DEPP1 Antibody
-
中文名稱:DEPP1兔多克隆抗體
-
貨號:CSB-PA865135LA01HU
-
規格:¥440
-
圖片:
-
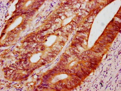
IHC image of CSB-PA865135LA01HU diluted at 1:400 and staining in paraffin-embedded human colon cancer performed on a Leica BondTM system. After dewaxing and hydration, antigen retrieval was mediated by high pressure in a citrate buffer (pH 6.0). Section was blocked with 10% normal goat serum 30min at RT. Then primary antibody (1% BSA) was incubated at 4°C overnight. The primary is detected by a biotinylated secondary antibody and visualized using an HRP conjugated SP system.
-
Immunofluorescence staining of HepG2 cells with CSB-PA865135LA01HU at 1:133, counter-stained with DAPI. The cells were fixed in 4% formaldehyde, permeabilized using 0.2% Triton X-100 and blocked in 10% normal Goat Serum. The cells were then incubated with the antibody overnight at 4°C. The secondary antibody was Alexa Fluor 488-congugated AffiniPure Goat Anti-Rabbit IgG(H+L).
-
-
其他:
產品詳情
-
產品名稱:Rabbit anti-Homo sapiens (Human) DEPP1 Polyclonal antibody
-
Uniprot No.:
-
基因名:DEPP1
-
別名:Decidual protein induced by progesterone antibody; Depp antibody; DEPP_HUMAN antibody; Fasting-induced gene protein antibody; FIG antibody; Protein DEPP antibody
-
宿主:Rabbit
-
反應種屬:Human
-
免疫原:Recombinant Human Protein DEPP1 protein (57-174AA)
-
免疫原種屬:Homo sapiens (Human)
-
標記方式:Non-conjugated
本頁面中的產品,DEPP1 Antibody (CSB-PA865135LA01HU),的標記方式是Non-conjugated。對于DEPP1 Antibody,我們還提供其他標記。見下表:
-
克隆類型:Polyclonal
-
抗體亞型:IgG
-
純化方式:>95%, Protein G purified
-
濃度:It differs from different batches. Please contact us to confirm it.
-
保存緩沖液:Preservative: 0.03% Proclin 300
Constituents: 50% Glycerol, 0.01M PBS, pH 7.4 -
產品提供形式:Liquid
-
應用范圍:ELISA, IHC, IF
-
推薦稀釋比:
Application Recommended Dilution IHC 1:200-1:500 IF 1:50-1:200 -
Protocols:
-
儲存條件:Upon receipt, store at -20°C or -80°C. Avoid repeated freeze.
-
貨期:Basically, we can dispatch the products out in 1-3 working days after receiving your orders. Delivery time maybe differs from different purchasing way or location, please kindly consult your local distributors for specific delivery time.
-
用途:For Research Use Only. Not for use in diagnostic or therapeutic procedures.
相關產品
靶點詳情
-
功能:Acts as a critical modulator of FOXO3-induced autophagy via increased cellular ROS.
-
基因功能參考文獻:
- Knockdown of DEPP prevented the primary and secondary reactive oxygen species wave during FOXO3 activation. PMID: 25261981
- C10orf10 expression is frequently decreased in breast cancer tissues and is associated with shorter survival times. PMID: 24936657
- DEPP is regulated at the level of transcription by FoxO in human vascular endothelial cells PMID: 21510935
- DEPP is a novel insulin-regulatory molecule expressed abundantly in insulin-sensitive tissues including white adipose tissue and liver. PMID: 19937567
- Expressed in endothelial cells of peripheral tissues, but not in atrial or ventricular endocardial cells of the heart, unexpected degree of molecular heterogeneity among arterial endothelial cells, up-regulated in subsets of endothelial cells. PMID: 15977181
- Depp modulates the effects of progesterone during decidualization and in the decidua by affecting gene expression. PMID: 16123073
顯示更多
收起更多
-
亞細胞定位:Cytoplasm. Peroxisome. Mitochondrion.
-
組織特異性:Expressed in various tissues, including pancreas, placenta, ovary, testis and kidney.
-
數據庫鏈接:
Most popular with customers
-
-
Phospho-YAP1 (S127) Recombinant Monoclonal Antibody
Applications: ELISA, WB, IHC
Species Reactivity: Human
-
-
-
-
-
-
VDAC1 Recombinant Monoclonal Antibody
Applications: ELISA, WB, IHC
Species Reactivity: Human, Mouse, Rat















