DGKB Antibody
-
中文名稱:DGKB兔多克隆抗體
-
貨號:CSB-PA962705
-
規格:¥1100
-
圖片:
-
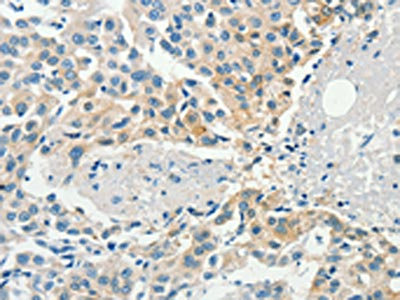
The image on the left is immunohistochemistry of paraffin-embedded Human liver cancer tissue using CSB-PA962705(DGKB Antibody) at dilution 1/60, on the right is treated with synthetic peptide. (Original magnification: ×200)
-
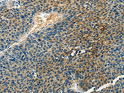
The image on the left is immunohistochemistry of paraffin-embedded Human breast cancer tissue using CSB-PA962705(DGKB Antibody) at dilution 1/60, on the right is treated with synthetic peptide. (Original magnification: ×200)
-
-
其他:
產品詳情
-
Uniprot No.:
-
基因名:
-
別名:90 kDa diacylglycerol kinase antibody; DAG kinase beta antibody; DAGK2 antibody; DGK antibody; DGK B antibody; DGK beta antibody; DGK-beta antibody; Dgkb antibody; DGKB_HUMAN antibody; Diacylglycerol kinase beta (90kD) antibody; Diacylglycerol kinase beta 90kDa antibody; Diacylglycerol kinase beta antibody; Diglyceride kinase beta antibody; KIAA0718 antibody
-
宿主:Rabbit
-
反應種屬:Human,Mouse,Rat
-
免疫原:Synthetic peptide of Human DGKB
-
免疫原種屬:Homo sapiens (Human)
-
標記方式:Non-conjugated
-
抗體亞型:IgG
-
純化方式:Antigen affinity purification
-
濃度:It differs from different batches. Please contact us to confirm it.
-
保存緩沖液:-20°C, pH7.4 PBS, 0.05% NaN3, 40% Glycerol
-
產品提供形式:Liquid
-
應用范圍:ELISA,IHC
-
推薦稀釋比:
Application Recommended Dilution ELISA 1:1000-1:5000 IHC 1:50-1:200 -
Protocols:
-
儲存條件:Upon receipt, store at -20°C or -80°C. Avoid repeated freeze.
-
貨期:Basically, we can dispatch the products out in 1-3 working days after receiving your orders. Delivery time maybe differs from different purchasing way or location, please kindly consult your local distributors for specific delivery time.
-
用途:For Research Use Only. Not for use in diagnostic or therapeutic procedures.
相關產品
靶點詳情
-
功能:Diacylglycerol kinase that converts diacylglycerol/DAG into phosphatidic acid/phosphatidate/PA and regulates the respective levels of these two bioactive lipids. Thereby, acts as a central switch between the signaling pathways activated by these second messengers with different cellular targets and opposite effects in numerous biological processes (Probable). Has a higher activity with long-chain diacylglycerols like 1,2-di-(9Z-octadecenoyl)-sn-glycerol compared to 1,2-didecanoyl-sn-glycerol. Specifically expressed in brain, it regulates neuron-specific morphological changes including neurite branching and neurite spine formation.; Does not associate with membranes but has a diacylglycerol kinase activity.
-
基因功能參考文獻:
- Association with the efficiency of hematopoietic stem cells (HSC) mobilization to PB were found in the SNPs of the DGKB gene involved in cell transport and SDF-1-induced migration ability and of the VCAM1 gene which is essential for HSC homing, suggesting that SNPs involved in cell migration ability might be partly involved in HSC mobilization to peripheral blood. PMID: 27839966
- in addition to kinase activity, plasma membrane localization via the C1 domain and basic amino acids at the C-terminus were indispensable for neurite induction by DGKbeta PMID: 24695318
- forced expression of diacylglycerol kinase beta abrogated DAG accumulation at the phagosome, leading to impaired respiratory burst. PMID: 23814057
- human diacylglycerol kinase beta gene can generate several enzyme isoforms, which can display different expression levels and subcellular localization but similar enzymatic activities in vitro. PMID: 11719522
- Includes the identification and expression profile of this gene (named as KIAA0718). PMID: 9872452
- Indicates that this protein can interact with keratin 31 and with protocadherin beta 5. PMID: 17353931
顯示更多
收起更多
-
亞細胞定位:Cell junction, synapse, postsynaptic cell membrane; Peripheral membrane protein. Cell membrane; Peripheral membrane protein. Cytoplasm.; [Isoform 2]: Cytoplasm.
-
蛋白家族:Eukaryotic diacylglycerol kinase family
-
組織特異性:[Isoform 1]: Specifically expressed in brain but also detected in uterus. In adult brain, expressed in the amygdala, caudate nucleus, and hippocampus.; [Isoform 2]: More ubiquitously expressed but at lower level compared to isoform 1.
-
數據庫鏈接:
Most popular with customers
-
-
YWHAB Recombinant Monoclonal Antibody
Applications: ELISA, WB, IHC, IF, FC
Species Reactivity: Human, Mouse, Rat
-
-
-
-
-
-















