DHRSX Antibody
-
中文名稱:DHRSX兔多克隆抗體
-
貨號:CSB-PA836670LA01HU
-
規格:¥440
-
圖片:
-
Immunofluorescence staining of A549 cells with CSB-PA836670LA01HU at 1:100, counter-stained with DAPI. The cells were fixed in 4% formaldehyde, permeabilized using 0.2% Triton X-100 and blocked in 10% normal Goat Serum. The cells were then incubated with the antibody overnight at 4°C. The secondary antibody was Alexa Fluor 488-congugated AffiniPure Goat Anti-Rabbit IgG(H+L).
-
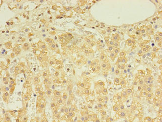
Immunohistochemistry of paraffin-embedded human adrenal gland tissue using CSB-PA836670LA01HU at dilution of 1:100
-
-
其他:
產品詳情
-
產品名稱:Rabbit anti-Homo sapiens (Human) DHRSX Polyclonal antibody
-
Uniprot No.:
-
基因名:DHRSX
-
別名:CXorf11 antibody; Dehydrogenase/reductase (SDR family) X linked antibody; Dehydrogenase/reductase SDR family member on chromosome X antibody; DHRS5X antibody; DHRS5Y antibody; DHRSX antibody; DHRSX_HUMAN antibody; DHRSXY antibody; DHRSY antibody; RP11 325D5.2 antibody
-
宿主:Rabbit
-
反應種屬:Human
-
免疫原:Recombinant Human Dehydrogenase/reductase SDR family member on chromosome X protein (32-330AA)
-
免疫原種屬:Homo sapiens (Human)
-
標記方式:Non-conjugated
本頁面中的產品,DHRSX Antibody (CSB-PA836670LA01HU),的標記方式是Non-conjugated。對于DHRSX Antibody,我們還提供其他標記。見下表:
-
克隆類型:Polyclonal
-
抗體亞型:IgG
-
純化方式:>95%, Protein G purified
-
濃度:It differs from different batches. Please contact us to confirm it.
-
保存緩沖液:Preservative: 0.03% Proclin 300
Constituents: 50% Glycerol, 0.01M PBS, PH 7.4 -
產品提供形式:Liquid
-
應用范圍:ELISA, IHC, IF
-
推薦稀釋比:
Application Recommended Dilution IHC 1:20-1:200 IF 1:50-1:200 -
Protocols:
-
儲存條件:Upon receipt, store at -20°C or -80°C. Avoid repeated freeze.
-
貨期:Basically, we can dispatch the products out in 1-3 working days after receiving your orders. Delivery time maybe differs from different purchasing way or location, please kindly consult your local distributors for specific delivery time.
-
用途:For Research Use Only. Not for use in diagnostic or therapeutic procedures.
相關產品
靶點詳情
-
功能:Involved in the positive regulation of starvation-induced autophagy.
-
基因功能參考文獻:
- these results demonstrate that DHRSX is a novel non-classical secretory protein involved in the positive regulation of starvation induced autophagy and provide a new avenue for research on this protein family and autophagy regulation PMID: 25076851
-
亞細胞定位:Secreted. Note=Secreted in a non-classical form. A signal peptide sequence at position 1-31 is predicted.
-
蛋白家族:Short-chain dehydrogenases/reductases (SDR) family
-
組織特異性:Widely expressed. Highly expressed in the pancreas.
-
數據庫鏈接:
Most popular with customers
-
-
YWHAB Recombinant Monoclonal Antibody
Applications: ELISA, WB, IHC, IF, FC
Species Reactivity: Human, Mouse, Rat
-
Phospho-YAP1 (S127) Recombinant Monoclonal Antibody
Applications: ELISA, WB, IHC
Species Reactivity: Human
-
-
-
-
-















