DCXR Antibody
-
中文名稱:DCXR兔多克隆抗體
-
貨號:CSB-PA772022ESR1HU
-
規格:¥440
-
圖片:
-
Western blot
All lanes: DCXR antibody at 2.93μg/ml
Lane 1: Mouse gonadal tissue
Lane 2: HepG2 whole cell lysate
Lane 3: A431 whole cell lysate
Lane 4: MCF-7 whole cell lysate
Secondary
Goat polyclonal to rabbit IgG at 1/10000 dilution
Predicted band size: 26 kDa
Observed band size: 26 kDa -
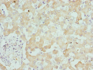
Immunohistochemistry of paraffin-embedded human liver tissue using CSB-PA772022ESR1HU at dilution of 1:100
-
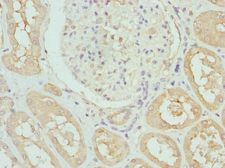
Immunohistochemistry of paraffin-embedded human kidney tissue using CSB-PA772022ESR1HU at dilution of 1:100
-
-
其他:
產品詳情
-
產品名稱:Rabbit anti-Homo sapiens (Human) DCXR Polyclonal antibody
-
Uniprot No.:
-
基因名:DCXR
-
別名:Carbonyl reductase 2 antibody; Carbonyl reductase II antibody; DCR antibody; Dcxr antibody; DCXR_HUMAN antibody; Dicarbonyl and L xylulose reductase antibody; Dicarbonyl L xylulose reductase antibody; Dicarbonyl/ L xylulose reductase antibody; Dicarbonyl/L-xylulose reductase antibody; HCR2 antibody; HCRII antibody; Human carbonyl reductase 2 antibody; kiDCR antibody; Kidney dicarbonyl reductase antibody; L xylulose reductase antibody; L-xylulose reductase antibody; P34H antibody; PNTSU antibody; SDR20C1 antibody; Short chain dehydrogenase/reductase family 20C member 1 antibody; Sperm surface protein P34H antibody; XR antibody
-
宿主:Rabbit
-
反應種屬:Human, Mouse
-
免疫原:Recombinant Human L-xylulose reductase protein (1-244AA)
-
免疫原種屬:Homo sapiens (Human)
-
標記方式:Non-conjugated
-
克隆類型:Polyclonal
-
抗體亞型:IgG
-
純化方式:Antigen Affinity Purified
-
濃度:It differs from different batches. Please contact us to confirm it.
-
保存緩沖液:PBS with 0.02% sodium azide, 50% glycerol, pH7.3.
-
產品提供形式:Liquid
-
應用范圍:ELISA, WB, IHC
-
推薦稀釋比:
Application Recommended Dilution WB 1:1000-1:5000 IHC 1:20-1:200 -
Protocols:
-
儲存條件:Upon receipt, store at -20°C or -80°C. Avoid repeated freeze.
-
貨期:Basically, we can dispatch the products out in 1-3 working days after receiving your orders. Delivery time maybe differs from different purchasing way or location, please kindly consult your local distributors for specific delivery time.
-
用途:For Research Use Only. Not for use in diagnostic or therapeutic procedures.
相關產品
靶點詳情
-
功能:Catalyzes the NADPH-dependent reduction of several pentoses, tetroses, trioses, alpha-dicarbonyl compounds and L-xylulose. Participates in the uronate cycle of glucose metabolism. May play a role in the water absorption and cellular osmoregulation in the proximal renal tubules by producing xylitol, an osmolyte, thereby preventing osmolytic stress from occurring in the renal tubules.
-
基因功能參考文獻:
- Ureaplasma urealyticum infection may affect the level of P34H protein expression on spermatozoa PMID: 28012250
- identification of DCXR as an enzyme activity mediating chemical redox cycling suggests that it may be important in generating cytotoxic reactive oxygen species in the lung PMID: 28595002
- Low expression of DCXR is associated with hepatocellular carcinoma. PMID: 27658779
- EGCG is a potential inhibitor to human DCXR. PMID: 23661708
- combined frequency of the two mutant DCXR alleles in 1,067 Ashkenazi Jewish controls was 0.0173, suggesting a pentosuria frequency of approximately one in 3,300 in this population PMID: 22042873
- highly expressed in kidney and liver PMID: 11882650
- crystallization and preliminary crystallographic analysis PMID: 12136162
- structure of the tetrameric form of human L-Xylulose reductase PMID: 15906319
- Our results demonstrate that the proportion of positive P34H cases that produced embryos in vitro clearly differs from cases with undetectable levels of P34H (P<.001). PMID: 16616743
- These results suggested that altered HCR2 expression might play roles in the carcinogenesis and progression of hepatocellular carcinoma. PMID: 16847567
- A significant proportion of men investigated for male infertility may be epididymal protein P34H deficient. PMID: 17434498
- Decreased membranous expression of DCXR with altered subcellular localization appears to be associated with malignant progression of melanocytic lesions in human skin. PMID: 17576332
- DCXR trranfected into mice may function in the removal of renal alpha-dicarbonyl compounds under oxidative circumstances, but it is not sufficient to suppress acute renal fibrosis. PMID: 18079483
- DCXR overexpression has the potential to be an additional useful biomarker for prostate cancer. PMID: 18086765
- The action of human XR may be regulated by cellular redox conditions through reversible disulfide-bond formation and by S-cysteinylation. PMID: 19337691
顯示更多
收起更多
-
相關疾病:Pentosuria (PNTSU)
-
亞細胞定位:Membrane; Peripheral membrane protein.
-
蛋白家族:Short-chain dehydrogenases/reductases (SDR) family
-
組織特異性:Highly expressed in kidney, liver and epididymis. In the epididymis, it is mainly expressed in the proximal and distal sections of the corpus region. Weakly or not expressed in brain, lung, heart, spleen and testis.
-
數據庫鏈接:
Most popular with customers
-
-
YWHAB Recombinant Monoclonal Antibody
Applications: ELISA, WB, IHC, IF, FC
Species Reactivity: Human, Mouse, Rat
-
Phospho-YAP1 (S127) Recombinant Monoclonal Antibody
Applications: ELISA, WB, IHC
Species Reactivity: Human
-
-
-
-
-















