DGAT2 Antibody
-
中文名稱:DGAT2兔多克隆抗體
-
貨號:CSB-PA850407LA01HU
-
規格:¥440
-
圖片:
-
Western Blot
Positive WB detected in: HepG2 whole cell lysate(30μg), U251 whole cell lysate(30μg), A549 whole cell lysate(30μg), Hela whole cell lysate(30μg), MCF7 whole cell lysate(30μg),K562 whole cell lysate(30μg), Mouse Heart tissue lysate(30μg),Mouse Liver tissue lysate(30μg),Rat Heart tissue lysate(30μg)
All lanes: DGAT2 antibody at 1:1000
Secondary
Goat polyclonal to rabbit IgG at 1/20000 dilution
Predicted band size: 40,44 kDa
Observed band size: 44 kDa
Exposure time: 120s -
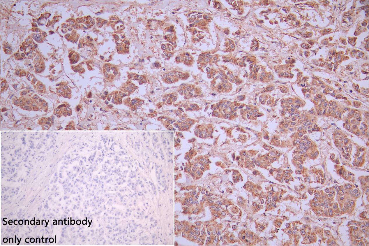
IHC image of CSB-PA850407LA01HU diluted at 1:50 and staining in paraffin-embedded human breast cancer performed on a Leica BondTM system. After dewaxing and hydration, antigen retrieval was mediated by high pressure in a citrate buffer (pH 6.0). Section was blocked with 10% normal goat serum 30min at RT. Then primary antibody (1% BSA) was incubated at 4°C overnight. The primary is detected by a Goat anti-rabbit polymer IgG labeled by HRP and visualized using 0.05% DAB. Secondary antibody only control: uses 1% BSA instead of primary antibody
-
-
其他:
產品詳情
-
產品名稱:Rabbit anti-Homo sapiens (Human) DGAT2 Polyclonal antibody
-
Uniprot No.:
-
基因名:
-
別名:DGAT2; HMFN1045; UNQ738/PRO1433; Diacylglycerol O-acyltransferase 2; Acyl-CoA retinol O-fatty-acyltransferase; ARAT; Retinol O-fatty-acyltransferase; Diglyceride acyltransferase 2
-
宿主:Rabbit
-
反應種屬:Human,Rat,Mouse
-
免疫原:Recombinant Human Diacylglycerol O-acyltransferase 2 protein (113-388AA)
-
免疫原種屬:Homo sapiens (Human)
-
標記方式:Non-conjugated
本頁面中的產品,DGAT2 Antibody (CSB-PA850407LA01HU),的標記方式是Non-conjugated。對于DGAT2 Antibody,我們還提供其他標記。見下表:
-
克隆類型:Polyclonal
-
抗體亞型:IgG
-
純化方式:Antigen affinity purification
-
濃度:It differs from different batches. Please contact us to confirm it.
-
保存緩沖液:Preservative: 0.03% Proclin 300
Constituents: 50% Glycerol, 0.01M PBS, PH 7.4 -
產品提供形式:Liquid
-
應用范圍:ELISA, WB,IHC
-
推薦稀釋比:
Application Recommended Dilution WB 1:500-1:2000 IHC 1:20-1:200 -
Protocols:
-
儲存條件:Upon receipt, store at -20°C or -80°C. Avoid repeated freeze.
-
貨期:Basically, we can dispatch the products out in 1-3 working days after receiving your orders. Delivery time maybe differs from different purchasing way or location, please kindly consult your local distributors for specific delivery time.
-
用途:For Research Use Only. Not for use in diagnostic or therapeutic procedures.
相關產品
靶點詳情
-
功能:Essential acyltransferase that catalyzes the terminal and only committed step in triacylglycerol synthesis by using diacylglycerol and fatty acyl CoA as substrates. Required for synthesis and storage of intracellular triglycerides. Probably plays a central role in cytosolic lipid accumulation. In liver, is primarily responsible for incorporating endogenously synthesized fatty acids into triglycerides. Functions also as an acyl-CoA retinol acyltransferase (ARAT). Also able to use 1-monoalkylglycerol (1-MAkG) as an acyl acceptor for the synthesis of monoalkyl-monoacylglycerol (MAMAG).
