DCAF1 Antibody
-
中文名稱:DCAF1兔多克隆抗體
-
貨號:CSB-PA896722LA01HU
-
規格:¥440
-
圖片:
-
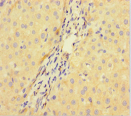
Immunohistochemistry of paraffin-embedded human liver cancer using CSB-PA896722LA01HU at dilution of 1:100
-
Immunohistochemistry of paraffin-embedded human pancreatic cancer using CSB-PA896722LA01HU at dilution of 1:100
-
Immunofluorescent analysis of Hela cells using CSB-PA896722LA01HU at dilution of 1:100 and Alexa Fluor 488-congugated AffiniPure Goat Anti-Rabbit IgG(H+L)
-
-
其他:
產品詳情
-
產品名稱:Rabbit anti-Homo sapiens (Human) DCAF1 Polyclonal antibody
-
Uniprot No.:
-
基因名:DCAF1
-
別名:DCAF1 antibody; KIAA0800 antibody; RIP antibody; VPRBPDDB1- and CUL4-associated factor 1 antibody; HIV-1 Vpr-binding protein antibody; VprBP antibody; Serine/threonine-protein kinase VPRBP antibody; EC 2.7.11.1 antibody; Vpr-interacting protein antibody
-
宿主:Rabbit
-
反應種屬:Human
-
免疫原:Recombinant Human DDB1- and CUL4-associated factor 1 protein (647-745AA)
-
免疫原種屬:Homo sapiens (Human)
-
標記方式:Non-conjugated
本頁面中的產品,DCAF1 Antibody (CSB-PA896722LA01HU),的標記方式是Non-conjugated。對于DCAF1 Antibody,我們還提供其他標記。見下表:
-
克隆類型:Polyclonal
-
抗體亞型:IgG
-
純化方式:>95%, Protein G purified
-
濃度:It differs from different batches. Please contact us to confirm it.
-
保存緩沖液:Preservative: 0.03% Proclin 300
Constituents: 50% Glycerol, 0.01M PBS, PH 7.4 -
產品提供形式:Liquid
-
應用范圍:ELISA, IHC, IF
-
推薦稀釋比:
Application Recommended Dilution IHC 1:20-1:200 IF 1:50-1:200 -
Protocols:
-
儲存條件:Upon receipt, store at -20°C or -80°C. Avoid repeated freeze.
-
貨期:Basically, we can dispatch the products out in 1-3 working days after receiving your orders. Delivery time maybe differs from different purchasing way or location, please kindly consult your local distributors for specific delivery time.
-
用途:For Research Use Only. Not for use in diagnostic or therapeutic procedures.
相關產品
靶點詳情
-
功能:Acts both as a substrate recognition component of E3 ubiquitin-protein ligase complexes and as an atypical serine/threonine-protein kinase, playing key roles in various processes such as cell cycle, telomerase regulation and histone modification. Probable substrate-specific adapter of a DCX (DDB1-CUL4-X-box) E3 ubiquitin-protein ligase complex, named CUL4A-RBX1-DDB1-DCAF1/VPRBP complex, which mediates ubiquitination and proteasome-dependent degradation of proteins such as NF2. Involved in the turnover of methylated proteins: recognizes and binds methylated proteins via its chromo domain, leading to ubiquitination of target proteins by the RBX1-DDB1-DCAF1/VPRBP complex. The CUL4A-RBX1-DDB1-DCAF1/VPRBP complex is also involved in B-cell development: DCAF1 is recruited by RAG1 to ubiquitinate proteins, leading to limit error-prone repair during V(D)J recombination. Also part of the EDVP complex, an E3 ligase complex that mediates ubiquitination of proteins such as TERT, leading to TERT degradation and telomerase inhibition. Also acts as an atypical serine/threonine-protein kinase that specifically mediates phosphorylation of 'Thr-120' of histone H2A (H2AT120ph) in a nucleosomal context, thereby repressing transcription. H2AT120ph is present in the regulatory region of many tumor suppresor genes, down-regulates their transcription and is present at high level in a number of tumors. Involved in JNK-mediated apoptosis during cell competition process via its interaction with LLGL1 and LLGL2.; (Microbial infection) In case of infection by HIV-1 virus, it is recruited by HIV-1 Vpr in order to hijack the CUL4A-RBX1-DDB1-DCAF1/VPRBP function leading to arrest the cell cycle in G2 phase, and also to protect the viral protein from proteasomal degradation by another E3 ubiquitin ligase. The HIV-1 Vpr protein hijacks the CUL4A-RBX1-DDB1-DCAF1/VPRBP complex to promote ubiquitination and degradation of proteins such as TERT and ZIP/ZGPAT.; (Microbial infection) In case of infection by HIV-2 virus, it is recruited by HIV-2 Vpx in order to hijack the CUL4A-RBX1-DDB1-DCAF1/VPRBP function leading to enhanced efficiency of macrophage infection and promotion of the replication of cognate primate lentiviruses in cells of monocyte/macrophage lineage.
