DDIT4 Antibody
-
中文名稱:DDIT4兔多克隆抗體
-
貨號:CSB-PA151075
-
規格:¥1100
-
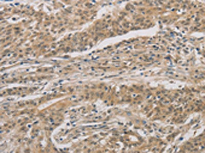
圖片:
-
The image on the left is immunohistochemistry of paraffin-embedded Human liver cancer tissue using CSB-PA151075(DDIT4 Antibody) at dilution 1/30, on the right is treated with fusion protein. (Original magnification: ×200)
-
The image on the left is immunohistochemistry of paraffin-embedded Human gastric cancer tissue using CSB-PA151075(DDIT4 Antibody) at dilution 1/30, on the right is treated with fusion protein. (Original magnification: ×200)
-
-
其他:
產品詳情
-
Uniprot No.:
-
基因名:
-
別名:DDIT4 antibody; DDIT4_HUMAN antibody; Dig2 antibody; DNA damage inducible transcript 4 antibody; DNA damage inducible transcript 4 protein antibody; DNA damage-inducible transcript 4 protein antibody; FLJ20500 antibody; HIF 1 responsive protein RTP801 antibody; HIF 1 responsive RTP801 antibody; HIF-1 responsive protein RTP801 antibody; Protein regulated in development and DNA damage response 1 antibody; REDD-1 antibody; REDD1 antibody; RTP801 antibody
-
宿主:Rabbit
-
反應種屬:Human,Mouse,Rat
-
免疫原:Fusion protein of Human DDIT4
-
免疫原種屬:Homo sapiens (Human)
-
標記方式:Non-conjugated
-
抗體亞型:IgG
-
純化方式:Antigen affinity purification
-
濃度:It differs from different batches. Please contact us to confirm it.
-
保存緩沖液:-20°C, pH7.4 PBS, 0.05% NaN3, 40% Glycerol
-
產品提供形式:Liquid
-
應用范圍:ELISA,IHC
-
推薦稀釋比:
Application Recommended Dilution ELISA 1:2000-1:5000 IHC 1:50-1:200 -
Protocols:
-
儲存條件:Upon receipt, store at -20°C or -80°C. Avoid repeated freeze.
-
貨期:Basically, we can dispatch the products out in 1-3 working days after receiving your orders. Delivery time maybe differs from different purchasing way or location, please kindly consult your local distributors for specific delivery time.
-
用途:For Research Use Only. Not for use in diagnostic or therapeutic procedures.
相關產品
靶點詳情
-
功能:Regulates cell growth, proliferation and survival via inhibition of the activity of the mammalian target of rapamycin complex 1 (mTORC1). Inhibition of mTORC1 is mediated by a pathway that involves DDIT4/REDD1, AKT1, the TSC1-TSC2 complex and the GTPase RHEB. Plays an important role in responses to cellular energy levels and cellular stress, including responses to hypoxia and DNA damage. Regulates p53/TP53-mediated apoptosis in response to DNA damage via its effect on mTORC1 activity. Its role in the response to hypoxia depends on the cell type; it mediates mTORC1 inhibition in fibroblasts and thymocytes, but not in hepatocytes. Required for mTORC1-mediated defense against viral protein synthesis and virus replication. Inhibits neuronal differentiation and neurite outgrowth mediated by NGF via its effect on mTORC1 activity. Required for normal neuron migration during embryonic brain development. Plays a role in neuronal cell death.
