DDX39B Antibody
-
中文名稱:DDX39B兔多克隆抗體
-
貨號:CSB-PA279529
-
規格:¥1100
-
圖片:
-
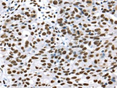
The image on the left is immunohistochemistry of paraffin-embedded Human breast cancer tissue using CSB-PA279529(DDX39B Antibody) at dilution 1/35, on the right is treated with synthetic peptide. (Original magnification: ×200)
-
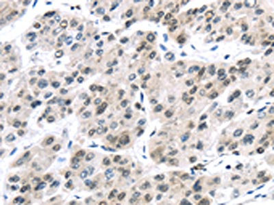
The image on the left is immunohistochemistry of paraffin-embedded Human liver cancer tissue using CSB-PA279529(DDX39B Antibody) at dilution 1/35, on the right is treated with synthetic peptide. (Original magnification: ×200)
-
Gel: 8%SDS-PAGE,Lysate: 40 μg,Lane 1-6: Hela cells, HepG2 cells, Jurkat cells, 231 cells, SKOV3 cells, 293T cells,Primary antibody: CSB-PA279529(DDX39B Antibody) at dilution 1/200 dilution,Secondary antibody: Goat anti rabbit IgG at 1/8000 dilution,Exposure time: 1 second
-
-
其他:
產品詳情
-
Uniprot No.:
-
基因名:DDX39B
-
別名:0610030D10Rik antibody; 4F2-LC6 antibody; 56 kDa U2AF65-associated protein antibody; AI428441 antibody; ATP-dependent RNA helicase p47 antibody; B(0,+)-type amino acid transporter 1 antibody; BAT1 antibody; Bat1a antibody; D17H6S81E antibody; D17H6S81E-1 antibody; D6S81E antibody; D6S81Eh antibody; DDX39B antibody; DEAD (Asp-Glu-Ala-Asp) box polypeptide 39B antibody; DEAD box protein UAP56 antibody; DX39B_HUMAN antibody; EC 3.6.1.- antibody; Glycoprotein-associated amino acid transporter b0,+AT1 antibody; HLA-B-associated transcript 1 protein antibody; HLA-B-associated transcript 1A antibody; HLA-B-associated transcript-1 antibody; MGC127051 antibody; MGC19235 antibody; MGC38799 antibody; nuclear RNA helicase (DEAD family) antibody; OTTHUMP00000029229 antibody; OTTHUMP00000165889 antibody; OTTHUMP00000165890 antibody; p47 antibody; Solute carrier family 7 member 9 antibody; Spliceosome RNA helicase BAT1 antibody; Spliceosome RNA helicase DDX39B antibody; U2AF65-associayed protein; 56-KD antibody; UAP56 antibody
-
宿主:Rabbit
-
反應種屬:Human,Mouse,Rat
-
免疫原:Synthetic peptide of Human DDX39B
-
免疫原種屬:Homo sapiens (Human)
-
標記方式:Non-conjugated
-
抗體亞型:IgG
-
純化方式:Antigen affinity purification
-
濃度:It differs from different batches. Please contact us to confirm it.
-
保存緩沖液:-20°C, pH7.4 PBS, 0.05% NaN3, 40% Glycerol
-
產品提供形式:Liquid
-
應用范圍:ELISA,WB,IHC
-
推薦稀釋比:
Application Recommended Dilution ELISA 1:2000-1:5000 WB 1:500-1:2000 IHC 1:25-1:100 -
Protocols:
-
儲存條件:Upon receipt, store at -20°C or -80°C. Avoid repeated freeze.
-
貨期:Basically, we can dispatch the products out in 1-3 working days after receiving your orders. Delivery time maybe differs from different purchasing way or location, please kindly consult your local distributors for specific delivery time.
-
用途:For Research Use Only. Not for use in diagnostic or therapeutic procedures.
