DAXX Antibody
-
中文名稱:DAXX兔多克隆抗體
-
貨號:CSB-PA871395LA01HU
-
規格:¥440
-
圖片:
-
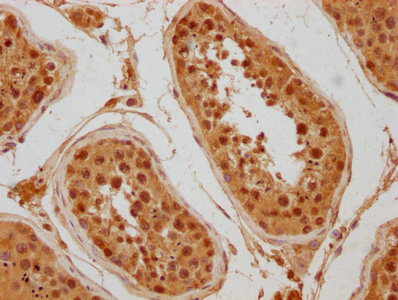
IHC image of CSB-PA871395LA01HU diluted at 1:640 and staining in paraffin-embedded human testis tissue performed on a Leica BondTM system. After dewaxing and hydration, antigen retrieval was mediated by high pressure in a citrate buffer (pH 6.0). Section was blocked with 10% normal goat serum 30min at RT. Then primary antibody (1% BSA) was incubated at 4°C overnight. The primary is detected by a biotinylated secondary antibody and visualized using an HRP conjugated SP system.
-
-
其他:
產品詳情
-
產品名稱:Rabbit anti-Homo sapiens (Human) DAXX Polyclonal antibody
-
Uniprot No.:
-
基因名:
-
別名:BING 2 antibody; BING2 antibody; CENP-C binding protein antibody; DAP 6 antibody; DAP6 antibody; Daxx antibody; DAXX_HUMAN antibody; Death associated protein 6 antibody; Death domain associated protein 6 antibody; Death domain associated protein antibody; Death domain-associated protein 6 antibody; EAP 1 antibody; EAP1 antibody; ETS1 associated protein 1 antibody; ETS1-associated protein 1 antibody; Fas binding protein antibody; Fas death domain associated protein antibody; Fas death domain-associated protein antibody; hDaxx antibody; MGC126245 antibody; MGC126246 antibody
-
宿主:Rabbit
-
反應種屬:Human
-
免疫原:Recombinant Human Death domain-associated protein 6 protein (77-289AA)
-
免疫原種屬:Homo sapiens (Human)
-
標記方式:Non-conjugated
本頁面中的產品,DAXX Antibody (CSB-PA871395LA01HU),的標記方式是Non-conjugated。對于DAXX Antibody,我們還提供其他標記。見下表:
-
克隆類型:Polyclonal
-
抗體亞型:IgG
-
純化方式:>95%, Protein G purified
-
濃度:It differs from different batches. Please contact us to confirm it.
-
保存緩沖液:Preservative: 0.03% Proclin 300
Constituents: 50% Glycerol, 0.01M PBS, pH 7.4 -
產品提供形式:Liquid
-
應用范圍:ELISA, IHC
-
推薦稀釋比:
Application Recommended Dilution IHC 1:500-1:1000 -
Protocols:
-
儲存條件:Upon receipt, store at -20°C or -80°C. Avoid repeated freeze.
-
貨期:Basically, we can dispatch the products out in 1-3 working days after receiving your orders. Delivery time maybe differs from different purchasing way or location, please kindly consult your local distributors for specific delivery time.
-
用途:For Research Use Only. Not for use in diagnostic or therapeutic procedures.