-
基因功能參考文獻:
- DDIT4 might serve as a novel prognostic biomarker in several malignancies. PMID: 28484222
- Cellular metabolism constrains innate immune responses in preterm infants due to perturbations in the expression of PPARgamma, MALT1, DDIT4, and most of the cytokines. PMID: 30446641
- these findings uncover a novel mechanism by which PML loss may contribute to mTOR activation and cancer progression via dysregulation of basal DDIT4 gene expression. PMID: 28332630
- A microarray analysis revealed that in A3G-transduced Vero cells, several cellular transcripts were differentially expressed, suggesting that A3G regulates the expression of host factors. One of the most upregulated host cell factors, REDD1 (regulated in development and DNA damage response-1, also called DDIT4), reduced MV replication approximately 10-fold upon overexpression in Vero cells. PMID: 29925665
- This is concurrent with an increase in the expression level of DDIT4, which is an inhibitor of the mammalian target of rapamycin (mTOR) signaling pathway. these results provided a novel insight on miR1243p involvement in the biological alterations of male patients with major depressive disorder and suggested that this miRNA may also serve as a malespeci fi c target for antidepressant treatment PMID: 29115444
- DDIT4 activity is directly linked to regulation of mTOR signalling PMID: 27876894
- The HIF-1alpha-REDD1-mTOR pathway was involved in the response to hypoxia in BeWo cells. Hypoxia-induced REDD1 upregulation is mediated by a HIF-1alpha-dependent pathway. Disruption of REDD1 blocked the effects of hypoxia on suppressing mTOR and resulted in additional accumulation of HIF-1alpha in BeWo cells. PMID: 27577706
- REDD1 is overexpressed during Familial Mediterranean fever inflammatory attacks induced by physical or psychological stress PMID: 28342915
- Expression of key autophagy markers (microtubule-associated protein 1A/1B light chain 3 and autophagy protein 5) was markedly reduced in cultured human chondrocytes with REDD1 depletion. PMID: 28334504
- The production of superoxide anion in nockout-Rtp801 mouse lung fibroblasts (MLF) was lower than that in Rtp801 Wt cells after cigarette smoke extract treatment, and it was inhibited in Wt MLF by silencing nicotinamide adenine dinucleotide phosphate oxidase-4 (Nox4) expression with small interfering Nox4 RNA. PMID: 27556956
- Changes in REDD1 mRNA and protein have been observed in skeletal muscle under various physiological conditions (e.g., nutrient consumption and resistance exercise) and pathological conditions (e.g., sepsis, alcoholism, diabetes, obesity) suggesting a role for REDD1 in regulating mTORC1-dependent skeletal muscle protein metabolism. [Review] PMID: 27189933
- a novel STAT3-dependent mechanism of both IL-6-induced activation of mTOR and IL-6-dependent reversion of stress-induced inhibition of mTOR activity, is reported. PMID: 27094713
- findings implicate REDD1 as a crucial regulator of mTORC1 activity in iron-depleted cells PMID: 26827808
- C/EBPbeta promotes autophagy in PC3 cells by augmenting REDD1 expression. PMID: 26968249
- These data highlight the central role of REDD1 in regulating both protein synthesis and autophagy in skeletal muscle during sepsis. PMID: 26487002
- Findings from this study propose a REDD1-regulated mechanism in T2D skeletal muscle that may contribute to whole body insulin resistance and may be a target to improve insulin action in insulin-resistant individuals. PMID: 26269521
- REDD1 knockout (KO) mice, all skin compartments, epidermal stem, and progenitor cells were protected from atrophic effects of glucocorticoids. PMID: 25504525
- MiR-630 reduced apoptosis by downregulating several apoptotic modulators, PARP3, DDIT4, and EP300. PMID: 25255219
- REDD1 and p-AKT over-expression may serve as a prognostic biomarker in ovarian cancer, but KRAS mutations and REDD1 protein over-expression were not correlated in OC. PMID: 25337238
- Caspase 3 cleaved REDD1 during apoptotic activation. PMID: 25058423
- the results demonstrate that REDD1 acts not only as a repressor of mTORC1 but also as a constant modulator of the phosphorylation of Akt in response to growth factors and nutrients. PMID: 25056877
- analysis of ubiquitin-mediated proteolysis of DNA damage-inducible transcript 4 (DDIT4) by the E3 ligase HUWE1 PMID: 25147182
- Translocation to the plasma membrane appears to be an inactivation mechanism of REDD1 by G-protein coupled receptors. PMID: 24338366
