DEDD Antibody
-
中文名稱:DEDD兔多克隆抗體
-
貨號:CSB-PA006648ESR1HU
-
規格:¥440
-
圖片:
-
Western blot
All lanes: DEDD antibody at 0.56μg/ml
Lane 1: Mouse lung tissue
Lane 2: Mouse thymus tissue
Secondary
Goat polyclonal to rabbit IgG at 1/10000 dilution
Predicted band size: 37, 41 kDa
Observed band size: 37 kDa -
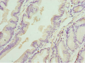
Immunohistochemistry of paraffin-embedded human prostate cancer using CSB-PA006648ESR1HU at dilution of 1:100
-
Immunohistochemistry of paraffin-embedded human testis tissue using CSB-PA006648ESR1HU at dilution of 1:100
-
-
其他:
產品詳情
-
產品名稱:Rabbit anti-Homo sapiens (Human) DEDD Polyclonal antibody
-
Uniprot No.:
-
基因名:DEDD
-
別名:CASP8IP1 antibody; Death effector domain containing antibody; Death effector domain containing protein antibody; Death effector domain containing testicular molecule antibody; Death effector domain-containing protein antibody; Death effector domain-containing testicular molecule antibody; DEDD 1 antibody; dedD antibody; DEDD_HUMAN antibody; DEDD1 antibody; DEDPro 1 antibody; DEDPro1 antibody; DEFT antibody; FLDED 1 antibody; FLDED-1 antibody; FLDED1 antibody; KE 05 antibody; KE05 antibody; OTTHUMP00000031822 antibody
-
宿主:Rabbit
-
反應種屬:Human, Mouse
-
免疫原:Recombinant Human Death effector domain-containing protein (1-318AA)
-
免疫原種屬:Homo sapiens (Human)
-
標記方式:Non-conjugated
-
克隆類型:Polyclonal
-
抗體亞型:IgG
-
純化方式:Antigen Affinity Purified
-
濃度:It differs from different batches. Please contact us to confirm it.
-
保存緩沖液:PBS with 0.02% sodium azide, 50% glycerol, pH7.3.
-
產品提供形式:Liquid
-
應用范圍:ELISA, WB, IHC
-
推薦稀釋比:
Application Recommended Dilution WB 1:1000-1:5000 IHC 1:20-1:200 -
Protocols:
-
儲存條件:Upon receipt, store at -20°C or -80°C. Avoid repeated freeze.
-
貨期:Basically, we can dispatch the products out in 1-3 working days after receiving your orders. Delivery time maybe differs from different purchasing way or location, please kindly consult your local distributors for specific delivery time.
-
用途:For Research Use Only. Not for use in diagnostic or therapeutic procedures.
相關產品
靶點詳情
-
功能:A scaffold protein that directs CASP3 to certain substrates and facilitates their ordered degradation during apoptosis. May also play a role in mediating CASP3 cleavage of KRT18. Regulates degradation of intermediate filaments during apoptosis. May play a role in the general transcription machinery in the nucleus and might be an important regulator of the activity of GTF3C3. Inhibits DNA transcription in vitro.
-
基因功能參考文獻:
- LINC00472 contributed to the increase in lung adenocarcinoma cell apoptosis and the inhibition of proliferation via regulating miR-24-3p/ DEDD. PMID: 30175664
- DEDD protein role in cell proliferation and migration of bladder cancer PMID: 28000900
- Via direct interaction with the class III PI-3-kinase (PI3KC3)/Beclin1, DEDD activated autophagy and induced the degradation of Snail and Twist, two master regulators of EMT PMID: 22719072
- FAS-associated death domain (FADD)-DED-induced reactive oxygen species (ROS) generation is triggered by membrane localization of FADD-DED, which shifts the cells into a state that stimulates and fuels ROS and ultimately results in cell death. PMID: 20070122
- DEDD forms nuclear complexes with the TFIIIC102 subunit of human transcription factor IIIC PMID: 11965497
- DEDD and DEDD2 may be important mediators for death receptors and that they may target caspases to the nucleus. PMID: 12527898
顯示更多
收起更多
-
亞細胞定位:Cytoplasm. Nucleus, nucleolus.
-
組織特異性:Widely expressed with highest levels in testis.
-
數據庫鏈接:
Most popular with customers
-
-
YWHAB Recombinant Monoclonal Antibody
Applications: ELISA, WB, IHC, IF, FC
Species Reactivity: Human, Mouse, Rat
-
Phospho-YAP1 (S127) Recombinant Monoclonal Antibody
Applications: ELISA, WB, IHC
Species Reactivity: Human
-
-
-
-
-