相關產品
靶點詳情
-
功能:Transcription corepressor known to repress transcriptional potential of several sumoylated transcription factors. Down-regulates basal and activated transcription. Its transcription repressor activity is modulated by recruiting it to subnuclear compartments like the nucleolus or PML/POD/ND10 nuclear bodies through interactions with MCSR1 and PML, respectively. Seems to regulate transcription in PML/POD/ND10 nuclear bodies together with PML and may influence TNFRSF6-dependent apoptosis thereby. Inhibits transcriptional activation of PAX3 and ETS1 through direct protein-protein interactions. Modulates PAX5 activity; the function seems to involve CREBBP. Acts as an adapter protein in a MDM2-DAXX-USP7 complex by regulating the RING-finger E3 ligase MDM2 ubiquitination activity. Under non-stress condition, in association with the deubiquitinating USP7, prevents MDM2 self-ubiquitination and enhances the intrinsic E3 ligase activity of MDM2 towards TP53, thereby promoting TP53 ubiquitination and subsequent proteasomal degradation. Upon DNA damage, its association with MDM2 and USP7 is disrupted, resulting in increased MDM2 autoubiquitination and consequently, MDM2 degradation, which leads to TP53 stabilization. Acts as histone chaperone that facilitates deposition of histone H3.3. Acts as targeting component of the chromatin remodeling complex ATRX:DAXX which has ATP-dependent DNA translocase activity and catalyzes the replication-independent deposition of histone H3.3 in pericentric DNA repeats outside S-phase and telomeres, and the in vitro remodeling of H3.3-containing nucleosomes. Does not affect the ATPase activity of ATRX but alleviates its transcription repression activity. Upon neuronal activation associates with regulatory elements of selected immediate early genes where it promotes deposition of histone H3.3 which may be linked to transcriptional induction of these genes. Required for the recruitment of histone H3.3:H4 dimers to PML-nuclear bodies (PML-NBs); the process is independent of ATRX and facilitated by ASF1A; PML-NBs are suggested to function as regulatory sites for the incorporation of newly synthesized histone H3.3 into chromatin. In case of overexpression of centromeric histone variant CENPA (as found in various tumors) is involved in its mislocalization to chromosomes; the ectopic localization involves a heterotypic tetramer containing CENPA, and histones H3.3 and H4 and decreases binding of CTCF to chromatin. Proposed to mediate activation of the JNK pathway and apoptosis via MAP3K5 in response to signaling from TNFRSF6 and TGFBR2. Interaction with HSPB1/HSP27 may prevent interaction with TNFRSF6 and MAP3K5 and block DAXX-mediated apoptosis. In contrast, in lymphoid cells JNC activation and TNFRSF6-mediated apoptosis may not involve DAXX. Shows restriction activity towards human cytomegalovirus (HCMV). Plays a role as a positive regulator of the heat shock transcription factor HSF1 activity during the stress protein response.
-
基因功能參考文獻:
- Data show that phosphatase and tensin homolog (PTEN) interacts with death domain associated protein (DAXX) and, in turn PTEN directly regulates oncogene expression by modulating DAXX-histone H3.3 (H3.3) association on the chromatin. PMID: 28497778
- Daxx directly binds to the DNA-binding domain of Slug, impeding histone deacetylase 1 (HDAC1) recruitment and antagonizing Slug E-box binding. This, in turn, stimulates E-cadherin and occludin expression and suppresses Slug-mediated epithelial-mesenchymal transition (EMT) and cell invasiveness. PMID: 28004751
- Results show that the X-linked nuclear protein (ATRX)-Fas death domain-associated protein (DAXX) complex is involved in gene repression and telomere chromatin structure. PMID: 29084956
- disruption of CENP-B/Daxx-dependent H3.3 pathway deregulates heterochromatin marks H3K9me3, ATRX and HP1alpha at centromeres and elevates chromosome instability PMID: 29273057
- Disrupting the ATRX/DAXX complex and inhibiting telomerase activity in telomerase-positive cancer cells lead to the alternative lengthening of telomeres switch. PMID: 27578458
- Study found that enhanced nuclear accumulation of Daxx correlated with the malignant phenotype in gastric mucosa. PMID: 28812328
