DDHD2 Antibody
-
中文名稱:DDHD2兔多克隆抗體
-
貨號:CSB-PA006586LA01HU
-
規格:¥3900
-
圖片:
-
Western Blot
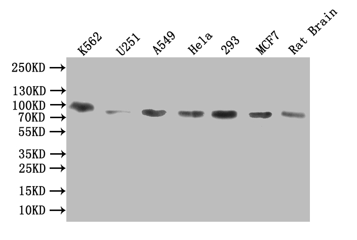
Positive WB detected in: K562 whole cell lysate, U251 whole cell lysate, A549 whole cell lysate, Hela whole cell lysate, 293 whole cell lysate, MCF7 whole cell lysate, Rat Brain tissue lysate
All lanes: DDHD2 antibody at 1:1000
Secondary
Goat polyclonal to rabbit IgG at 1/50000 dilution
Predicted band size: 82 kDa
Observed band size: 82 kDa -
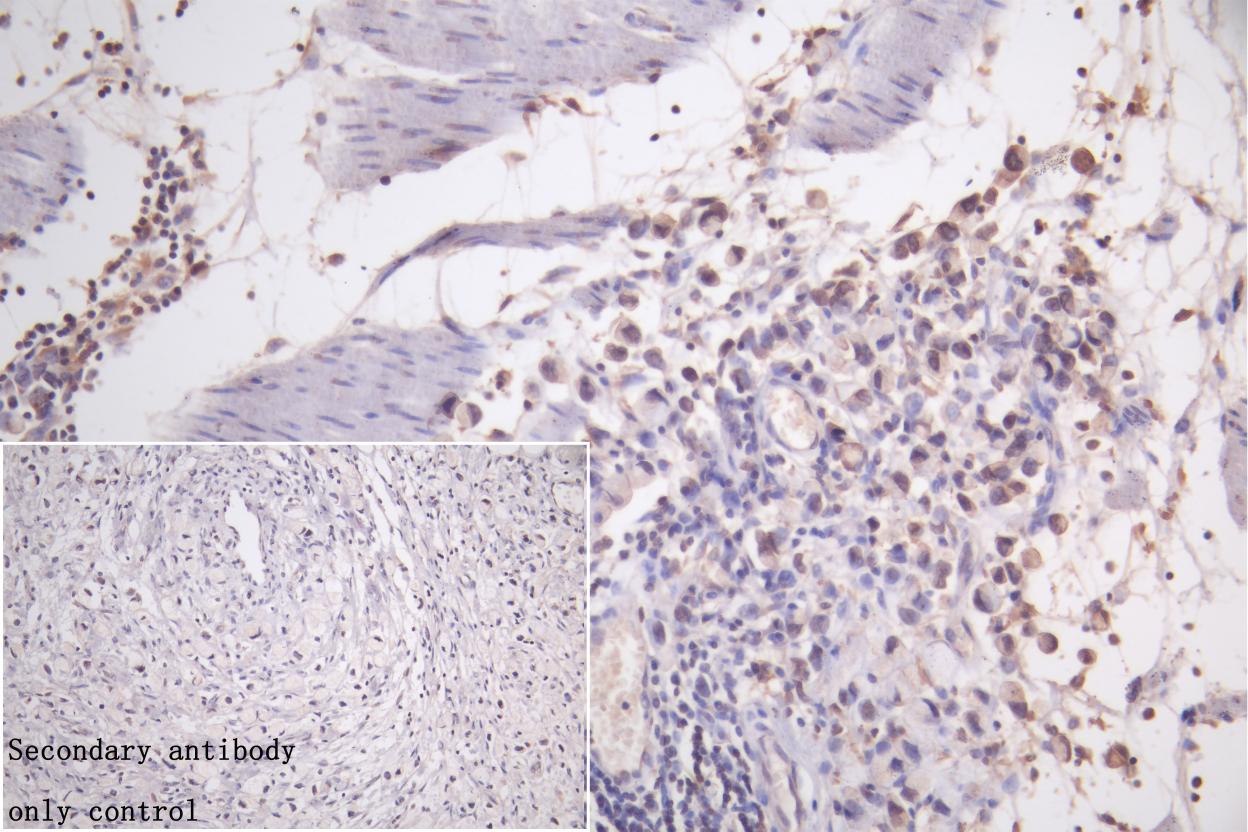
IHC image of CSB-PA006586LA01HU diluted at 1:50 and staining in paraffin-embedded human gastric cancer performed on a Leica BondTM system. After dewaxing and hydration, antigen retrieval was mediated by high pressure in a citrate buffer (pH 6.0). Section was blocked with 10% normal goat serum 30min at RT. Then primary antibody (1% BSA) was incubated at 4°C overnight. The primary is detected by a Goat anti-rabbit polymer IgG labeled by HRP and visualized using 0.05% DAB. Secondary antibody only control: uses 1% BSA instead of primary antibody.