-
基因功能參考文獻:
- Data suggest that HIV-1 vpr mediates polyubiquitination of HLTF by directly loading it onto C-terminal WD40 domain of DCAF1 in complex the CRL4, an E3 ubiquitin ligase. (vpr = vpr gene product of Human immunodeficiency virus 1; HLTF = human helicase like transcription factor; DCAF1 = human Vpr (HIV-1) binding protein; CRL4 = human E3 ubiquitin ligase CRL4) PMID: 29079575
- The study suggests that DCAF1 is involved in hepatitis C virus (HCV) replication through regulation of miR-122, and thus provides new insights into the interaction between HCV and the host cell. PMID: 29327233
- RNA interference-mediated knockdown of differentially regulated host factors identified Vpr binding protein (VprBP) as proviral host factor because its downregulation inhibited efficient propagation of seasonal influenza A virus. PMID: 28289176
- High VPRBP expression is associated with high-grade serous ovarian cancer. PMID: 28416635
- Together, these results characterize a novel postintegration restriction of HIV-1 replication in monocyte-derived dendritic cells and show that the interaction of Vpr with the DCAF1/DDB1 E3 ubiquitin ligase complex and the yet-to-be-identified host factor might alleviate this restriction by inducing transcription from the viral long terminal repeat. PMID: 28424288
- This study presents the crystal structure of the DDB1-DCAF1-HIV-1-Vpr-uracil-DNA glycosylase (cyclin U) complex. PMID: 27571178
- VprBP transcription was repressed by cellular miRNA-1236, which contributes to HIV-1 restriction in monocytes. miR-1236 inhibitors enhanced translation of VprBP and promoted infection. miR-1236 mimetics suppressed translation of VprBP. PMID: 24932481
- MCM10 is the natural substrate of the Cul4-DDB1[VprBP] E3 ubiquitin ligase whose degradation is regulated by VprBP, but Vpr enhances the proteasomal degradation of MCM10 by interacting with VprBP. PMID: 26032416
- Vpr downregulated APOBEC3G through Vpr-binding protein (VprBP)-mediated proteasomal degradation, and further confirmed that the reduction of APOBEC3G encapsidation associated with Vpr was due to Vpr's degradation-inducing activity. PMID: 25200749
- Vpr and Vpx share a highly similar DCAF1-binding motif, they interact with a different set of residues in DCAF1. PMID: 25499532
- VprBP, but not DDB1, directly binds to TET2-catalytic domain. PMID: 25557551
- CD44 cytoplasmic tail cleaved by RIP could release DCAF1 from merlin by competing for binding to the merlin FERM domain, which results in the inhibition of merlin-mediated suppression of tumorigenesis. PMID: 24912773
- The identification of Vpr mutants which associate with DCAF1 but only poorly with DDB1 suggests that DCAF1 is necessary but is not sufficient for the Vpr association with DDB1-containing E3 ligase complex. PMID: 24912982
- Data indicate that DCAF1 protein folds into a beta-hairpin structure and binds to the F3 lobe of neurofibromin 2 (Merlin) FERM domain. PMID: 24706749
- The predicted beta-propeller conformation of DCAF1 is likely to be critical for Vpr association. PMID: 24558487
- Our findings establish VprBP as a major kinase responsible for H2AT120p in cancer cells and suggest that VprBP inhibition could be a new strategy for the development of anticancer therapeutics. PMID: 24140421
- the crystal structure of a ternary complex of Vpx with the human E3 ligase substrate adaptor DCAF1 and the carboxy-terminal region of human SAMHD1 PMID: 24336198
- As a molecular adaptor, Vpr enhanced the interaction between TERT and the VPRBP substrate receptor of the DYRK2-associated EDD-DDB1-VPRBP E3 ligase complex, resulting in increased ubiquitination of TERT. PMID: 23612978
- Promoter-localized deacetylation of H3 tails is a prerequisite for VprBP to tether and act as a bona fide inhibitor at p53 target genes. PMID: 22184063
- This review focuses on Vpr and its HIV2/SIV counterparts, Vpx and Vpr, which all engage the DDB1.Cullin4 ubiquitin ligase complex through the DCAF1 adaptor protein. PMID: 20347598
- Study concludes that Merlin suppresses tumorigenesis by translocating to the nucleus to inhibit CRL4(DCAF1). PMID: 20178741
- demonstration that a novel human gene, KIAA0800, is preferentially expressed in the testis and is transactivated by Sox9 PMID: 12111997
- Hence, this chimeric peptide (TEAM-VP) constitutes the first example of a virus-derived mitochondriotoxic compound as a candidate to kill selectively tumor neo-endothelia. PMID: 16888644
- Recruitment of cytoplasmic protein Vpr binding protein (VprBP) by HIV-1 regulatory protein Vpr is essential for its cytostatic activity. PMID: 17314515
- The Cul4-DDB1[VprBP] E3 ubiquitin ligase complex is identified as the downstream effector of lentiviral Vpr for the induction of cell cycle arrest in G2 phase. PMID: 17609381
- Anti-tumor activity mediated by protein and peptide transduction of HIV viral protein R is reported. PMID: 19029839
顯示更多
收起更多
-
亞細胞定位:Cytoplasm. Nucleus. Note=Associated with chromatin in a DDB1-independent and cell cycle-dependent manner: recruited to chromatin as DNA is being replicated and is released from chromatin before mitosis.
-
蛋白家族:VPRBP/DCAF1 family
-
組織特異性:Ubiquitously expressed.
-
數據庫鏈接:
Most popular with customers
-
YWHAB Recombinant Monoclonal Antibody
Applications: ELISA, WB, IHC, IF, FC
Species Reactivity: Human, Mouse, Rat
-
Phospho-YAP1 (S127) Recombinant Monoclonal Antibody
Applications: ELISA, WB, IHC
Species Reactivity: Human
-
-
-
-
-
-