-
基因功能參考文獻:
- DGAT2 contains a C-terminal signal sequence that interacts with lipid droplets. PMID: 29902571
- Study identified a large cohort of patients with congenital diarrheal disorders with mutations in DGAT1 that reduced expression of its product; dermal fibroblasts and intestinal organoids derived from these patients had altered lipid metabolism and were susceptible to lipid-induced cell death. Expression of full-length wildtype DGAT1 or DGAT2 restored normal lipid metabolism in these cells. PMID: 29604290
- We first report loss-of-function mutations in DGAT2 and FAAH in one obese subject, which may interact with each other to affect the adiposity penetrance, providing a model of genetic interaction associated with human obesity. PMID: 28243972
- The findings indicate the functionality of the prostate cancer death-predisposing SNPs rs143975731, rs12277366, rs2155225, and rs2155222 as DGAT2 regulators in prostate tumors. PMID: 27113481
- Results identified a novel de novo p.Y223H mutation in the DGAT2 from an autosomal-dominant Korean Charcot-Marie-Tooth (CMT) family suggesting this mutation a novel underlying cause of an autosomal-dominant CMT2 phenotype. PMID: 26786738
- uPA/uPAR stimulates triglyceride synthesis in Huh7 hepatoma cells via p38-dependent upregulation of DGAT2 PMID: 25244504
- DGAT2 is regulated by gp78-associated endoplasmic-reticulum-associated degradation at the post-translational level. PMID: 24820123
- Hepatic triacylglycerol synthesis and secretion: DGAT2 as the link between glycaemia and triglyceridaemia. PMID: 23489367
- describe distinct but synergistic roles of the two DGATs in an integrated pathway of TAG synthesis and secretion, with DGAT2 acting upstream of DGAT1 PMID: 22748069
- Niacin treatment may reduce liver fat content in Chinese patients with dyslipidemia and the mechanism may involve inhibition of DGAT2. PMID: 22315393
- DGAT2 expression is decreased in psoriatic skin. PMID: 14521909
- Niacin selectively inhibited DGAT2 but not DGAT1 activity, but had no effect on the expression of DGAT1 and DGAT2 mRNA PMID: 15258194
- our results do not support the hypothesis of an important role of common genetic variation in DGAT2 for the development of obesity PMID: 17477860
- diacylglycerol acyltransferase 2 expression is regulated by CAAT/enhancer-binding protein beta (C/EBPbeta) and C/EBPalpha during adipogenesis PMID: 17504763
- Overexpression of human DGAT2 in glycolytic muscle of mice promotes insulin resistance in this tissue and may contribute to the development of diabetes. PMID: 17940217
- Review summarizes current knowledge of DGAT1 and DGAT2 enzymes, focusing on new advances since the cloning of their genes, including possible roles in human health and diseases. PMID: 18757836
- DGAT2, an ER-resident transmembrane domain-containing enzyme, is also found in mitochondria-associated membranes, where its N terminus may promote its association with mitochondria. PMID: 19049983
顯示更多
收起更多
-
亞細胞定位:Endoplasmic reticulum membrane; Multi-pass membrane protein. Lipid droplet. Cytoplasm, perinuclear region.
-
蛋白家族:Diacylglycerol acyltransferase family
-
組織特異性:Predominantly expressed in liver and white adipose tissue. Expressed at lower level in mammary gland, testis and peripheral blood leukocytes. Expressed in sebaceous glands of normal skin but decreased psoriatic skin.
-
數據庫鏈接:
Most popular with customers
-
YWHAB Recombinant Monoclonal Antibody
Applications: ELISA, WB, IHC, IF, FC
Species Reactivity: Human, Mouse, Rat
-
Phospho-YAP1 (S127) Recombinant Monoclonal Antibody
Applications: ELISA, WB, IHC
Species Reactivity: Human
-
-
-
-
-
-