- these postmortem and preclinical findings identify REDD1 as a critical mediator of the atrophy of neurons and depressive behavior caused by chronic stress exposure PMID: 24728411
- REDD1 expression plays a role in maintaining normal function of placenta, while the increase of REDD1 is related to the pathogenesis of pre-eclampsia. PMID: 22527987
- mTORC1 regulates REDD1 protein stability in a 26S proteasome dependent manner. PMID: 23717519
- The sustained overexpression of Redd1 leads to mTORC1 inhibition and to consequent Akt activation that is involved in cell survival. PMID: 23528835
- An immobilization-induced attenuation of mTORC1 signaling mediated by induction of REDD1/2 and defective p70S6K1 phosphorylation. PMID: 23193052
- mechanisms have evolved in tumors to escape growth suppressive signals resulting from VHL loss and REDD1 upregulation PMID: 21798997
- REDD1 is a new host defense factor, and chemical activation of REDD1 expression represents a potent antiviral intervention strategy PMID: 21909097
- these results collectively demonstrate that TXNIP stabilizes Redd1 protein induced by ATF4 in response to 2-DG, resulting in potentiation of mTOR suppression. PMID: 21460850
- Metformin increases REDD1 expression in a p53-dependent manner. REDD1 invalidation, using siRNA or REDD1(-/-) cells, abrogates metformin inhibition of mTOR. PMID: 21540236
- Data show that miR-495 expression was directly modulated by transcription factor E12/E47, and promotes oncogenesis via downregulation of E-cadherin and REDD1. PMID: 21258409
- these results provide preliminary evidence that Redd1 inhibits the invasive activity of NSCLC cells via suppression of the mTOR downstream pathway. PMID: 21414293
- DDIT4, an inhibitor of mTOR signaling, is a direct target for 1,25(OH)(2)D(3) and VDRE-BP, and functions to suppress cell proliferation in response to vitamin D PMID: 21123297
- In the HER2 overexpression type and triple-negative breast carcer, tumor cell proliferation and survival in the hypoxic tumor environment could possibly be due to disinhibition of the mTOR pathway and HIF-1alpha stabilization by downregulation of REDD1. PMID: 21266827
- Our data support the notion that Rtp801 may represent a major molecular sensor and mediator of cigarette smoke-induced lung injury. PMID: 20473305
- PKR represents a cognitive decline biomarker able to dysregulate translation via two consecutive targets p53 and Redd1 in Alzheimer disease lymphocytes PMID: 19210572
- that expression of RTP801 was lower in oral lichen planus than in controls PMID: 20374513
- sertraline exerts antiproliferative activity by targeting the mTOR signaling pathway in a REDD1-dependent manner PMID: 20354178
- Structure/function analyses have led us to identify two segments in REDD1 that are essential for mTORC1 inhibition. PMID: 20166753
- Insulin induces REDD1 expression through hypoxia-inducible factor 1 activation in adipocytes. PMID: 19996311
- RTP801 might play important roles in Abeta toxicity and the pathogenesis of Alzheimer's disease PMID: 14646594
- co-transfection with antisense Sp1 oligonucleotide suggests that hypoxia induction of the RTP801 promoter is mediated by Sp1 PMID: 15180327
- REDD1 (RTP801) can act as a transcriptional downstream target of PI 3-kinase signaling in human prostate cancer cells. PMID: 15592522
- RTP801 and RTP801L work downstream of AKT and upstream of TSC2 to inhibit mTOR functions PMID: 15632201
- REDD1 as a critical transducer of the cellular response to energy depletion through the TSC-mTOR pathway. PMID: 15988001
- Stress response gene REDD1 is identified in this review as an essential regulator of checkpoint kinase mTOR activity through the tuberous sclerosis tumor suppressors TSC1/2 complex. PMID: 16258273
- The elevation of RTP801 we detect in PD substantia nigral neurons may mediate their degeneration. PMID: 17005863
- These results demonstrate that hypoxic condition-and high cell density-induced expression of Redd1 is mediated by coactivation of Sp1 and HIF-1alpha downstream of the PI3K/Akt signaling pathway. PMID: 17307335
顯示更多
收起更多
-
亞細胞定位:Mitochondrion. Cytoplasm, cytosol.
-
蛋白家族:DDIT4 family
-
組織特異性:Broadly expressed, with lowest levels in brain, skeletal muscle and intestine. Up-regulated in substantia nigra neurons from Parkinson disease patients (at protein level).
-
數據庫鏈接:
Most popular with customers
-
-
YWHAB Recombinant Monoclonal Antibody
Applications: ELISA, WB, IHC, IF, FC
Species Reactivity: Human, Mouse, Rat
-
Phospho-YAP1 (S127) Recombinant Monoclonal Antibody
Applications: ELISA, WB, IHC
Species Reactivity: Human
-
-
-
-
-















