DHX30 Antibody
-
中文名稱:DHX30兔多克隆抗體
-
貨號:CSB-PA752098LA01HU
-
規格:¥440
-
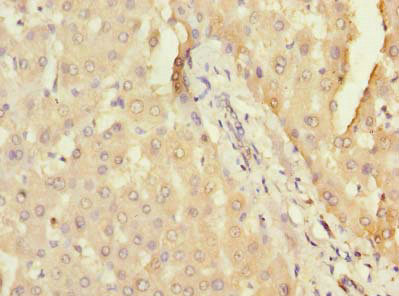
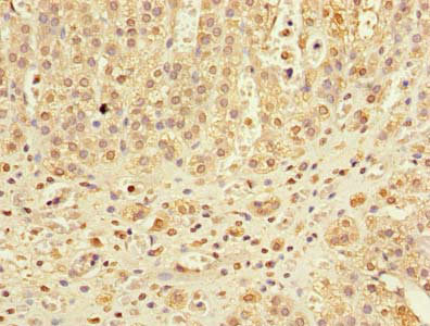
圖片:
-
其他:
產品詳情
-
產品名稱:Rabbit anti-Homo sapiens (Human) DHX30 Polyclonal antibody
-
Uniprot No.:
-
基因名:DHX30
-
別名:DDX30 antibody; DEAH box protein 30 antibody; Dhx30 antibody; DHX30_HUMAN antibody; FLJ11214 antibody; KIAA0890 antibody; Putative ATP-dependent RNA helicase DHX30 antibody; Ret CoR antibody
-
宿主:Rabbit
-
反應種屬:Human
-
免疫原:Recombinant Human Putative ATP-dependent RNA helicase DHX30 protein (694-1000AA)
-
免疫原種屬:Homo sapiens (Human)
-
標記方式:Non-conjugated
本頁面中的產品,DHX30 Antibody (CSB-PA752098LA01HU),的標記方式是Non-conjugated。對于DHX30 Antibody,我們還提供其他標記。見下表:
-
克隆類型:Polyclonal
-
抗體亞型:IgG
-
純化方式:>95%, Protein G purified
-
濃度:It differs from different batches. Please contact us to confirm it.
-
保存緩沖液:Preservative: 0.03% Proclin 300
Constituents: 50% Glycerol, 0.01M PBS, PH 7.4 -
產品提供形式:Liquid
-
應用范圍:ELISA, IHC
-
推薦稀釋比:
Application Recommended Dilution IHC 1:20-1:200 -
Protocols:
-
儲存條件:Upon receipt, store at -20°C or -80°C. Avoid repeated freeze.
-
貨期:Basically, we can dispatch the products out in 1-3 working days after receiving your orders. Delivery time maybe differs from different purchasing way or location, please kindly consult your local distributors for specific delivery time.
-
用途:For Research Use Only. Not for use in diagnostic or therapeutic procedures.
相關產品
靶點詳情
-
功能:RNA-dependent helicase. Plays an important role in the assembly of the mitochondrial large ribosomal subunit. Required for optimal function of the zinc-finger antiviral protein ZC3HAV1. Associates with mitochondrial DNA. Involved in nervous system development and differentiation through its involvement in the up-regulation of a number of genes which are required for neurogenesis, including GSC, NCAM1, neurogenin, and NEUROD.
-
基因功能參考文獻:
- Provide molecular insight into how DHX30 dysfunction might cause a neurodevelopmental disorder. PMID: 29100085
- Here, we provide evidence that overexpression of an RNA helicase named DHX30 enhances HIV-1 gene expression, but leads to the generation of viruses that package significantly low levels of viral RNA and exhibit severely decreased infectivity. PMID: 18022663
- Identifies DHX30 as a nucleoid protein. PMID: 18063578
-
亞細胞定位:Cytoplasm. Mitochondrion. Mitochondrion matrix, mitochondrion nucleoid.
-
蛋白家族:DEAD box helicase family, DEAH subfamily
-
數據庫鏈接:
Most popular with customers
-
-
YWHAB Recombinant Monoclonal Antibody
Applications: ELISA, WB, IHC, IF, FC
Species Reactivity: Human, Mouse, Rat
-
Phospho-YAP1 (S127) Recombinant Monoclonal Antibody
Applications: ELISA, WB, IHC
Species Reactivity: Human
-
-
-
-
-















