DCTN1 Antibody
-
中文名稱:DCTN1兔多克隆抗體
-
貨號:CSB-PA547632
-
規格:¥1100
-
圖片:
-
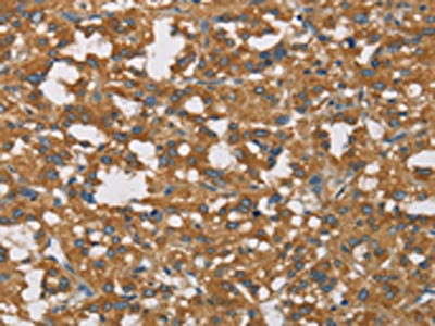
The image on the left is immunohistochemistry of paraffin-embedded Human thyroid cancer tissue using CSB-PA547632(DCTN1 Antibody) at dilution 1/50, on the right is treated with fusion protein. (Original magnification: ×200)
-
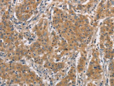
The image on the left is immunohistochemistry of paraffin-embedded Human gastric cancer tissue using CSB-PA547632(DCTN1 Antibody) at dilution 1/50, on the right is treated with fusion protein. (Original magnification: ×200)
-
Gel: 6%SDS-PAGE, Lysate: 40 μg, Lane: 293T cells, Primary antibody: CSB-PA547632(DCTN1 Antibody) at dilution 1/200, Secondary antibody: Goat anti rabbit IgG at 1/8000 dilution, Exposure time: 10 seconds
-
-
其他:
產品詳情
-
Uniprot No.:
-
基因名:
-
別名:150 kDa dynein associated polypeptide antibody; 150 kDa dynein-associated polypeptide antibody; DAP 150 antibody; DAP-150 antibody; DAP150 antibody; DCTN 1 antibody; DCTN1 antibody; DCTN1_HUMAN antibody; DP 150 antibody; DP-150 antibody; DP150 antibody; Dynactin 1 (p150 Glued (Drosophila) homolog) antibody; Dynactin 1 (p150 glued homolog Drosophila) antibody; Dynactin 1 antibody; Dynactin subunit 1 antibody; Dynactin1 antibody; HMN7B antibody; p135 antibody; p150 Glued (Drosophila) homolog antibody; p150 glued antibody; p150 glued homolog antibody; p150(GLUED) DROSOPHILA HOMOLOG OF antibody; p150-glued antibody; p150glued antibody
-
宿主:Rabbit
-
反應種屬:Human,Mouse,Rat
-
免疫原:Fusion protein of Human DCTN1
-
免疫原種屬:Homo sapiens (Human)
-
標記方式:Non-conjugated
-
抗體亞型:IgG
-
純化方式:Antigen affinity purification
-
濃度:It differs from different batches. Please contact us to confirm it.
-
保存緩沖液:-20°C, pH7.4 PBS, 0.05% NaN3, 40% Glycerol
-
產品提供形式:Liquid
-
應用范圍:ELISA,WB,IHC
-
推薦稀釋比:
Application Recommended Dilution ELISA 1:2000-1:10000 WB 1:200-1:1000 IHC 1:100-1:300 -
Protocols:
-
儲存條件:Upon receipt, store at -20°C or -80°C. Avoid repeated freeze.
-
貨期:Basically, we can dispatch the products out in 1-3 working days after receiving your orders. Delivery time maybe differs from different purchasing way or location, please kindly consult your local distributors for specific delivery time.
-
用途:For Research Use Only. Not for use in diagnostic or therapeutic procedures.
相關產品
靶點詳情
-
功能:Plays a key role in dynein-mediated retrograde transport of vesicles and organelles along microtubules by recruiting and tethering dynein to microtubules. Binds to both dynein and microtubules providing a link between specific cargos, microtubules and dynein. Essential for targeting dynein to microtubule plus ends, recruiting dynein to membranous cargos and enhancing dynein processivity (the ability to move along a microtubule for a long distance without falling off the track). Can also act as a brake to slow the dynein motor during motility along the microtubule. Can regulate microtubule stability by promoting microtubule formation, nucleation and polymerization and by inhibiting microtubule catastrophe in neurons. Inhibits microtubule catastrophe by binding both to microtubules and to tubulin, leading to enhanced microtubule stability along the axon. Plays a role in metaphase spindle orientation. Plays a role in centriole cohesion and subdistal appendage organization and function. Its recruitment to the centriole in a KIF3A-dependent manner is essential for the maintenance of centriole cohesion and the formation of subdistal appendage. Also required for microtubule anchoring at the mother centriole. Plays a role in primary cilia formation.