相關產品
靶點詳情
-
功能:Involved in nuclear export of spliced and unspliced mRNA. Assembling component of the TREX complex which is thought to couple mRNA transcription, processing and nuclear export, and specifically associates with spliced mRNA and not with unspliced pre-mRNA. TREX is recruited to spliced mRNAs by a transcription-independent mechanism, binds to mRNA upstream of the exon-junction complex (EJC) and is recruited in a splicing- and cap-dependent manner to a region near the 5' end of the mRNA where it functions in mRNA export to the cytoplasm via the TAP/NFX1 pathway. May undergo several rounds of ATP hydrolysis during assembly of TREX to drive subsequent loading of components such as ALYREF/THOC and CHTOP onto mRNA. Also associates with pre-mRNA independent of ALYREF/THOC4 and the THO complex. Involved in the nuclear export of intronless mRNA; the ATP-bound form is proposed to recruit export adapter ALYREF/THOC4 to intronless mRNA; its ATPase activity is cooperatively stimulated by RNA and ALYREF/THOC4 and ATP hydrolysis is thought to trigger the dissociation from RNA to allow the association of ALYREF/THOC4 and the NXF1-NXT1 heterodimer. Involved in transcription elongation and genome stability.; Splice factor that is required for the first ATP-dependent step in spliceosome assembly and for the interaction of U2 snRNP with the branchpoint. Has both RNA-stimulated ATP binding/hydrolysis activity and ATP-dependent RNA unwinding activity. Even with the stimulation of RNA, the ATPase activity is weak. Can only hydrolyze ATP but not other NTPs. The RNA stimulation of ATPase activity does not have a strong preference for the sequence and length of the RNA. However, ssRNA stimulates the ATPase activity much more strongly than dsRNA. Can unwind 5' or 3' overhangs or blunt end RNA duplexes in vitro. The ATPase and helicase activities are not influenced by U2AF2; the effect of ALYREF/THOC4 is reported conflictingly with [PubMed:23299939] reporting a stimulatory effect.; (Microbial infection) The TREX complex is essential for the export of Kaposi's sarcoma-associated herpesvirus (KSHV) intronless mRNAs and infectious virus production.
-
基因功能參考文獻:
- DDX39B promotes proliferation and colony forming potential of cells and its levels are significantly elevated in diverse cancer types.DDX39B regulates the pre-ribosomal RNA levels. PMID: 30176153
- Study showed that a genetic variant in the 5' UTR of DDX39B reduces translation of DDX39B mRNAs and increases multiple sclerosis (MS) risk. Importantly, this DDX39B variant showed strong genetic & functional epistasis with allelic variants in IL7R exon 6; study establishes the occurrence of biological epistasis in humans & provides mechanistic insight into the regulation of IL7R exon 6 splicing & its impact on MS risk. PMID: 28340352
- DDX39B and its paralog DDX39A regulate androgen receptor splice variant AR-V7 generation PMID: 28025139
- Distinct features of RNA influence and ATPase efficiency between UAP56 and TcSub2 may reflect distinct structures for functional sites of TcSub2. For this reason, ligand-based or structure-based methodologies can be applied to investigate the potential of TcSub2 as a target for new drugs. PMID: 28212935
- However, no significant association was observed between the DDX39B -22 G/C polymorphism in the cases and controls. Furthermore, it is clarified that the protective effect of IL-4 -590 is independent from APOE protective genotypes PMID: 26265379
- The G allele of DDX39B-22C > G was associated with absent or decreased manifestations of vivax malaria and the C allele was a risk factor for disease complications. PMID: 25038626
- We unravel the role of unexplored immunologically important genes, BAT1 and BTNL2, and the haplotypes of the significantly associated SNPs therein, to understand susceptibility to the disease, leprosy and its differential severity. PMID: 22071774
- these data identify UAP56 as an important binding partner of Bcr and a novel target for inhibiting vascular smooth muscle cell proliferation. PMID: 22446327
