DDX11 Antibody
-
中文名稱:DDX11兔多克隆抗體
-
貨號:CSB-PA853416ESR2HU
-
規格:¥440
-
圖片:
-
Western blot
All lanes: DDX11 antibody at 8.47μg/ml
Lane 1: Mouse gonadal tissue
Lane 2: K562 whole cell lysate
Secondary
Goat polyclonal to rabbit IgG at 1/10000 dilution
Predicted band size: 109, 102, 99, 97, 33 kDa
Observed band size: 109 kDa -
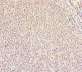
Immunohistochemistry of paraffin-embedded human tonsil tissue using CSB-PA853416ESR2HU at dilution of 1:100
-
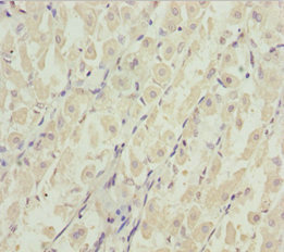
Immunohistochemistry of paraffin-embedded human gastric cancer using CSB-PA853416ESR2HU at dilution of 1:100
-
-
其他:
產品詳情
-
產品名稱:Rabbit anti-Homo sapiens (Human) DDX11 Polyclonal antibody
-
Uniprot No.:
-
基因名:DDX11
-
別名:CHL1 antibody; CHL1 related helicase gene 1 antibody; CHL1-like helicase homolog antibody; CHL1-related protein 1 antibody; CHLR1 antibody; Ddx11 antibody; DDX11_HUMAN antibody; DEAD/H (Asp Glu Ala Asp/His) box polypeptide 11 antibody; DEAD/H (Asp-Glu-Ala-Asp/His) box helicase 11 antibody; DEAD/H (Asp-Glu-Ala-Asp/His) box polypeptide 11 (CHL1-like helicase homolog; S. cerevisiae) antibody; DEAD/H box antibody; DEAD/H box protein 11 antibody; hCHLR1 antibody; Keratinocyte growth factor regulated gene 2 protein antibody; Keratinocyte growth factor-regulated gene 2 protein antibody; KRG 2 antibody; KRG-2 antibody; KRG2 antibody; MGC133249 antibody; MGC9335 antibody; OTTHUMP00000238778 antibody; OTTHUMP00000238780 antibody; OTTHUMP00000238784 antibody; OTTHUMP00000238785 antibody; Probable ATP dependent RNA helicase DDX11 antibody; Probable ATP-dependent RNA helicase DDX11 antibody; WABS antibody
-
宿主:Rabbit
-
反應種屬:Human, Mouse
-
免疫原:Recombinant Human ATP-dependent DNA helicase DDX11 protein (1-220AA)
-
免疫原種屬:Homo sapiens (Human)
-
標記方式:Non-conjugated
-
克隆類型:Polyclonal
-
抗體亞型:IgG
-
純化方式:Antigen Affinity Purified
-
濃度:It differs from different batches. Please contact us to confirm it.
-
保存緩沖液:Liquid in PBS containing 50% glycerol, 0.5% BSA and 0.02% sodium azide.
-
產品提供形式:Liquid
-
應用范圍:ELISA, WB, IHC
-
推薦稀釋比:
Application Recommended Dilution WB 1:1000-1:5000 IHC 1:20-1:200 -
Protocols:
-
儲存條件:Upon receipt, store at -20°C or -80°C. Avoid repeated freeze.
-
貨期:Basically, we can dispatch the products out in 1-3 working days after receiving your orders. Delivery time maybe differs from different purchasing way or location, please kindly consult your local distributors for specific delivery time.
-
用途:For Research Use Only. Not for use in diagnostic or therapeutic procedures.
相關產品
靶點詳情
-
功能:DNA-dependent ATPase and ATP-dependent DNA helicase that participates in various functions in genomic stability, including DNA replication, DNA repair and heterochromatin organization as well as in ribosomal RNA synthesis. Its double-stranded DNA helicase activity requires either a minimal 5'-single-stranded tail length of approximately 15 nt (flap substrates) or 10 nt length single-stranded gapped DNA substrates of a partial duplex DNA structure for helicase loading and translocation along DNA in a 5' to 3' direction. The helicase activity is capable of displacing duplex regions up to 100 bp, which can be extended up to 500 bp by the replication protein A (RPA) or the cohesion CTF18-replication factor C (Ctf18-RFC) complex activities. Shows also ATPase- and helicase activities on substrates that mimic key DNA intermediates of replication, repair and homologous recombination reactions, including forked duplex, anti-parallel G-quadruplex and three-stranded D-loop DNA molecules. Plays a role in DNA double-strand break (DSB) repair at the DNA replication fork during DNA replication recovery from DNA damage. Recruited with TIMELESS factor upon DNA-replication stress response at DNA replication fork to preserve replication fork progression, and hence ensure DNA replication fidelity. Cooperates also with TIMELESS factor during DNA replication to regulate proper sister chromatid cohesion and mitotic chromosome segregation. Stimulates 5'-single-stranded DNA flap endonuclease activity of FEN1 in an ATP- and helicase-independent manner; and hence it may contribute in Okazaki fragment processing at DNA replication fork during lagging strand DNA synthesis. Its ability to function at DNA replication fork is modulated by its binding to long non-coding RNA (lncRNA) cohesion regulator non-coding RNA DDX11-AS1/CONCR, which is able to increase both DDX11 ATPase activity and binding to DNA replicating regions. Plays also a role in heterochromatin organization. Involved in rRNA transcription activation through binding to active hypomethylated rDNA gene loci by recruiting UBTF and the RNA polymerase Pol I transcriptional machinery. Plays a role in embryonic development and prevention of aneuploidy. Involved in melanoma cell proliferation and survival. Associates with chromatin at DNA replication fork regions. Binds to single- and double-stranded DNAs.; (Microbial infection) Required for bovine papillomavirus type 1 regulatory protein E2 loading onto mitotic chromosomes during DNA replication for the viral genome to be maintained and segregated.