-
Immunofluorescence staining of Hela cell with CSB-PA006586LA01HU at 1:30, counter-stained with DAPI. The cells were fixed in 4% formaldehyde and blocked in 10% normal Goat Serum. The cells were then incubated with the antibody overnight at 4C. The secondary antibody was Alexa Fluor 488-congugated AffiniPure Goat Anti-Rabbit IgG(H+L).
-
Immunofluorescence staining of Hela cell with 5% goat serum, counter-stained with DAPI. The cells were fixed in 4% formaldehyde and blocked in 10% normal Goat Serum. The cells were then incubated with the antibody overnight at 4C. The secondary antibody was Alexa Fluor 488-congugated AffiniPure Goat Anti-Rabbit IgG(H+L).
-
Immunofluorescence staining of U251 cell with CSB-PA006586LA01HU at 1:30, counter-stained with DAPI. The cells were fixed in 4% formaldehyde and blocked in 10% normal Goat Serum. The cells were then incubated with the antibody overnight at 4C. The secondary antibody was Alexa Fluor 488-congugated AffiniPure Goat Anti-Rabbit IgG(H+L).
-
Immunofluorescence staining of U251 cell with 5% goat serum, counter-stained with DAPI. The cells were fixed in 4% formaldehyde and blocked in 10% normal Goat Serum. The cells were then incubated with the antibody overnight at 4C. The secondary antibody was Alexa Fluor 488-congugated AffiniPure Goat Anti-Rabbit IgG(H+L).
-
-
其他:
產品詳情
-
產品名稱:Rabbit anti-Homo sapiens (Human) DDHD2 Polyclonal antibody
-
Uniprot No.:
-
基因名:DDHD2
-
別名:DDHD domain containing protein 2 antibody; DDHD domain-containing protein 2 antibody; Ddhd2 antibody; DDHD2_HUMAN antibody; KIAA0725 antibody; mKIAA0725 antibody; Phospholipase DDHD2 antibody; SAM antibody; SAM; WWE and DDHD domain containing protein 1 antibody; SAMWD1 antibody; WWE and DDHD domain-containing protein 1 antibody
-
宿主:Rabbit
-
反應種屬:Human, Rat
-
免疫原:Recombinant Human Phospholipase DDHD2 protein (361-650AA)
-
免疫原種屬:Homo sapiens (Human)
-
標記方式:Non-conjugated
本頁面中的產品,DDHD2 Antibody (CSB-PA006586LA01HU),的標記方式是Non-conjugated。對于DDHD2 Antibody,我們還提供其他標記。見下表:
-
克隆類型:Polyclonal
-
抗體亞型:IgG
-
純化方式:Antigen?affinity?purification
-
濃度:It differs from different batches. Please contact us to confirm it.
-
保存緩沖液:Preservative:?0.02%?sodium?azide
Constituents:?PBS?containing?50%?glycerol -
產品提供形式:Liquid
-
應用范圍:ELISA, WB, IHC, IF
-
推薦稀釋比:
Application Recommended Dilution WB 1:1000-1:5000 IHC ?1:50-1:500 IF 1:20-1:200 -
Protocols:
-
儲存條件:Upon receipt, store at -20°C or -80°C. Avoid repeated freeze.
