DCTN4 Antibody
-
中文名稱:DCTN4兔多克隆抗體
-
貨號:CSB-PA034013
-
規格:¥1100
-
圖片:
-
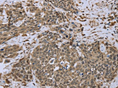
The image on the left is immunohistochemistry of paraffin-embedded Human ovarian cancer tissue using CSB-PA034013(DCTN4 Antibody) at dilution 1/50, on the right is treated with fusion protein. (Original magnification: ×200)
-
The image on the left is immunohistochemistry of paraffin-embedded Human cervical cancer tissue using CSB-PA034013(DCTN4 Antibody) at dilution 1/50, on the right is treated with fusion protein. (Original magnification: ×200)
-
-
其他:
產品詳情
-
Uniprot No.:
-
基因名:DCTN4
-
別名:DCTN 4 antibody; Dctn4 antibody; DCTN4_HUMAN antibody; Dynactin 4 (p62) antibody; Dynactin 4 antibody; Dynactin p62 subunit antibody; Dynactin subunit 4 antibody; Dynactin subunit p62 antibody; Dynactin4 antibody; p62 antibody
-
宿主:Rabbit
-
反應種屬:Human,Mouse,Rat
-
免疫原:Fusion protein of Human DCTN4
-
免疫原種屬:Homo sapiens (Human)
-
標記方式:Non-conjugated
-
抗體亞型:IgG
-
純化方式:Antigen affinity purification
-
濃度:It differs from different batches. Please contact us to confirm it.
-
保存緩沖液:-20°C, pH7.4 PBS, 0.05% NaN3, 40% Glycerol
-
產品提供形式:Liquid
-
應用范圍:ELISA,IHC
-
推薦稀釋比:
Application Recommended Dilution ELISA 1:2000-1:10000 IHC 1:100-1:300 -
Protocols:
-
儲存條件:Upon receipt, store at -20°C or -80°C. Avoid repeated freeze.
-
貨期:Basically, we can dispatch the products out in 1-3 working days after receiving your orders. Delivery time maybe differs from different purchasing way or location, please kindly consult your local distributors for specific delivery time.
-
用途:For Research Use Only. Not for use in diagnostic or therapeutic procedures.
相關產品
靶點詳情
-
功能:Could have a dual role in dynein targeting and in ACTR1A/Arp1 subunit of dynactin pointed-end capping. Could be involved in ACTR1A pointed-end binding and in additional roles in linking dynein and dynactin to the cortical cytoskeleton.
-
基因功能參考文獻:
- Findings provide evidence that DCTN4 missense variants, especially p.Tyr263Cys, may be involved in the pathogenesis of chronic Pseudomonas aeruginosa infection in male with cystic fi brosis. PMID: 25763772
- used an extreme phenotype study to discover that variants in DCTN4, encoding a dynactin protein, are associated with time to first P. aeruginosa airway infection, chronic P. aeruginosa infection and mucoid P. aeruginosa in individuals with cystic fibrosis PMID: 22772370
- ATP7B interaction with p62 is a key component of the copper-induced trafficking pathway that delivers ATP7B to subapical vesicles of hepatocytes for the removal of excess copper into bile PMID: 16554302
-
亞細胞定位:Cytoplasm, cytoskeleton. Cytoplasm, cytoskeleton, microtubule organizing center, centrosome. Cytoplasm, cytoskeleton, stress fiber. Cytoplasm, cell cortex. Cytoplasm, myofibril, sarcomere.
-
蛋白家族:Dynactin subunit 4 family
-
數據庫鏈接:
Most popular with customers
-
-
YWHAB Recombinant Monoclonal Antibody
Applications: ELISA, WB, IHC, IF, FC
Species Reactivity: Human, Mouse, Rat
-
-
-
-
-
-















