immunofluorescence staining of A549 cells with CSB-PA621761LA01HU at 1:166, counter-stained with DAPI. The cells were fixed in 4% formaldehyde, permeabilized using 0.2% Triton X-100 and blocked in 10% normal Goat Serum. The cells were then incubated with the antibody overnight at 4°C. The secondary antibody was Alexa Fluor 488-congugated AffiniPure Goat Anti-Rabbit IgG(H+L).
-
-
其他:
產品詳情
-
產品名稱:Rabbit anti-Homo sapiens (Human) DHX34 Polyclonal antibody
-
Uniprot No.:
-
基因名:DHX34
-
別名:1200013B07Rik antibody; 1810012L18Rik antibody; Ddx34 antibody; DEAH (Asp-Glu-Ala-His) box polypeptide 34 antibody; DEAH box protein 34 antibody; Dhx34 antibody; DHX34_HUMAN antibody; EC 3.6.1.- antibody; HRH1 antibody; KIAA0134 antibody; mKIAA0134 antibody; Probable ATP-dependent RNA helicase DHX34 antibody
-
宿主:Rabbit
-
反應種屬:Human
-
免疫原:Recombinant Human Probable ATP-dependent RNA helicase DHX34 protein (418-554AA)
-
免疫原種屬:Homo sapiens (Human)
-
標記方式:Non-conjugated
本頁面中的產品,DHX34 Antibody (CSB-PA621761LA01HU),的標記方式是Non-conjugated。對于DHX34 Antibody,我們還提供其他標記。見下表:
-
克隆類型:Polyclonal
-
抗體亞型:IgG
-
純化方式:>95%, Protein G purified
-
濃度:It differs from different batches. Please contact us to confirm it.
-
保存緩沖液:Preservative: 0.03% Proclin 300
Constituents: 50% Glycerol, 0.01M PBS, pH 7.4 -
產品提供形式:Liquid
-
應用范圍:ELISA, IHC, IF
-
推薦稀釋比:
Application Recommended Dilution IHC 1:500-1:1000 IF 1:50-1:200 -
Protocols:
-
儲存條件:Upon receipt, store at -20°C or -80°C. Avoid repeated freeze.
-
貨期:Basically, we can dispatch the products out in 1-3 working days after receiving your orders. Delivery time maybe differs from different purchasing way or location, please kindly consult your local distributors for specific delivery time.
-
用途:For Research Use Only. Not for use in diagnostic or therapeutic procedures.
相關產品
靶點詳情
-
功能:Probable ATP-binding RNA helicase.
-
基因功能參考文獻:
- DHX34 activates nonsense-mediated mRNA decay by functioning as a scaffold for SMG1-mediated UPF1 phosphorylation via complex formation with SMG1 and UPF1. PMID: 26841701
- DHX34 promotes mRNP remodeling and triggers the conversion from the SURF complex to the DECID complex resulting in NMD activation. PMID: 25220460
- DHX34 and NBAS act in concert with core nonsense-mediated mRNA decay factors to co-regulate a large number of endogenous RNA targets. PMID: 23828042
-
蛋白家族:DEAD box helicase family, DEAH subfamily
-
組織特異性:Expressed in whole blood, testis and spleen. Also expressed in the brain.
-
數據庫鏈接:
Most popular with customers
-
-
YWHAB Recombinant Monoclonal Antibody
Applications: ELISA, WB, IHC, IF, FC
Species Reactivity: Human, Mouse, Rat
-
Phospho-YAP1 (S127) Recombinant Monoclonal Antibody
Applications: ELISA, WB, IHC
Species Reactivity: Human
-
-
-
-
-