-
貨期:Basically, we can dispatch the products out in 1-3 working days after receiving your orders. Delivery time maybe differs from different purchasing way or location, please kindly consult your local distributors for specific delivery time.
-
用途:For Research Use Only. Not for use in diagnostic or therapeutic procedures.
相關產品
靶點詳情
-
功能:Phospholipase that hydrolyzes preferentially phosphatidic acid, including 1,2-dioleoyl-sn-phosphatidic acid, and phosphatidylethanolamine. Specifically binds to phosphatidylinositol 3-phosphate (PI(3)P), phosphatidylinositol 4-phosphate (PI(4)P), phosphatidylinositol 5-phosphate (PI(5)P) and possibly phosphatidylinositol 4,5-bisphosphate (PI(4,5)P2). May be involved in the maintenance of the endoplasmic reticulum and/or Golgi structures. May regulate the transport between Golgi apparatus and plasma membrane.
-
基因功能參考文獻:
- A set of HSP-related mutations in DDHD2 disrupt triglyceride hydrolase activity in vitro and impair the capacity of DDHD2 to protect cells from lipid droplet accumulation after exposure to free fatty acid.Genetic inactivation of DDHD2 from HSP-associated mutations perturbs lipid homeostasis and the formation and content of LDs. DDHD2 plays a role in triglyceride metabolism for normal CNS function. PMID: 29278326
- Truncating mutation has been found in the DDHD2 gene in a large consanguineous family with hereditary spastic paraplegia and intellectual disability. PMID: 26113134
- Our results provide an extensive genome wide set of targets for miR-503, miR-103, and miR-494, and suggest that miR-503 may act as a tumor suppressor in breast cancer by its direct non-canonical targeting of DDHD2. PMID: 25653011
- Three missense mutations including p.Val220Phe of DDHD2 significantly reduced PLA1 activity and indicated that the loss of PLA1 activity significantly contributes to SPG54 pathogenicity. PMID: 25417924
- study reports two Italian brothers with autosomal recessive hereditary spastic paraplegia with thin corpus callosum due to two deleterious compound heterozygous missense mutations that have been identified in the DDHD2 gene by exome sequencing PMID: 24517879
- The DDHD2 gene shows a low mutation frequency in a general population of complicated hereditary spastic paraparesis PMID: 24337409
- Two deleterious mutations in the phospholipase DDHD2 gene in two families with complicated Hereditary spastic paraplegias. PMID: 23486545
- mutations in DDHD2 cause a specific complex HSP subtype (SPG54), thereby linking a member of the PLA(1) family to human neurologic disease. PMID: 23176823
- KIAAO725p is targeted to specific organelle membranes in a phosphoinositide-dependent manner. PMID: 22922100
- KIAA0725p is localized in the Golgi [KIAA0725p] PMID: 20932832
- Data show that FGFR1 and DDHD2 at 8p12 cooperated functionally with MYC, whereas CCND1 and ZNF703 cooperated with a dominant negative form of TP53. PMID: 19330026
顯示更多
收起更多
-
相關疾病:Spastic paraplegia 54, autosomal recessive (SPG54)
-
亞細胞定位:Cytoplasm, cytosol. Endoplasmic reticulum-Golgi intermediate compartment. Golgi apparatus, cis-Golgi network. Note=Cycles between the Golgi apparatus and the cytosol. DDHD2 recruitment to the Golgi/endoplasmic reticulum-Golgi intermediate compartment (ERGIC) is regulated by the levels of phosphoinositides, including PI(4)P.
-
蛋白家族:PA-PLA1 family
-
組織特異性:Widely expressed (at protein level).
-
數據庫鏈接:
Most popular with customers
-
-
YWHAB Recombinant Monoclonal Antibody
Applications: ELISA, WB, IHC, IF, FC
Species Reactivity: Human, Mouse, Rat
-
Phospho-YAP1 (S127) Recombinant Monoclonal Antibody
Applications: ELISA, WB, IHC
Species Reactivity: Human
-
-
-
-
-