-
基因功能參考文獻:
- DDX11 orchestrates jointly with 9-1-1 and its loader, RAD17, DNA damage tolerance at sites of bulky lesions, and endogenous abasic sites. These functions may explain the essential roles of DDX11 and its similarity with 9-1-1 during development. PMID: 30061412
- We present two new cases of Warsaw Breakage Syndrome (WABS), an autosomal recessive cohesinopathy, in sisters aged 13 and 11 years who both had compound heterozygous mutations in DDX11 PMID: 28960803
- A mutation has been identified in HPV16 E2 that abrogates interaction with ChlR1, and it was shown that ChlR1 regulates the chromatin association of HPV16 E2 and that this virus-host interaction is essential for viral episome maintenance. PMID: 27795438
- In this study, we found that cohesion establishment factors, like CHlR1, cooperatively stimulate endonuclease activity of hFen1 in in vivo mimic condition, including replication protein-A-coated DNA and high salt. PMID: 26032365
- DDX11 and Tim proteins physically and functionally interact and act in concert to preserve replication fork progression in perturbed conditions. PMID: 26503245
- Q Motif Is Involved in DNA Binding but Not ATP Binding in ChlR1 Helicase PMID: 26474416
- our results indicate that DDX11 functions as a positive regulator of rRNA transcription and provides a novel insight into the pathogenesis of WABS. PMID: 26089203
- A distinct triplex DNA unwinding activity of ChlR1 helicase. PMID: 25561740
- ChlR1 plays a critically important role in cellular replication and/or DNA repair. [review] PMID: 24487782
- Data indicate a homozygous mutation (c.788G>A [p.R263Q]) in DDX11 in three affected siblings with severe intellectual disability and many of the congenital abnormalities reported in the Warsaw breakage syndrome (WABS) original case. PMID: 23033317
- helicase DDX11 is expressed at high levels in primary and metastatic melanoma, and that interfering with its expression leads to severe chromosome segregation defects, telomere shortening, and massive melanoma cell apoptosis. PMID: 23116066
- The results identify novel roles of Ddx11 during embryo morphogenesis and demonstrate that the activity of its motif V is essential for DDX11 function. PMID: 22678773
- Wild-type ChlR1 required a minimal 5' single-stranded DNA tail of 15 nucleotides to efficiently unwind a simple duplex DNA substrate. PMID: 22102414
- The ChlR1 is involved in the proper formation of heterochromatin, which in turn contributes to global nuclear organization and pleiotropic effects. PMID: 21854770
- These data provide evidence that the association of bovine papillomavirus E2 with human ChlR1 contributes to a loading mechanism during DNA replication rather than direct tethering during mitotic division. PMID: 21489590
- Timeless associates with the cohesion-promoting DNA helicase ChlR1, which, when overexpressed, partially alleviates the cohesion defect of cells depleted of Timeless-Tipin. PMID: 20124417
- We present preliminary analysis of a strong candidate gene in the region, the DNA helicase DDX11. In conclusion, we report mapping of the first locus that determines mean telomere length in humans. PMID: 15520935
- human ChlR1 is required for sister chromatid cohesion and, hence, normal mitotic progression. PMID: 17105772
- These studies provide compelling evidence that ChlR1 association is required for loading the papillomavirus E2 protein onto mitotic chromosomes and represents a kinetochore-independent mechanism for viral genome maintenance and segregation. PMID: 17189189
- hChlR1 has a role in the establishment of sister chromatid cohesion, with Ctf18-RFC and Fen1 PMID: 18499658
顯示更多
收起更多
-
相關疾病:Warsaw breakage syndrome (WBRS)
-
亞細胞定位:Nucleus. Nucleus, nucleolus. Cytoplasm, cytoskeleton, spindle pole. Midbody. Cytoplasm, cytoskeleton, microtubule organizing center, centrosome.; Chromosome.
-
蛋白家族:DEAD box helicase family, DEAH subfamily, DDX11/CHL1 sub-subfamily
-
組織特異性:Expressed in melanoma cells. Not detected in epidermal melanocytes of normal skin (at protein level). Highly expressed in spleen, B-cells, thymus, testis, ovary, small intestine and pancreas. Very low expression seen in brain. Expressed in dividing cells
-
數據庫鏈接:
Most popular with customers
-
-
YWHAB Recombinant Monoclonal Antibody
Applications: ELISA, WB, IHC, IF, FC
Species Reactivity: Human, Mouse, Rat
-
Phospho-YAP1 (S127) Recombinant Monoclonal Antibody
Applications: ELISA, WB, IHC
Species Reactivity: Human
-
-
-
-
-