- Mx proteins exert their antiviral activity against IAV by interfering with the function of the RNA helicases UAP56 and URH49 PMID: 21859714
- In summary, these data demonstrate that UAP56 is utilized by influenza A viruses to prevent the formation of dsRNA and, hence, the activation of the innate immune response. PMID: 21680511
- These findings demonstrate that replication of the inlfuenza virus genome is followed by its encapsidation by NP in collaboration with its chaperone UAP56. PMID: 21507964
- UAP56 binding was shown to represent a unique characteristic of members of the genus Cytomegalovirus that is required for efficient replication of HCMV and required for nuclear mRNA export. PMID: 21147923
- Data show that the two closely related RNA helicases UAP56 and URH49 have evolved to form distinct mRNA export machineries, which regulate mitosis at different steps. PMID: 20573985
- Using a UL69 viral mutant that is unable to bind UAP56 and URH49, the authors demonstrated that UL69's interaction with UAP56 or URH49 does not contribute to the growth phenotype associated with the UL69 deletion mutant. PMID: 20610707
- UAP56 is an important regulator of protein synthesis and plays an important role in the regulation of cardiomyocyte growth. PMID: 20116367
- BAT1 transcription on the 7.1 AH (diabetes-resistant ancestral haplotype)is modified by interactions involving DNA flanking positions -22 and -348 in the promotor PMID: 15028669
- The structures of UAP56/Sub2(BAT1) reveal a unique spatial arrangement of the two conserved helicase domains, and ADP-binding induces significant conformational changes of key residues in the ATP-binding pocket PMID: 15585580
- recruitment of the human TREX complex to spliced mRNA is not directly coupled to transcription, but is instead coupled to transcription indirectly through splicing PMID: 15998806
- UAP56 provides a herpesviral regulatory protein with access to a conserved cellular transport system in order to promote nuclear export of unspliced RNA. PMID: 16478985
- Reducing the expression of UAP56 and URH49 resulted in a reduction in reporter gene expression as well as cell death within 72 h suggest that both helicases have essential but largely overlapping functions in the processing and export of mammalian mRNAs. PMID: 16949217
- Minor homozygous genotypes of polymorphisms in BAT1 were associated with moderately protective effects against myocardial infarction. PMID: 17517687
- UAP56 has ATPase and helicase activity and roles in spliceosome assembly and mRNA export PMID: 17562711
- The role of BAT1 in the regulation of tumor necrosis factor-a suggests that BAT1 may regulate the inflammatory response observed in patients with rheumatoid arthritis. PMID: 18381799
- The equilibrium binding of UAP56 in complexes at speckled domains was directly regulated by ATP binding. PMID: 18411249
- hUAP56 first interacts with U2AF(65) in an ATP-dependent manner, and subsequently with U4/U6 snRNAs to facilitate stepwise assembly of the spliceosome. PMID: 18593880
- APOE epsilon4 was associated with an independent increase in risk for Alzheimer's disease (AD) in individuals with TNFA -850*2, while carriage of BAT1 -22*2 reduced the risk for AD, independent of APOE epsilon4 genotype PMID: 18715507
- The authors demonstrate that ORF57 recruits several members of hTREX, namely Aly, UAP56 and hTHO-complex proteins, onto the viral mRNAs to assemble an export-competent ribonucleoprotein particle. PMID: 19264631
- This report summarizes recent evidence for the role of UAP56 in pre-mRNA splicing and nuclear export. PMID: 19403039
顯示更多
收起更多
-
亞細胞定位:Nucleus. Nucleus speckle. Cytoplasm. Note=Can translocate to the cytoplasm in the presence of MX1. TREX complex assembly seems to occur in regions surrounding nuclear speckles known as perispeckles.
-
蛋白家族:DEAD box helicase family, DECD subfamily
-
數據庫鏈接:
Most popular with customers
-
-
YWHAB Recombinant Monoclonal Antibody
Applications: ELISA, WB, IHC, IF, FC
Species Reactivity: Human, Mouse, Rat
-
Phospho-YAP1 (S127) Recombinant Monoclonal Antibody
Applications: ELISA, WB, IHC
Species Reactivity: Human
-
-
-
-
-