-
基因功能參考文獻:
- DCTN1 mutations were identified in a family with motor-neuron disease before the discovery in Perry syndrome. PMID: 28625595
- ASK1- induced phosphorylation of EB1 not only increases its plus end-tracking ability, but also promotes its recruitment of CLIP170 and p150glued to astral microtubules. PMID: 28039481
- DCTN1 p.K56R in patients with PSP. PMID: 27132499
- Results suggested that variants in DCTN1 are not common risk factors for Chinese sporadic amyotrophic lateral sclerosis and that the frequency of variants of unknown significance in the cohort study was 0.39%. PMID: 28792508
- This work reveals the structural details of Hook3's interaction with dynein and offers insight into how cargo adaptors form processive dynein-dynactin motor complexes. PMID: 27482052
- No DCTN1 variants of disease significance were identified in this study suggesting the dynactin genes are unlikely to be a common cause of inherited peripheral neuropathies. PMID: 26662454
- Mutations in the Dynactin 1 (DCTN1) gene have been demonstrated to result in various neurodegenerative diseases, including distal hereditary motor neuropathy type 7B. In the present study, a p.G59S mutation was identified as the underlying cause of Distal hereditary motor neuropathy type 7B in two families, and their detailed clinical features were characterized. PMID: 27573046
- Study found that in peripheral blood mononuclear cells the median expression of KIFC3, KIF1B, and KIF5C was much lower than the expression of dynactin subunits DCTN1 and DCTN3, in both sporadic amyotrophic lateral sclerosis and healthy cases PMID: 26954557
- Data suggest that cargo concentration at ERES is regulated by p150(glued) to coordinate protein sorting and transport carrier formation with the subsequent long-range transport towards the Golgi complex along microtubules. PMID: 26459637
- Study shows p150glued located at the centrosome in a cell cycle-dependent manner where it is abundant during G1/S phase, located in the minus-end of microtubules during G2/M phase and at the minus-end of microtubules in the mitotic phase. PMID: 25774020
- We find that LRRK1-mediated phosphorylation of CLIP-170 causes the accumulation of p150(Glued) (also known as DCTN1) a subunit of dynactin, at microtubule plus ends, thereby facilitating the migration of EGFR-containing endosomes. PMID: 25413345
- The results describe the mutant dynactin p150Glued mouse model of motor neuron disease and show that genetic background influences phenotype in part through a region of chromosome 17 supporting the presence of genetic modifiers. PMID: 25763819
- Dynactin functions as both a dynamic tether and brake during dynein-driven motility. PMID: 25185702
- HPS6 interacts with dynactin p150Glued to mediate retrograde trafficking and maturation of lysosomes PMID: 25189619
- Taken together, topographic and functional interactions between dynactin, importin-beta and RanBP2 are involved in nuclear translocation of IGF-1R. PMID: 24909165
- DCTN1 mutations linked with neurogeneration on Guam. PMID: 25558820
- The results of this study DCTN1 mutations may contribute to disparate neurodegenerative diagnoses, including familial motor neuron disease, parkinsonism, and frontotemporal atrophy. PMID: 24676999
- The data of this study showed evidence of both striatal dopaminergic and widespread cortical/subcortical serotonergic dysfunctions in individuals carrying a mutation in the DCTN1 gene. PMID: 24797316
- We identified 2 novel mutations of DCTN1 in patients with Perry syndrome PMID: 24484619
- The fact that SLK (LOSK) phosphorylates only a minor isoform 1A of p150(Glued) suggests that transport and microtubule-organizing functions of dynactin are distinctly divided between the two isoforms PMID: 23985322
- A DCTN1 point mutation was identified in a large family with progressive supranuclear palsy. PMID: 24343258
- Data find that dynactin has multiple functions in neurons, both activating dynein-mediated retrograde axonal transport and enhancing microtubule stability through a novel anti-catastrophe mechanism regulated by tissue-specific isoform expression PMID: 23874158
- The results of this study suggested the presence of biological changes caused by some p150 mutants pointing to a potential pathogenetic significance as modifier of the phenotype of the human disease. PMID: 23143281
- Aurora A is involved in central spindle assembly through phosphorylation of Ser 19 in P150Glued. PMID: 23547029
- in addition to its ciliogenic roles, Kif3a recruits p150(Glued) to the subdistal appendages of mother centrioles, critical for centrosomes to function as microtubule-organizing centres. PMID: 23386061
