DCT Antibody
-
中文名稱:DCT兔多克隆抗體
-
貨號:CSB-PA951077
-
規格:¥1100
-
圖片:
-
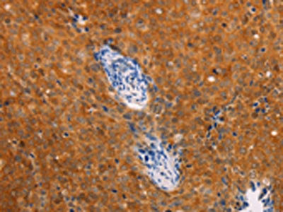
The image on the left is immunohistochemistry of paraffin-embedded Human cervical cancer tissue using CSB-PA951077(DCT Antibody) at dilution 1/25, on the right is treated with fusion protein. (Original magnification: ×200)
-
The image on the left is immunohistochemistry of paraffin-embedded Human liver cancer tissue using CSB-PA951077(DCT Antibody) at dilution 1/25, on the right is treated with fusion protein. (Original magnification: ×200)
-
Gel: 12%SDS-PAGE, Lysate: 50 μg, Lane 1-2: Human liver cancer tissue, Human fetal liver tissue, Primary antibody: CSB-PA951077(DCT Antibody) at dilution 1/200, Secondary antibody: Goat anti rabbit IgG at 1/8000 dilution, Exposure time: 5 minutes
-
-
其他:
產品詳情
-
Uniprot No.:
-
基因名:
-
別名:L dopachrome tautomerase antibody; DCT antibody; Dopachrome delta isomerase antibody; Dopachrome tautomerase antibody; Dopachrome tautomerase dopachrome delta isomerase; tyrosine related protein 2 antibody; DT antibody; EC 5.3.3.12 antibody; L dopachrome Delta isomerase antibody; L-dopachrome Delta-isomerase antibody; L-dopachrome tautomerase antibody; TRP 2 antibody; TRP-2 antibody; TRP2 antibody; Tyrosinase related protein 2 antibody; Tyrosinase-related protein 2 antibody; TYRP2 antibody; TYRP2_HUMAN antibody
-
宿主:Rabbit
-
反應種屬:Human,Mouse
-
免疫原:Fusion protein of Human DCT
-
免疫原種屬:Homo sapiens (Human)
-
標記方式:Non-conjugated
-
抗體亞型:IgG
-
純化方式:Antigen affinity purification
-
濃度:It differs from different batches. Please contact us to confirm it.
-
保存緩沖液:-20°C, pH7.4 PBS, 0.05% NaN3, 40% Glycerol
-
產品提供形式:Liquid
-
應用范圍:ELISA,WB,IHC
-
推薦稀釋比:
Application Recommended Dilution ELISA 1:2000-1:5000 WB 1:500-1:2000 IHC 1:50-1:200 -
Protocols:
-
儲存條件:Upon receipt, store at -20°C or -80°C. Avoid repeated freeze.
-
貨期:Basically, we can dispatch the products out in 1-3 working days after receiving your orders. Delivery time maybe differs from different purchasing way or location, please kindly consult your local distributors for specific delivery time.
-
用途:For Research Use Only. Not for use in diagnostic or therapeutic procedures.
相關產品
靶點詳情
-
功能:Catalyzes the conversion of L-dopachrome into 5,6-dihydroxyindole-2-carboxylic acid (DHICA).
-
基因功能參考文獻:
- High DCT expression is associated with progressive multiple sclerosis. PMID: 28923927
- High DCT expression is associated with HPV16 Infection. PMID: 28095444
- Data indicate that the caveolin-1 (CAV1) control on dopachrome tautomerase (DCT) gene expression, DCT post-translational processing, and subcellular distribution is cell phenotype-dependent. PMID: 27053106
- The effect of DCT on UVR DNA damage responses and survival pathways in melanocytes was examined by knockdown experiments using melanoma cells, neonatal melanoblasts in monoculture and in co-culture with keratinocytes. PMID: 25346513
- Report dopachrome tautomerase expression in mealanocytic tumors. PMID: 24709887
- The results suggested that the miRNAs may be involved in MITF regulation of TYR, TYRP1 and TYRP2, which provides a new clue for understanding the role of miRNAs in melanocyte dysfunctional disease. PMID: 22898827
- Data suggest that macrophage migration inhibitory factor (MIF) and d-dopachrome tautomerase (d-DT) act cooperatively to inhibit steady-state phosphorylation and activation of AMPK in LKB1 wild type and LKB1 mutant non-small cell lung carcinomas cells. PMID: 22988252
- human TRP2 counteracts apoptotic cell death induction, possibly by means of its L-dopachrome tautomerase activity, and negatively affects the p53 pathway PMID: 20520707
- Trp2 SNP2 allele is a risk factor for the development and severity of degenerative disc disease in a Chinese Han population. PMID: 20356546
- Data suggest that OTX2 may regulate retinal pigment epithelium (RPE)-specific target genes, such as DOPAchrome tautomerase (DCT), thereby maintaining the homeostasis of RPE. PMID: 12559959
- Because TRP-2(181-190) overlaps with the known HLA-A*0201-presented epitope TRP-2(180-188), an 11mer peptide encompassing both epitopes might be of specific value for vaccination of a broad population of melanoma patients. PMID: 15856458
- Transgenic Dct regulates neural progenitor cell proliferation in a mouse model. PMID: 16857183
- No genetic susceptibility or increased risk attributed to the tyrosinase gene family in Vogt-Koyanagi-Harada disease in Japanese. PMID: 17200659
- Anemonin, an active compound of C. crassifolia, inhibits melanin synthesis by inhibiting the transcription of the genes encoding TYR, TRP1, and TRP2. PMID: 17766092
- we studied a possible role of dopachrome tautomerase in the oxidative stress response in the amelanotic WM35 melanoma cell line. PMID: 18206123
- We observe strong evidence for positive selection for DCT in Asians PMID: 18312627
- Tyrosinase-, gp100-, or TRP-2-specific CD8(+) T cells could not be identified in the peripheral blood of individuals with vitiligo [TRP-2]. PMID: 18337837
- TRP-2 acts on quinone metabolites other than DOPAchrome, e.g., in the catecholamine pathway, and limits their deleterious effects. PMID: 18674612
- tyrosinase-related protein 2 (TRP-2) transcript is not detected in the peripheral blood mononuclear cells (PBMC) of vitiligo patients PMID: 19284502
- Expression profiling demonstrated that the DCT-expressing cell population expressed adrenergic and muscarinic receptors and displayed transcriptional profiles distinct from dermal melanocytes PMID: 19855129
顯示更多
收起更多
-
亞細胞定位:Melanosome membrane; Single-pass type I membrane protein. Melanosome.
-
蛋白家族:Tyrosinase family
-
數據庫鏈接:
Most popular with customers
-
-
YWHAB Recombinant Monoclonal Antibody
Applications: ELISA, WB, IHC, IF, FC
Species Reactivity: Human, Mouse, Rat
-
Phospho-YAP1 (S127) Recombinant Monoclonal Antibody
Applications: ELISA, WB, IHC
Species Reactivity: Human
-
-
-
-
-