- ATRX or DAXX loss was proved to be an independent predictor for OS of PanNETs in a multivariate Cox regression analysis including well-established risk factors; tumor stage and tumor grade. PMID: 28591701
- Both primary Alternative lengthening of telomeres(ALT) -positive and ATRX/DAXX-negative PanNETs are independently associated with aggressive clinicopathologic behavior and displayed reduced recurrence-free survival. In contrast, ALT activation and loss of ATRX/DAXX are both associated with better overall survival in patients with metastases PMID: 27663587
- Whole-exome sequencing has identified recurrent mutations in the genes DAXX and ATRX, which correlate with loss of protein expression and alternative lengthening of telomeres (ALT).ALT and DAXX/ATRX loss in PanNETs was associated with shorter disease-free survival (DFS) and disease-specific survival (DSS) and likely plays a significant role in driving metastatic disease PMID: 27407094
- We propose that mutations in alpha thalassemia-mental retardation syndrome X-linked (ATRX)/death-domain associated protein (DAXX) prime alternative lengthening of telomeres activation by disrupting telomeric heterochromatin. PMID: 28741530
- Structural and biochemical characterization of DAXX-ATRX interaction. PMID: 28875283
- Structural basis for DAXX interaction with ATRX. PMID: 28875424
- Given the high frequency of ATRX and DAXX mutations in cancer, these chromatin regulators likely play a key role in pathogenesis [review] PMID: 28062559
- H3.Y discriminates between HIRA and DAXX chaperone complexes and reveals unexpected insights into human DAXX-H3.3-H4 binding and deposition requirements. PMID: 28334823
- DAXX gene plays a role in the pathogenesis of neuroendocrine pancreatic neoplasms. PMID: 28371511
- The widespread dynamic nature of DAXX methylation in association with trophoblast differentiation and placenta-associated pathologies is consistent with an important role for this gene in proper placental development and function. PMID: 28223336
- findings reveal a previously unappreciated cross-talk between two crucial tumor suppressor genes, MEN1 and DAXX, thought to work by independent pathways PMID: 27872097
- The interaction of Daxx C-terminal domain and androgen receptor suppresses cholesterol synthesis.Daxx C-terminal domain binds directly to androgen receptor. PMID: 27671201
- HDAC1 and DAXX are co-repressors associated with epigenetic regulation that help to control promoter histone acetylation reactions involved in regulating GAD67. PMID: 26812044
- We provide an overview of the individual components (ATRX, DAXX and/or H3.3) tested in each study and propose a model where the ATRX/DAXX chaperone complex deposits H3.3 to maintain the H3K9me3 modification at heterochromatin throughout the genome. PMID: 26773061
- Daxx and Atrx safeguard the genome by silencing repetitive elements when DNA methylation levels are low. PMID: 26340527
- Studies of the dynamics of the response of PML nuclear body components and IFI16 to invading herpes simplex virus 1 genomes demonstrated that human Daxx (hDaxx) and IFI16 respond more rapidly than PML. PMID: 26468536
- identifying Daxx as a broad cellular inhibitor of reverse-transcription. Altogether, these findings unravel a novel antiviral function for PML and PML nuclear body-associated protein Daxx PMID: 26566030
- PML, hDaxx and Sp100 primarily act as cellular restriction factors during lytic human cytomegalovirus replication and during the dynamic process of reactivation but do not serve as key determinants for the establishment of latency. PMID: 26057166
- ATRX- and DAXX-deficient PNETs have distinct genome-wide DNA methylation profiles. Loss of DAXX and not ATRX appears to be the driver event in altering genome-wide methylation changes in PNETs. PMID: 25900181
- These findings collectively support a DAXX-centric pathway for telomere maintenance, where DAXX interaction with the telomerase regulates telomerase assembly in Cajal bodies and telomerase targeting to telomeres. PMID: 25416818