- LIS1 is required for dynein-mediated transport induced by membrane tethering of BICD2-N and LIS1 contributes to dynein accumulation at microtubule plus ends and BICD2-positive cellular structures. PMID: 22956769
- Overexpression of TBCB leads to the decreased localization of p150 to the microtubule network that might result in a functional modulation of this protein complex. PMID: 22777741
- The tubule formations were dependent on microtubule interactions, and specifically controlled by Kif16b and dynein 1. PMID: 22357949
- mTORC1 activation requires dynein-dependent transport to a position in the cell where it can be activated PMID: 22987636
- Data suggest that TRAPPC9 serves to uncouple p150(Glued) from the COPII coat, and to relay the vesicle-dynactin interaction at the target membrane. PMID: 22279557
- The p150(Glued) CAP-Gly domain regulates dynein-mediated retrograde transport at synaptic termini, and this function of dynactin is disrupted by a mutation that causes motor neuron disease. PMID: 22542187
- End-binding proteins interact with the CAP-Gly domains of CLIP-170 and p150(glued). PMID: 22119847
- Studies indicate that binding of dynactin, LIS1 and NudEL regulate cytoplasmic dynein motor activity. PMID: 22373868
- Endosome movement requires an intact dynactin complex to allow p150(Glued) to activate dynein, since p50 over-expression, which disrupts the dynactin complex, inhibits inward movement even though dynein and p150(Glued) remain membrane-bound. PMID: 21915335
- DCTN1 mutation in patients with with early stage of Perry syndrome presented with marked autonomic dysfunction including orthostatic hypotension and decreased cardiac uptake with [123]I-metaiodobenzylguanidine scintigram features PMID: 20702129
- Par6alpha controls centrosome organization through its association with the dynactin subunit p150(Glued). PMID: 20719959
- Data show that polo-like kinase 1 phosphorylation of p150(Glued) might be one major pathway of NEBD regulation. PMID: 20679239
- study describes a new family carrying a G71R mutation in the DCTN1 gene; the proband displayed a series of distinctive features not previously described in Perry syndrome PMID: 20437543
- demonstrate that the domains harboring mutated CAP-gly domains bind to microtubules but fail to bind to EB1 PMID: 20518521
- Disruption of the SNX6-p150(Glued) interaction causes failure in formation and detachment of the tubulovesicular sorting structures from endosomes and results in block of CI-MPR retrieval from endosomes to the TGN. PMID: 19935774
- DCTN1 subunit p150Glued isoforms notable for differential interaction with microtubules. PMID: 19778315
- Genomic organization of the DCTN1-SLC4A5 locus encoding both NBC4 and p150(Glued). PMID: 12063394
- dysfunction of dynactin-mediated transport can lead to human motor neuron disease PMID: 12627231
- neither APC nor p150glued binding domain is necessary for EB1 or EBF3 to induce microtubule bundling PMID: 14514668
- role in extension and assembly of adherens junctions in photoreceptor development PMID: 15067220
- Heterozygous missense mutations of DCTN1 were found in a sporadic case of ALS (T1249I), 1 pt with familial ALS (M571T), two pts with familial ALS, & two unaffected relatives (R785W). Alleleic variants of DCTN1 may be a genomic risk factor for ALS. PMID: 15326253
- The R1101K sequence alteration of the DCTN1 gene may predispose subjects to ALS and FTD. PMID: 16240349
- The Gly59Ser mutation disrupts folding of the cytoskeleton-associated protein glycine-rich (CAP-Gly) domain, resulting in aggregation of p150Glued protein in vitro and in vivo, accompanied by an increase in cell death in a motor neuron cell line. PMID: 16505168
- The function of p150(Glued) in membrane trafficking is not associated with plus-end localization. PMID: 16772339
- Dynactin p150(Glued) plays an important role in the functional integrity of the keratinocyte microparasol. PMID: 17344930
顯示更多
收起更多
-
相關疾病:Neuronopathy, distal hereditary motor, 7B (HMN7B); Amyotrophic lateral sclerosis (ALS); Perry syndrome (PERRYS)
-
亞細胞定位:Cytoplasm. Cytoplasm, cytoskeleton. Cytoplasm, cytoskeleton, microtubule organizing center, centrosome. Cytoplasm, cytoskeleton, microtubule organizing center, centrosome, centriole. Cytoplasm, cytoskeleton, spindle. Nucleus envelope. Cytoplasm, cell cortex.
-
蛋白家族:Dynactin 150 kDa subunit family
-
組織特異性:Brain.
-
數據庫鏈接:
Most popular with customers
-
-
YWHAB Recombinant Monoclonal Antibody
Applications: ELISA, WB, IHC, IF, FC
Species Reactivity: Human, Mouse, Rat
-
Phospho-YAP1 (S127) Recombinant Monoclonal Antibody
Applications: ELISA, WB, IHC
Species Reactivity: Human
-
-
-
-
-















