DCTN2 Antibody
-
中文名稱:DCTN2兔多克隆抗體
-
貨號:CSB-PA176976
-
規格:¥1100
-
圖片:
-
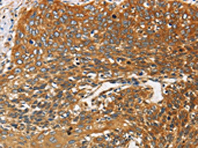
The image on the left is immunohistochemistry of paraffin-embedded Human cervical cancer tissue using CSB-PA176976(DCTN2 Antibody) at dilution 1/25, on the right is treated with fusion protein. (Original magnification: ×200)
-
The image on the left is immunohistochemistry of paraffin-embedded Human thyroid cancer tissue using CSB-PA176976(DCTN2 Antibody) at dilution 1/25, on the right is treated with fusion protein. (Original magnification: ×200)
-
Gel: 8%SDS-PAGE, Lysate: 40 μg, Lane 1-3: 293T cells, mouse brain tissue, A375 cells, Primary antibody: CSB-PA176976(DCTN2 Antibody) at dilution 1/200, Secondary antibody: Goat anti rabbit IgG at 1/8000 dilution, Exposure time: 20 seconds
-
-
其他:
產品詳情
-
Uniprot No.:
-
基因名:DCTN2
-
別名:50 kD dynein associated polypeptide antibody; 50 kDa dynein associated polypeptide antibody; 50 kDa dynein-associated polypeptide antibody; DCTN-50 antibody; DCTN2 antibody; DCTN2_HUMAN antibody; DCTN50 antibody; dynactin 2 (p50) antibody; dynactin 2 antibody; dynactin complex 50 kD subunit antibody; Dynactin complex 50 kDa subunit antibody; Dynactin subunit 2 antibody; DYNAMITIN antibody; p50 dynamitin antibody; RBP50 antibody
-
宿主:Rabbit
-
反應種屬:Human,Mouse,Rat
-
免疫原:Fusion protein of Human DCTN2
-
免疫原種屬:Homo sapiens (Human)
-
標記方式:Non-conjugated
-
抗體亞型:IgG
-
純化方式:Antigen affinity purification
-
濃度:It differs from different batches. Please contact us to confirm it.
-
保存緩沖液:-20°C, pH7.4 PBS, 0.05% NaN3, 40% Glycerol
-
產品提供形式:Liquid
-
應用范圍:ELISA,WB,IHC
-
推薦稀釋比:
Application Recommended Dilution ELISA 1:2000-1:5000 WB 1:200-1:1000 IHC 1:50-1:200 -
Protocols:
-
儲存條件:Upon receipt, store at -20°C or -80°C. Avoid repeated freeze.
-
貨期:Basically, we can dispatch the products out in 1-3 working days after receiving your orders. Delivery time maybe differs from different purchasing way or location, please kindly consult your local distributors for specific delivery time.
-
用途:For Research Use Only. Not for use in diagnostic or therapeutic procedures.
相關產品
靶點詳情
-
功能:Modulates cytoplasmic dynein binding to an organelle, and plays a role in prometaphase chromosome alignment and spindle organization during mitosis. Involved in anchoring microtubules to centrosomes. May play a role in synapse formation during brain development.
-
基因功能參考文獻:
- This is the first time a haplotype on chromosome 12 containing sequence variants in the genes DCTN2, DNAH10, LRIG3, and MYO1A has been linked to an inherited neuropathy in humans. PMID: 26517670
- dynamitin is involved in the regulation of Nav1.5 cell-surface density PMID: 25088759
- the determinants of p50/DM required for self-oligomerization of the protein and for interactions with other subunits of the dynactin complex PMID: 20463029
- Altered levels of Cep135 and p50 by RNAi and protein overexpression caused the release of endogenous partner molecules from centrosomes. PMID: 14983524
- the Sec23p component of the COPII complex directly interacts with the dynactin complex through the carboxy-terminal cargo-binding domain of p150(Glued). PMID: 15580264
- DCTN2 is required in the earliest stages of peroxisome biogenesis. PMID: 15813749
- study does not support a major role for DCTN2 overexpression in carcinogenesis PMID: 16369996
- Data show how dynamitin's different structural domains contribute to its ability to self-associate, interact with dynactin and assemble into a complex with its close binding partner, p24. PMID: 18182012
- The interaction between ZW10 and dynamitin showed that the N-terminal region of ZW10 is the major binding site for dynamitin and, like full-length ZW10, could move along microtubules to the centrosomal area in a dynein-dynactin-dependent manner. PMID: 18782227
顯示更多
收起更多
-
亞細胞定位:Cytoplasm, cytoskeleton, microtubule organizing center, centrosome. Membrane; Peripheral membrane protein.
-
蛋白家族:Dynactin subunit 2 family
-
數據庫鏈接:
Most popular with customers
-
-
YWHAB Recombinant Monoclonal Antibody
Applications: ELISA, WB, IHC, IF, FC
Species Reactivity: Human, Mouse, Rat
-
Phospho-YAP1 (S127) Recombinant Monoclonal Antibody
Applications: ELISA, WB, IHC
Species Reactivity: Human
-
-
-
-
-