- Knock-down of the cellular DAXX protein modulates the human papillomavirus genome replication and transcription in U2OS cells--papillomavirus replication is reduced in the absence of this component of ND10. PMID: 26148509
- establish DAXX as a pro-survival protein in PCa and reveal that, in the early stages of tumorigenesis, autophagy suppresses prostate tumor formation. PMID: 25903140
- Daxx downregulation should be essentially needed for the increase of anti-tumor activity through enhancement of viral replication and cellular arrest with the combination of TRAIL/shBcl-xL-induced apoptosis and oncolytic adenovirus. PMID: 25748050
- ATM kinase and Wip1 phosphatase were identified as opposing regulators of DAXX-S564 phosphorylation and the role of DAXX phosphorylation and DAXX itself are independent of p53-mediated gene expression. PMID: 25659035
- In neuroblastoma, alternative lengthening of telomere was caused by ATRX or DAXX gene alterations. PMID: 25487495
- Methylation changes were enriched in MSX1, CCND2, and DAXX at specific loci within the hippocampus of patients with schizophrenia and bipolar disorder. PMID: 25738424
- DAXX expression not lost in ileal neuroendocrine tumors PMID: 25439321
- Cytoplasmic localization of DAXX can increase injury sensitivity of ox-LDL on cells, and nuclear localization can antagonise the effect of ox-LDL. PMID: 25120166
- A higher number of gene mutations and the DAXX/ATRX and KRAS gene mutations are correlated with a poor prognosis of Chinese patients with pancreatic neuroendocrine tumors. PMID: 25210493
- Daxx protein interacts with HPV16 E2 protein, mainly in cytoplasm. PMID: 25842852
- Authors propose that Epstein-Barr virus tegument protein BNRF1 replaces ATRX to reprogram Daxx-mediated H3.3 loading, in turn generating chromatin suitable for latent gene expression. PMID: 25275136
- DENV C disrupts Daxx and NF-kappaB interaction to induce CD137-mediated apoptosis during DENV infection PMID: 25019989
- Urothelial carcinoma DAXX expression could be used in clinical practice as a marker of aggressiveness. PMID: 23819605
- In the progress of the cervical cancer, Daxx gradually translocates from nucleus into nuclear membrane, cytoplasm and cell membrane. PMID: 24398161
- DAXX has a role in misregulation of localization of the centromeric histone variant CenH3/CENP-A PMID: 24530302
- Loss of DAXX or ATRX is associated with chromosome instability in pancreatic neuroendocrine tumors and shorter survival times of patients. PMID: 24148618
- The status of ATRX or DAXX protein loss in neuroendocrine tumor differed among the organs in which these tumors arose, and these proteins may play site-specific roles in the development of these tumors. PMID: 23954140
- Overexpression of the chromatin remodeler death-domain-associated protein in prostate cancer is an independent predictor of early prostate-specific antigen recurrence. PMID: 23642739
- DAXX silencing suppresses mouse ovarian surface epithelial cell growth by inducing senescence and DNA damage. PMID: 23542781
- USP7 and Daxx are necessary to regulate proper execution of mitosis, partially via regulation of CHFR and Aurora-A kinase stability. PMID: 23348568
- The results suggest that hantavirus infection interferes with DAXX-mediated apoptosis, and expression of interferon-activated Sp100 and ISG-20 proteins may indicate intracellular intrinsic antiviral attempts. PMID: 23830076
- We demonstrate a specific role of DAXX, independently of ATRX, in the recruitment of H3.3 to PML bodies, in a process that can be facilitated by ASF1A. PMID: 23222847
- Data suggest that the pro-apoptotic protein Daxx specifically interacts with one or more substrates SUMOylated by PIAS1 and this interaction leads to apoptosis following UV irradiation. PMID: 22976298
- M1 prevents repressional function of Daxx during infection, thereby exerting a survival role PMID: 23548901
顯示更多
收起更多
-
亞細胞定位:Cytoplasm. Nucleus, nucleoplasm. Nucleus, PML body. Nucleus, nucleolus. Chromosome, centromere.; [Isoform beta]: Nucleus.; [Isoform gamma]: Nucleus.
-
蛋白家族:DAXX family
-
組織特異性:Ubiquitous.
-
數據庫鏈接:
Most popular with customers
-
-
Phospho-YAP1 (S127) Recombinant Monoclonal Antibody
Applications: ELISA, WB, IHC
Species Reactivity: Human
-
-
-
-
-
-















